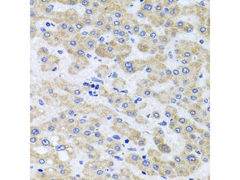
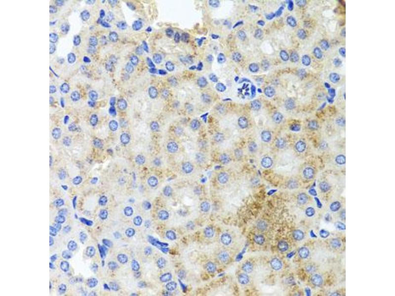
PEX3 anticorps
Aperçu rapide pour PEX3 anticorps (ABIN3048677)
Antigène
Voir toutes PEX3 AnticorpsReactivité
Hôte
Clonalité
Conjugué
Application
-
-
Purification
- Affinity purified
-
Isotype
- IgG
-
-
-
-
Indications d'application
- Optimal working dilution should be determined by the investigator.
-
Restrictions
- For Research Use only
-
-
-
Format
- Liquid
-
Concentration
- 1.4 mg/mL
-
Buffer
- PBS, pH 7.3, 0.02 % sodium azide, 50 % glycerol.
-
Agent conservateur
- Sodium azide
-
Précaution d'utilisation
- This product contains Sodium azide: a POISONOUS AND HAZARDOUS SUBSTANCE which should be handled by trained staff only.
-
Stock
- -20 °C
-
Stockage commentaire
- Aliquot and store at -20 °C. Avoid repeated freeze/thaw cycles.
-
-
- PEX3 (Peroxisomal Biogenesis Factor 3 (PEX3))
-
Autre désignation
- PEX3
-
Poids moléculaire
-
Calculated MW: 42 kDa
Observed MW: 37 kDa -
ID gène
- 8504
-
UniProt
- P56589
Antigène
-