CXCR7 anticorps (C-Term)
Aperçu rapide pour CXCR7 anticorps (C-Term) (ABIN3184133)
Antigène
Voir toutes CXCR7 AnticorpsReactivité
Hôte
Clonalité
Conjugué
Application
-
-
Épitope
- C-Term
-
Specificité
- CXCR-7 Polyclonal Antibody detects endogenous levels of CXCR-7 protein.
-
Attributs du produit
- Rabbit Polyclonal to CXCR-7.
-
Purification
- The antibody was affinity-purified from rabbit antiserum by affinity-chromatography using epitope-specific immunogen.
-
Immunogène
- Synthesized peptide derived from the C-terminal region of human CXCR-7.
-
Isotype
- IgG
-
-
-
-
Indications d'application
- WB 1:500-1:2000, IF 1:200-1:1000, ELISA 1:20000,
-
Restrictions
- For Research Use only
-
-
-
Format
- Liquid
-
Concentration
- 1 mg/mL
-
Buffer
- Liquid in PBS containing 50 % glycerol, 0.5 % BSA and 0.02 % sodium azide.
-
Agent conservateur
- Sodium azide
-
Précaution d'utilisation
- This product contains Sodium azide: a POISONOUS AND HAZARDOUS SUBSTANCE which should be handled by trained staff only.
-
Conseil sur la manipulation
- Avoid repeated freeze/thaw cycles.
-
Stock
- -20 °C
-
Stockage commentaire
- Store at -20°C.
-
-
- CXCR7 (Chemokine (C-X-C Motif) Receptor 7 (CXCR7))
-
Autre désignation
- CXCR-7
-
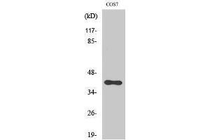
Poids moléculaire
- 41 kDa
-
ID gène
- 57007
-
UniProt
- P25106
-
Pathways
- Myometrial Relaxation and Contraction, Negative Regulation of intrinsic apoptotic Signaling
Antigène
-