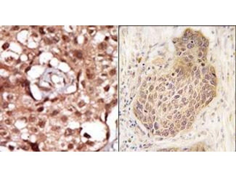
L’anticorps anti-RIPK2 Polyclonal Lapin est utilisé pour la détection de RIPK2 dans des échantillons de Humain et Souris. Il a été validé pour WB, IHC (p) et EIA.
RIPK2
Reactivité: Humain, Souris, Rat
WB, ELISA, IHC, IF, ICC
Hôte: Lapin
Polyclonal
unconjugated
Indications d'application
ELISA: 1/1,000. Western blotting: 1/100 - 1/500. Immunohistochemistry: 1/50 - 1/100. Other applications not tested. Optimal dilutions are dependent on conditions and should be determined by the user.
Restrictions
For Research Use only
Format
Liquid
Concentration
0.25 mg/mL
Buffer
PBS with 0.09 % (W/V) sodium azide
Agent conservateur
Sodium azide
Précaution d'utilisation
This product contains sodium azide: a POISONOUS AND HAZARDOUS SUBSTANCE which should be handled by trained staff only.
Conseil sur la manipulation
Avoid repeated freezing and thawing.
Stock
4 °C/-20 °C
Stockage commentaire
Store the antibody undiluted at 2-8 °C for one month or (in aliquots) at-20 °C for longer.
RIPK2 is a member of the receptor-interacting protein (RIP) family of serine/threonine protein kinases. The encoded protein contains a C-terminal recruitment domain (CARD), and is a component of signaling complexes in both the innate and adaptive immune pathways. It is a potent activator of NF-kappaB and inducer of apoptosis in response to various stimuli.Synonyms: CARD-containing IL-1 beta ICE-kinase, CARDIAK, RICK, RIP-2, RIP-like-interacting CLARP kinase, RIP2, Receptor-interacting protein 2, Receptor-interacting serine/threonine-protein kinase 2