VEGFA anticorps
Aperçu rapide pour VEGFA anticorps (ABIN465403)
Antigène
Voir toutes VEGFA AnticorpsReactivité
Hôte
Clonalité
Conjugué
Application
-
-
Specificité
- Human VEGF
-
Purification
- Immunoaffinity purified
-
Immunogène
-
E.coli derived recombinant Human VEGF165.
Type of Immunogen: Cell extract
-
-
-
-
Indications d'application
-
Approved: ELISA, Neut (0.05 - 0.1 μg/mL), WB
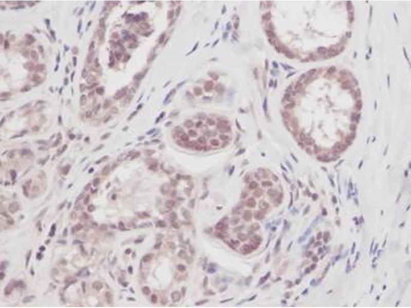
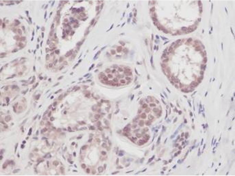
Usage: Immunohistochemistry: This antibody stained formalin-fixed, paraffin-embedded sections of Human breast invasive ductal carcinoma. The recommended concentrations are 2.5-5.5 mg/mL with an overnight incubation at 4 °C. An HRP-labeled polymer detection system was used with a DAB chromogen. Heat induced antigen retrieval with a pH 6 Sodium Citrate buffer is recommended. Optimal concentrations and conditions may vary. Neutralization: To yield one-half maximal inhibition [ND] of the biological activity of hVEGF (10 ng/mL), a concentration of 0.05-0.1 μg/mL of this antibody is required. ELISA: To detect hVEGF by sandwich ELISA (using 100 μL/well antibody solution) a concentration of 0.5-2 μg/mL of this antibody is required. This antigen affinity purified antibody, in conjunction with Biotinylated Anti-Human VEGF (LS-C104615) as a detection antibody, allows the detection of at least 0.2-0.4 ng/well of recombinant hVEGF. Western Blot: To detect hVEGF by Western Blot analysis this antibody can be used at a concentration of 0.1-0.2 μg/mL. Used in conjunction with compatible secondary reagents the detection limit for recombinant hVEGF is 1.5-3 ng/lane, under either reducing or non-reducing conditions. -
Commentaires
-
Target Species of Antibody: Human
-
Restrictions
- For Research Use only
-
-
-
Format
- Lyophilized
-
Reconstitution
- Sterile water
-
Concentration
- Lot specific
-
Buffer
- Lyophilized from PBS, pH 7.2
-
Conseil sur la manipulation
- Avoid freeze/thaw cycles.
-
Stock
- 4 °C,-20 °C
-
Stockage commentaire
-
Store Lyophilized at room temperature up to 1 month
Reconstituted for up to 2 weeks at 2-8°C. Aliquot and freeze at -20°C for long term storage. Avoid freeze/thaw cycles.
-
-
- VEGFA (Vascular Endothelial Growth Factor A (VEGFA))
-
Autre désignation
- VEGFA / VEGF
-
Sujet
-
Name/Gene ID: VEGFA
Family: PDGF
Synonyms: VEGFA, VPF, Vascular permeability factor, VEGF, VEGF-A, MVCD1 -
ID gène
- 7422
-
UniProt
- P15692
-
Pathways
- Signalisation RTK, Glycosaminoglycan Metabolic Process, Regulation of Cell Size, Tube Formation, Signaling Events mediated by VEGFR1 and VEGFR2, Platelet-derived growth Factor Receptor Signaling, VEGFR1 Specific Signals, VEGF Signaling
Antigène
-