LAMP1 anticorps
Aperçu rapide pour LAMP1 anticorps (ABIN4911494)
Antigène
Voir toutes LAMP1 AnticorpsReactivité
Hôte
Clonalité
Conjugué
Application
Clone
-
-
Réactivité croisée
- Humain
-
Réactivité croisée (Details)
- African Green Monkey
-
Purification
- Purified by Protein G.
-
Immunogène
- This LAMP1 antibody is generated from a mouse immunized with a recombinant protein.
-
Isotype
- IgG1
-
-
-
-
Indications d'application
-
WB 1:300-5000
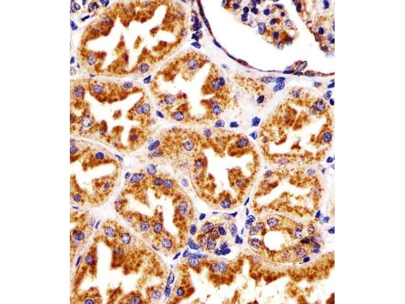
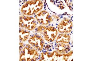
IHC-P 1:200-400
IF() -
Restrictions
- For Research Use only
-
-
-
Format
- Liquid
-
Concentration
- 0.5 μg/μL
-
Buffer
- 0.01M TBS( pH 7.4) with 1 % BSA, 0.02 % Proclin300 and 50 % Glycerol.
-
Agent conservateur
- ProClin
-
Précaution d'utilisation
- This product contains ProClin: a POISONOUS AND HAZARDOUS SUBSTANCE, which should be handled by trained staff only.
-
Stock
- 4 °C,-20 °C
-
Stockage commentaire
- Shipped at 4°C. Store at -20°C for one year. Avoid repeated freeze/thaw cycles.
-
Date de péremption
- 12 months
-
-
- LAMP1 (Lysosomal-Associated Membrane Protein 1 (LAMP1))
-
Autre désignation
- LAMP1
-
Sujet
-
Synonyms: LAMPA, CD107a, LGP120, Lysosome-associated membrane glycoprotein 1, LAMP-1, Lysosome-associated membrane protein 1, CD107 antigen-like family member A, LAMP1
Background: Presents carbohydrate ligands to selectins. Also implicated in tumor cell metastasis. Acts as a receptor for Lassa virus protein.
-
ID gène
- 3916
-
UniProt
- P11279
-
Pathways
- Autophagy
Antigène
-