Tel:
+49 (0)241 95 163 153
Fax:
+49 (0)241 95 163 155
E-Mail:
orders@anticorps-enligne.fr

FADD anticorps (N-Term)

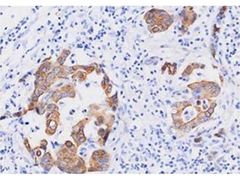
Cet anticorps Souris Monoclonal détecte spécifiquement FADD dans WB, IHC (p) et EIA. Il présente une réactivité avec des échantillons de Humain.
N° du produit ABIN317514
587,69 €
Plus frais de livraison 40,00 € et TVA
Destination: France
Envoi sous 17 jours ouvrables

Aperçu rapide pour FADD anticorps (N-Term) (ABIN317514)

Antigène

Voir toutes FADD Anticorps
FADD (Fas (TNFRSF6)-Associated Via Death Domain (FADD))

Reactivité

  • 102
  • 64
  • 20
  • 19
  • 15
Humain

Hôte

  • 113
  • 18
Souris

Clonalité

  • 87
  • 44
Monoclonal

Conjugué

  • 73
  • 8
  • 4
  • 4
  • 4
  • 4
  • 4
  • 4
  • 3
  • 3
  • 2
  • 2
  • 2
  • 2
  • 1
  • 1
  • 1
  • 1
  • 1
  • 1
  • 1
  • 1
  • 1
  • 1
  • 1
  • 1
Cet anticorp FADD est non-conjugé

Application

  • 112
  • 55
  • 48
  • 23
  • 21
  • 15
  • 15
  • 15
  • 9
  • 8
  • 5
  • 3
  • 2
  • 1
Western Blotting (WB), Immunohistochemistry (Paraffin-embedded Sections) (IHC (p)), Enzyme Immunoassay (EIA)

Clone

J1D2
  • Épitope

    • 17
    • 17
    • 15
    • 9
    • 8
    • 8
    • 3
    • 2
    • 2
    • 2
    • 2
    • 1
    • 1
    • 1
    • 1
    • 1
    • 1
    • 1
    • 1
    • 1
    • 1
    • 1
    AA 1-208, N-Term

    Specificité

    The antibody recognizes human FADD. Other species not tested.

    Attributs du produit

    Synonyms: FAS-associated death domain protein, MORT1, GIG3, FAS-associating deathdomain-containing protein, Mediator of receptor induced toxicity, Growth-inhibiting gene 3protein

    Purification

    Protein-G affinity chromatography

    Immunogène

    Recombinant human FADD (1-208 aa) purified from E. coli

    Isotype

    IgG2b
  • Indications d'application

    ELISA. Western blot (1: 500 - 1,000). Immunohistochemistry on paraffin sections (1: 50 - 1: 100).
    Other applications not tested.
    Optimal dilutions are dependent on conditions and should be determined by the user.

    Restrictions

    For Research Use only
  • Format

    Liquid

    Concentration

    1.0 mg/mL

    Buffer

    PBS, pH 7.4, containing 0.09 % sodium azide

    Agent conservateur

    Sodium azide

    Précaution d'utilisation

    This product contains sodium azide: a POISONOUS AND HAZARDOUS SUBSTANCE which should be handled by trained staff only.

    Stock

    4 °C/-20 °C

    Stockage commentaire

    Store the antibody undiluted at 2-8 °C for one month or (in aliquots) at -20 °C for longer. Avoid repeated freezing and thawing.
    Shelf life: one year from despatch.

    Date de péremption

    12 months
  • Antigène

    FADD (Fas (TNFRSF6)-Associated Via Death Domain (FADD))

    Autre désignation

    FADD

    Sujet

    FADD (Fas-associated protein with death domain) is an adaptor molecule that interacts with various cell surface receptors and mediates cell apoptotic signals. This protein is implicated in survival/proliferation and cell cycle progression. FADD functions are also regulated via cellular sublocalization, protein phosphorylation, and inhibitory molecules.Synonyms: FAS-associated death domain protein, FAS-associating death domain-containing protein, GIG3, Growth-inhibiting gene 3 protein, MORT1, Mediator of receptor induced toxicity

    ID gène

    8772

    UniProt

    Q13158

    Pathways

    Apoptose, Signalisation TLR, Activation of Innate immune Response, Positive Regulation of Endopeptidase Activity, Toll-Like Receptors Cascades
Vous êtes ici:
Chat with us!