×
Pour une meilleure utilisation, nous vous conseillons d’activer Javascript dans votre navigateur.
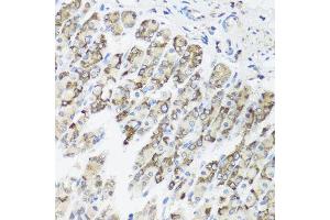
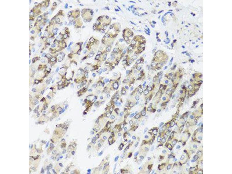
TIMM10B anticorps
L’anticorps anti-TIMM10B Polyclonal Lapin est utilisé pour la détection de TIMM10B dans des échantillons de Humain et Souris. Il a été validé pour WB et IHC.
N° du produit ABIN3033749
695,57 €
Plus frais de livraison 40,00 € et TVA
60 μL ABIN3046545
120 μL ABIN3033749
200 μL ABIN3046546
60 μL ABIN3046545
120 μL ABIN3033749
200 μL ABIN3046546
Envoi sous 7 à 13 jours ouvrables
Aperçu rapide pour TIMM10B anticorps (ABIN3033749)
Antigène
Voir toutes TIMM10B (FXC1) Anticorps
TIMM10B (FXC1)
(Fracture Callus 1 Homolog (FXC1))
Reactivité
Toutes les réactivités sur TIMM10B Anticorps
Humain, Souris
Hôte
Toutes les hôtes sur TIMM10B Anticorps
Lapin
Clonalité
Toutes les clonalités sur TIMM10B Anticorps
Polyclonal
Conjugué
Tous les conjugués à travers TIMM10B Anticorps
Cet anticorp TIMM10B est non-conjugé
Application
Tous les applications à travers TIMM10B Anticorps.
Western Blotting (WB), Immunohistochemistry (IHC)
Détail du produit anti-TIMM10B anticorps
(cache)
Purification
Affinity purified
Isotype
IgG
Alternatives
(show)
Information d'application
(cache)
Indications d'application
Optimal working dilution should be determined by the investigator.
Restrictions
For Research Use only
Stockage
(cache)
Format
Liquid
Concentration
Lot specific
Buffer
PBS, pH 7.3, 0.02 % sodium azide, 50 % glycerol.
Agent conservateur
Sodium azide
Précaution d'utilisation
This product contains Sodium azide: a POISONOUS AND HAZARDOUS SUBSTANCE which should be handled by trained staff only.
Stock
-20 °C
Stockage commentaire
Aliquot and store at -20 °C. Avoid repeated freeze/thaw cycles.
Détails sur TIMM10B
(cache)
Antigène
TIMM10B (FXC1)
(Fracture Callus 1 Homolog (FXC1))
Autre désignation
TIMM10B
Poids moléculaire
Calculated MW: 11 kDa Observed MW: 24 kDa
ID gène
26515
UniProt
Q9Y5J6
Pathways
SARS-CoV-2 Protein Interactome
Vus récemment
(cache)
Chat with us , powered by LiveChat