Tel:
+49 (0)241 95 163 153
Fax:
+49 (0)241 95 163 155
E-Mail:
orders@anticorps-enligne.fr

CDC25A anticorps (pSer76)

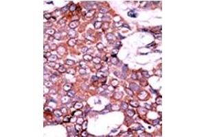
L’anticorps anti-CDC25A Polyclonal Lapin est utilisé pour la détection de CDC25A dans des échantillons de Humain. Il a été validé pour WB, IHC (p) et EIA.
N° du produit ABIN358097
870,77 €
Plus frais de livraison 40,00 € et TVA
0.4 mL
Destination: France
Envoi sous 17 jours ouvrables

Aperçu rapide pour CDC25A anticorps (pSer76) (ABIN358097)

Antigène

Voir toutes CDC25A Anticorps
CDC25A (Cell Division Cycle 25 Homolog A (S. Pombe) (CDC25A))

Reactivité

  • 206
  • 75
  • 59
  • 6
  • 5
  • 4
  • 4
  • 4
  • 2
  • 1
  • 1
  • 1
Humain

Hôte

  • 215
  • 7
Lapin

Clonalité

  • 216
  • 6
Polyclonal

Conjugué

  • 103
  • 17
  • 14
  • 13
  • 9
  • 9
  • 4
  • 4
  • 4
  • 4
  • 4
  • 4
  • 3
  • 3
  • 3
  • 3
  • 3
  • 3
  • 3
  • 3
  • 3
  • 3
  • 3
Cet anticorp CDC25A est non-conjugé

Application

  • 179
  • 107
  • 58
  • 40
  • 40
  • 31
  • 20
  • 17
  • 15
  • 8
  • 6
  • 6
  • 1
  • 1
Western Blotting (WB), Immunohistochemistry (Paraffin-embedded Sections) (IHC (p)), Enzyme Immunoassay (EIA)
  • Épitope

    • 33
    • 28
    • 19
    • 19
    • 16
    • 12
    • 9
    • 9
    • 8
    • 8
    • 7
    • 7
    • 5
    • 4
    • 2
    • 2
    • 2
    • 2
    • 2
    • 2
    • 1
    • 1
    • 1
    • 1
    • 1
    • 1
    • 1
    • 1
    • 1
    • 1
    • 1
    • 1
    • 1
    • 1
    • 1
    • 1
    • 1
    • 1
    • 1
    • 1
    • 1
    • 1
    • 1
    • 1
    pSer76

    Specificité

    This antibody detects CDC25A pSer75.

    Purification

    Protein G Affinity Chromatography. Then, the antibody fraction is peptide affinity purified in a 2-step procedure with control and phosphorylated peptides. The phospho-specific antibody is eluted with high and low pH buffers and neutralized immediately, followed by dialysis against PBS.

    Immunogène

    This antibody is generated from rabbits immunized with a KLH conjugated synthetic phosphopeptide corresponding to amino acid residues surrounding S75 of human Cdc25A.

    Isotype

    Ig Fraction
  • Indications d'application

    ELISA: 1/1,000. Western Blot: 1/100-1/500. Immunohistochemistry: 1/50-1/100.
    Other applications not tested.
    Optimal dilutions are dependent on conditions and should be determined by the user.

    Restrictions

    For Research Use only
  • Format

    Liquid

    Concentration

    0.25 mg/mL

    Buffer

    PBS with 0.09 % (W/V) Sodium Azide as preservative.

    Agent conservateur

    Sodium azide

    Précaution d'utilisation

    This product contains sodium azide: a POISONOUS AND HAZARDOUS SUBSTANCE which should be handled by trained staff only.

    Conseil sur la manipulation

    Avoid repeated freezing and thawing.

    Stock

    4 °C/-20 °C

    Stockage commentaire

    Store the antibody undiluted at 2-8 °C for one month or (in aliquots) at-20 °C for longer.
  • Antigène

    CDC25A (Cell Division Cycle 25 Homolog A (S. Pombe) (CDC25A))

    Autre désignation

    CDC25A

    Sujet

    CDC25A is a member of the CDC25 family of phosphatases. CDC25A is required for progression from G1 to the S phase of the cell cycle. It activates the cyclin-dependent kinase CDC2 by removing two phosphate groups. CDC25A is specifically degraded in response to DNA damage, which prevents cells with chromosomal abnormalities from progressing through cell division. CDC25A is an oncogene, although its exact role in oncogenesis has not been demonstrated. Two transcript variants encoding different isoforms have been found for this gene.Synonyms: CDC-25A, Cell Division Cycle 25A, Dual specificity phosphatase Cdc25A, M-phase inducer phosphatase 1

    Poids moléculaire

    59087 Da

    ID gène

    993, 9606

    UniProt

    P30304

    Pathways

    Cycle Cellulaire, Mitotic G1-G1/S Phases, M Phase
Vous êtes ici:
Chat with us!