Tel:
+49 (0)241 95 163 153
Fax:
+49 (0)241 95 163 155
E-Mail:
orders@anticorps-enligne.fr

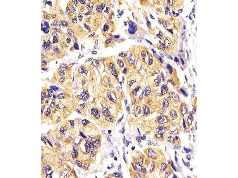
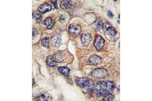
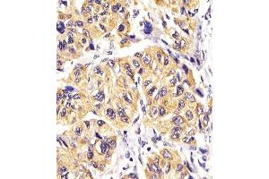
PDGFRA anticorps (AA 698-727)

Il existe 1 publication pour ce produit. L’anticorps anti-PDGFRA Polyclonal Lapin est utilisé pour la détection de PDGFRA dans des échantillons de Souris. Il a été validé pour WB et IHC (p).
N° du produit ABIN392024
434,77 €
Plus frais de livraison 40,00 € et TVA
Destination: France
Envoi sous 14 à 17 jours ouvrables

Aperçu rapide pour PDGFRA anticorps (AA 698-727) (ABIN392024)

Antigène

Voir toutes PDGFRA Anticorps
PDGFRA (Platelet Derived Growth Factor Receptor alpha (PDGFRA))

Reactivité

  • 242
  • 114
  • 62
  • 20
  • 4
  • 3
  • 3
  • 3
  • 3
  • 2
  • 1
  • 1
  • 1
  • 1
  • 1
Souris

Hôte

  • 196
  • 49
  • 13
  • 5
  • 1
Lapin

Clonalité

  • 186
  • 78
Polyclonal

Conjugué

  • 120
  • 20
  • 18
  • 17
  • 15
  • 13
  • 4
  • 4
  • 4
  • 4
  • 4
  • 4
  • 4
  • 4
  • 4
  • 4
  • 4
  • 3
  • 2
  • 2
  • 2
  • 2
  • 2
  • 2
  • 2
Cet anticorp PDGFRA est non-conjugé

Application

  • 167
  • 103
  • 68
  • 54
  • 54
  • 50
  • 33
  • 26
  • 25
  • 14
  • 12
  • 7
  • 6
  • 5
  • 2
  • 2
  • 1
  • 1
Western Blotting (WB), Immunohistochemistry (Paraffin-embedded Sections) (IHC (p))

Clone

RB11101
  • Épitope

    • 16
    • 16
    • 15
    • 15
    • 10
    • 9
    • 9
    • 9
    • 8
    • 8
    • 8
    • 7
    • 6
    • 5
    • 4
    • 4
    • 3
    • 3
    • 3
    • 3
    • 2
    • 2
    • 2
    • 2
    • 2
    • 2
    • 2
    • 2
    • 2
    • 2
    • 1
    • 1
    • 1
    • 1
    • 1
    • 1
    • 1
    • 1
    • 1
    • 1
    • 1
    • 1
    • 1
    • 1
    • 1
    • 1
    • 1
    • 1
    • 1
    • 1
    AA 698-727

    Homologie

    C, Rat, X

    Purification

    This antibody is purified through a protein A column, followed by peptide affinity purification.

    Immunogène

    This PDGFRA antibody is generated from rabbits immunized with a KLH conjugated synthetic peptide between 698-727 amino acids from human PDGFRA.

    Isotype

    Ig Fraction
  • Indications d'application

    WB: 1:1000. WB: 1:2000. IHC-P: 1:25. IHC-P: 1:10~50

    Restrictions

    For Research Use only
  • Format

    Liquid

    Buffer

    Purified polyclonal antibody supplied in PBS with 0.09 % (W/V) sodium azide.

    Agent conservateur

    Sodium azide

    Précaution d'utilisation

    This product contains Sodium azide: a POISONOUS AND HAZARDOUS SUBSTANCE which should be handled by trained staff only.

    Stock

    4 °C,-20 °C

    Stockage commentaire

    Maintain refrigerated at 2-8 °C for up to 6 months. For long term storage store at -20 °C in small aliquots to prevent freeze-thaw cycles.

    Date de péremption

    6 months
  • Guan, Wei, Wu, Fang, Liao, Xiao, Li, Li: "Down-regulation of miR-218-2 and its host gene SLIT3 cooperate to promote invasion and progression of thyroid cancer." dans: The Journal of clinical endocrinology and metabolism, Vol. 98, Issue 8, pp. E1334-44, (2013) (PubMed).

  • Antigène

    PDGFRA (Platelet Derived Growth Factor Receptor alpha (PDGFRA))

    Autre désignation

    PDGFRA

    Sujet

    PDGFRA is a cell surface tyrosine kinase receptor for members of the platelet-derived growth factor family. These growth factors are mitogens for cells of mesenchymal origin. The identity of the growth factor bound to a receptor monomer determines whether the functional receptor is a homodimer or a heterodimer, composed of both platelet-derived growth factor receptor alpha and beta polypeptides. Studies in knockout mice, where homozygosity is lethal, indicate that the alpha form of the platelet-derived growth factor receptor is particularly important for kidney development since mice heterozygous for the receptor exhibit defective kidney phenotypes.

    Poids moléculaire

    122670

    ID gène

    5156

    NCBI Accession

    NP_006197

    UniProt

    P16234

    Pathways

    Signalisation RTK, Fc-epsilon Receptor Signaling Pathway, EGFR Signaling Pathway, Neurotrophin Signaling Pathway, Platelet-derived growth Factor Receptor Signaling
Vous êtes ici:
Chat with us!