SETD7 anticorps
Aperçu rapide pour SETD7 anticorps (ABIN364315)
Antigène
Voir toutes SETD7 AnticorpsReactivité
Hôte
Clonalité
Conjugué
Application
Clone
-
-
Purification
- Protein G purified
-
Immunogène
-
Recombinant human SET7/9 protein Isotype Mouse IgG2b, heavy chains and kappa light chains.
Type of Immunogen: Recombinant protein -
Isotype
- IgG2b kappa
-
-
-
-
Indications d'application
-
Approved: ELISA, IHC, IHC-P (5 μg/mL), WB (1:250 - 1:2000)
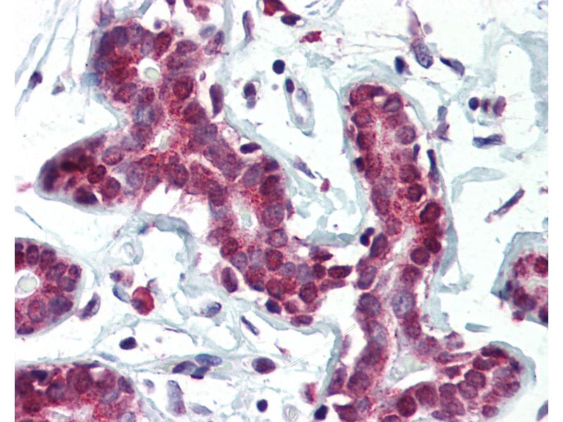
Usage: Immunohistochemistry: This antibody was validated for use in immunohistochemistry on a panel of 21 formalin-fixed, paraffin-embedded (FFPE) human tissues after heat induced antigen retrieval in pH 6.0 citrate buffer. After incubation with the primary antibody, slides were incubated with biotinylated secondary antibody, followed by alkaline phosphatase-streptavidin and chromogen. The stained slides were evaluated by a pathologist to confirm staining specificity. The optimal working concentration for this antibody was determined to be 5 μg/mL. -
Commentaires
-
Target Species of Antibody: Human
-
Restrictions
- For Research Use only
-
-
-
Format
- Liquid
-
Concentration
- Lot specific
-
Buffer
- PBS, pH 7.4, 0.1 % sodium azide
-
Agent conservateur
- Sodium azide
-
Précaution d'utilisation
- This product contains Sodium azide: a POISONOUS AND HAZARDOUS SUBSTANCE which should be handled by trained staff only.
-
Conseil sur la manipulation
- Avoid freeze-thaw cycles.
-
Stock
- 4 °C,-20 °C
-
Stockage commentaire
- Short term: 4°C. Long term: Store at -20°C. Avoid freeze-thaw cycles.
-
-
- SETD7 (SET Domain Containing (Lysine Methyltransferase) 7 (SETD7))
-
Autre désignation
- SETD7 / SET7
-
Sujet
-
Name/Gene ID: SETD7
Synonyms: SETD7, Lysine N-methyltransferase 7, KIAA1717, SET9, H3-K4-HMTase SETD7, KMT7, SET7, SET7/9 -
ID gène
- 80854
-
UniProt
- Q8WTS6
Antigène
-