14-3-3 zeta anticorps
Aperçu rapide pour 14-3-3 zeta anticorps (ABIN3033967)
Antigène
Voir toutes 14-3-3 zeta (YWHAZ) AnticorpsReactivité
Hôte
Clonalité
Conjugué
Application
-
-
Purification
- Affinity purified
-
Isotype
- IgG
-
-
-
-
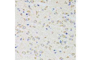
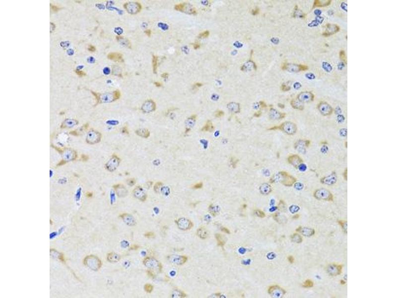
Indications d'application
- Optimal working dilution should be determined by the investigator.
-
Restrictions
- For Research Use only
-
-
-
Format
- Liquid
-
Concentration
- Lot specific
-
Buffer
- PBS, pH 7.3, 0.02 % sodium azide, 50 % glycerol.
-
Agent conservateur
- Sodium azide
-
Précaution d'utilisation
- This product contains Sodium azide: a POISONOUS AND HAZARDOUS SUBSTANCE which should be handled by trained staff only.
-
Stock
- -20 °C
-
Stockage commentaire
- Aliquot and store at -20 °C. Avoid repeated freeze/thaw cycles.
-
-
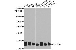
- 14-3-3 zeta (YWHAZ)
-
Autre désignation
- YWHAZ
-
Poids moléculaire
-
Calculated MW: 19 kDa/27 kDa
Observed MW: 29 kDa -
ID gène
- 7534
-
Pathways
- Apoptose, Hormone Transport, Myometrial Relaxation and Contraction, Regulation of Leukocyte Mediated Immunity, Positive Regulation of Immune Effector Process, Synaptic Membrane, Production of Molecular Mediator of Immune Response, Maintenance of Protein Location
Antigène
-