Tel:
+49 (0)241 95 163 153
Fax:
+49 (0)241 95 163 155
E-Mail:
orders@anticorps-enligne.fr

PEX3 Anticorps

(Peroxisomal Biogenesis Factor 3 (PEX3))

Choisissez l’un des 20 anticorps PEX3 de notre liste de produits basés sur 1 publication et 18 images de validation.

Découvrez des anticorps PEX3 fiables issus d’une large sélection de fabricants renommés. Notre portefeuille permet une détection précise de PEX3 dans plusieurs espèces, y compris Human, Mouse, Rat, Dog, Cow, Guinea Pig, Horse, Monkey, Rabbit, Bat, Chicken, Hamster, Pig, Xenopus laevis, Zebrafish (Danio rerio), et prend en charge diverses applications de recherche telles que WB, ELISA, IHC, ICC, IF.

Trouvez rapidement l’anticorps adapté grâce à nos outils de recherche, de filtrage et de comparaison. Chaque page produit fournit des données de validation détaillées, des références bibliographiques et des retours d’utilisateurs. Contrairement aux ressources dédiées uniquement à la comparaison, vous pouvez acheter directement les anticorps sur notre site. Choisissez parmi des anticorps polyclonaux, monoclonaux ou recombinants PEX3, issus de différents hôtes tels que Rabbit, Mouse. Parcourez nos produits ci-dessous et commandez directement pour soutenir vos recherches en toute confiance.

Les noms alternatifs de PEX3 sont LOC692959, CpipJ_CPIJ013204, pex3, PEX3, pex3.L, Pex3.

20 Résultats

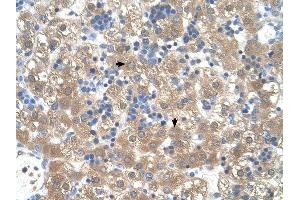
PEX3 Reactivité: Humain, Souris, Rat, Chien WB, IHC Hôte: Lapin Polyclonal unconjugated
N° du produit ABIN629613
1.075,31 €
Plus frais de livraison 40,00 € et TVA
100 μg
Destination: France
Envoi sous 13 à 17 jours ouvrables
 
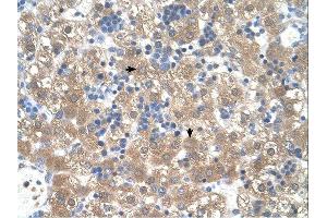
PEX3 Reactivité: Humain, Souris, Rat, Boeuf (Vache), Chien, Cobaye, Cheval, Lapin, Poisson zèbre (Danio rerio) WB, IHC Hôte: Lapin Polyclonal unconjugated
Pubmed 1 reference
N° du produit ABIN2782478
470,22 €
Plus frais de livraison 40,00 € et TVA
100 μL (Autres quantités disponibles)
Destination: France
Envoi sous 6 à 9 jours ouvrables
 
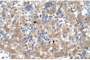
PEX3 Reactivité: Humain WB, ELISA, IHC Hôte: Lapin Polyclonal unconjugated
N° du produit ABIN7162962
328,90 €
Plus frais de livraison 40,00 € et TVA
100 μL (Autres quantités disponibles)
Destination: France
Envoi sous 11 à 15 jours ouvrables
 
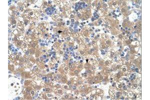
PEX3 Reactivité: Humain, Souris, Rat, Boeuf (Vache), Singe, Chien, Cobaye, Cheval, Lapin, Roussette (Chauve-souris), Poulet, Hamster, Porc, Xenopus laevis WB, IHC, IHC (p) Hôte: Lapin Polyclonal unconjugated
N° du produit ABIN321040
741,67 €
Plus frais de livraison 40,00 € et TVA
100 μL
Destination: France
Envoi sous 15 à 20 jours ouvrables
 
PEX3 Reactivité: Humain, Souris, Rat WB, ELISA Hôte: Lapin Polyclonal unconjugated
N° du produit ABIN3186405
377,51 €
Plus frais de livraison 40,00 € et TVA
100 μL (Autres quantités disponibles)
Destination: France
Envoi sous 8 à 10 jours ouvrables
 
PEX3 Reactivité: Humain WB Hôte: Souris Polyclonal unconjugated
N° du produit ABIN521951
651,20 €
Plus frais de livraison 40,00 € et TVA
50 μg
Destination: France
Envoi sous 8 à 9 jours ouvrables
 
PEX3 Reactivité: Humain WB, ELISA Hôte: Souris Monoclonal 3C2 unconjugated
N° du produit ABIN948692
651,20 €
Plus frais de livraison 40,00 € et TVA
100 μg
Destination: France
Envoi sous 8 à 9 jours ouvrables
 
PEX3 Reactivité: Humain WB, ELISA Hôte: Lapin Polyclonal unconjugated
N° du produit ABIN7188945
218,90 €
Plus frais de livraison 40,00 € et TVA
100 μg (Autres quantités disponibles)
Destination: France
Envoi sous 11 à 15 jours ouvrables
 
PEX3 Reactivité: Humain, Souris, Rat WB, ELISA, IF, ICC Hôte: Lapin Polyclonal unconjugated
N° du produit ABIN6257433
525,71 €
Plus frais de livraison 40,00 € et TVA
100 μL (Autres quantités disponibles)
Destination: France
Envoi sous 9 à 11 jours ouvrables
 
PEX3 Reactivité: Humain WB, ELISA, IHC Hôte: Lapin Polyclonal unconjugated
N° du produit ABIN7570700
527,38 €
Plus frais de livraison 40,00 € et TVA
100 μg
Destination: France
Envoi sous 10 à 13 jours ouvrables
 
PEX3 Reactivité: Humain, Souris, Rat WB Hôte: Lapin Polyclonal unconjugated
N° du produit ABIN2886471
753,61 €
Plus frais de livraison 40,00 € et TVA
100 μL (Autres quantités disponibles)
Destination: France
Envoi sous 15 à 20 jours ouvrables
 
PEX3 Reactivité: Humain, Souris, Rat WB, ELISA, IHC Hôte: Lapin Polyclonal unconjugated
N° du produit ABIN7117349
393,85 €
Plus frais de livraison 40,00 € et TVA
100 μg
Destination: France
Envoi sous 11 à 15 jours ouvrables
 
PEX3 Reactivité: Humain, Souris, Rat WB, ELISA, IHC Hôte: Lapin Polyclonal unconjugated
N° du produit ABIN7216506
623,62 €
Plus frais de livraison 40,00 € et TVA
100 μL (Autres quantités disponibles)
Destination: France
Envoi sous 10 à 14 jours ouvrables
 
PEX3 Reactivité: Humain, Souris, Rat WB, ELISA Hôte: Lapin Polyclonal unconjugated
N° du produit ABIN1535149
402,00 €
Plus frais de livraison 40,00 € et TVA
100 μL (Autres quantités disponibles)
Destination: France
Envoi sous 6 à 9 jours ouvrables
 
PEX3 Reactivité: Humain, Souris, Rat, Chien WB, ELISA, IHC Hôte: Lapin Polyclonal unconjugated
N° du produit ABIN2462935
699,88 €
Plus frais de livraison 40,00 € et TVA
100 μL
Destination: France
Envoi sous 6 à 9 jours ouvrables
 
PEX3 Reactivité: Humain, Souris, Rat, Boeuf (Vache), Singe WB, IHC Hôte: Lapin Polyclonal unconjugated
N° du produit ABIN7297388
330,77 €
Plus frais de livraison 40,00 € et TVA
100 μL (Autres quantités disponibles)
Destination: France
Envoi sous 17 à 20 jours ouvrables
 
PEX3 Reactivité: Humain, Souris WB, ELISA, IHC Hôte: Lapin Polyclonal unconjugated
N° du produit ABIN6098249
628,83 €
Plus frais de livraison 40,00 € et TVA
100 μL (Autres quantités disponibles)
Destination: France
Envoi sous 7 à 13 jours ouvrables
 
PEX3 Reactivité: Humain WB Hôte: Souris Polyclonal unconjugated
N° du produit ABIN2333650
933,96 €
Plus frais de livraison 40,00 € et TVA
50 μg
Destination: France
Envoi sous 15 à 22 jours ouvrables
 
PEX3 Reactivité: Humain WB, ELISA Hôte: Souris Monoclonal 3C2 unconjugated
N° du produit ABIN2333651
933,96 €
Plus frais de livraison 40,00 € et TVA
100 μg
Destination: France
Envoi sous 15 à 22 jours ouvrables
 
PEX3 Reactivité: Humain Hôte: Lapin Polyclonal PE
N° du produit ABIN7809080
185,90 €
Plus frais de livraison 40,00 € et TVA
100 μg
Destination: France
Envoi sous 3 à 4 jours ouvrables
 
  • Type Primary
    • Primary
  • Application
    • Western Blotting (WB)
    • ELISA
    • Immunohistochemistry (IHC)
    • Immunocytochemistry (ICC)
    • Immunofluorescence (IF)
    • Immunohistochemistry (Paraffin-embedded Sections) (IHC (p))
  • Réactivité
    • Human
    • Mouse
    • Rat
    • Dog
    • Cow
    • Guinea Pig
    • Horse
    • Monkey
    • Rabbit
    • Bat
    • Chicken
    • Hamster
    • Pig
    • Xenopus laevis
    • Zebrafish (Danio rerio)
  • Cité dans publications
  • Images disponible
  • Carrier free only
  • Hote
    • Rabbit
    • Mouse
  • Clonalité
    • Polyclonal
    • Monoclonal
  • Clone
    • 3C2
  • Epitope
    • N-Term
    • AA 1-373
    • AA 144-373
    • AA 12-61
    • AA 141-373
    • AA 271-373
    • AA 271-374
    • AA 30-110
    • AA 31-80
    • AA 53-98
  • Conjugué
    • Inconjugué
    • PE
  • Isotype
    • IgG
    • IgG2b
    • IgG2b kappa
  • Format
    • Liquid
    • Lyophilized
  • Supplier
    • antibodies-online
    • USBio
    • Abbexa
    • Assay Biotechnology Company, Inc.
    • Aviva Systems Biology
    • Cohesion Biosciences
    • ProSci
    • ProteoGenix

Dernières publications pour nos PEX3 Anticorps

Sychev, Hu, DiMaio, Gitter, Camp, Noble, Wolf-Yadlin, Lagunoff: "Integrated systems biology analysis of KSHV latent infection reveals viral induction and reliance on peroxisome mediated lipid metabolism." dans: PLoS pathogens, Vol. 13, Issue 3, pp. e1006256, (2017) (PubMed).

Libby, Bales, Orlicky, McManaman: "Perilipin-2 Deletion Impairs Hepatic Lipid Accumulation by Interfering with Sterol Regulatory Element-binding Protein (SREBP) Activation and Altering the Hepatic Lipidome." dans: The Journal of biological chemistry, Vol. 291, Issue 46, pp. 24231-24246, (2016) (PubMed).

Pseudonymes pour PEX3 Anticorps

peroxisomal biogenesis factor 3 (LOC692959) Anticorps
peroxisomal biogenesis factor 3 (CpipJ_CPIJ013204) Anticorps
peroxin 3 (pex3) Anticorps
peroxisomal biogenesis factor 3 (PEX3) Anticorps
peroxisomal biogenesis factor 3 (pex3) Anticorps
peroxisomal biogenesis factor 3 L homeolog (pex3.L) Anticorps
peroxisomal biogenesis factor 3 (Pex3) Anticorps
1700014F15Rik Anticorps
2810027F19Rik Anticorps
2900010N04Rik Anticorps
DDBDRAFT_0204086 Anticorps
DDBDRAFT_0238047 Anticorps
DDB_0204086 Anticorps
DDB_0238047 Anticorps
PBD10A Anticorps
Peroxin-3 Anticorps
TRG18 Anticorps
zgc:56313 Anticorps
Vous êtes ici:
Chat with us!