Tel:
+49 (0)241 95 163 153
Fax:
+49 (0)241 95 163 155
E-Mail:
orders@anticorps-enligne.fr

BMP4 anticorps (AA 5-34)

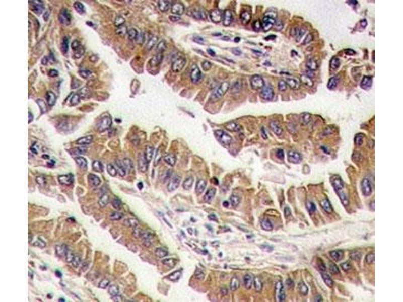
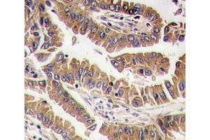
Cet anticorps anti-BMP4 Polyclonal Lapin (ABIN3030177) détecte spécifiquement BMP4 dans WB, IHC et ELISA. L’anticorps est réactif avec des échantillons de Humain.
N° du produit ABIN3030177
631,13 €
Plus frais de livraison 40,00 € et TVA
Destination: France
Envoi sous 6 à 9 jours ouvrables

Aperçu rapide pour BMP4 anticorps (AA 5-34) (ABIN3030177)

Antigène

Voir toutes BMP4 Anticorps
BMP4 (Bone Morphogenetic Protein 4 (BMP4))

Reactivité

  • 80
  • 43
  • 38
  • 17
  • 11
  • 10
  • 8
  • 7
  • 5
  • 4
  • 4
  • 3
  • 3
  • 2
  • 1
Humain

Hôte

  • 106
  • 25
  • 10
  • 1
  • 1
Lapin

Clonalité

  • 102
  • 41
Polyclonal

Conjugué

  • 69
  • 23
  • 11
  • 4
  • 3
  • 3
  • 3
  • 3
  • 3
  • 3
  • 3
  • 1
  • 1
  • 1
  • 1
  • 1
  • 1
  • 1
  • 1
  • 1
  • 1
  • 1
  • 1
  • 1
  • 1
  • 1
Cet anticorp BMP4 est non-conjugé

Application

  • 116
  • 55
  • 38
  • 38
  • 30
  • 20
  • 15
  • 12
  • 6
  • 2
  • 1
  • 1
  • 1
  • 1
  • 1
Western Blotting (WB), Immunohistochemistry (IHC), ELISA
  • Épitope

    • 12
    • 6
    • 6
    • 5
    • 5
    • 4
    • 4
    • 3
    • 3
    • 3
    • 3
    • 2
    • 2
    • 2
    • 2
    • 2
    • 1
    • 1
    • 1
    • 1
    • 1
    • 1
    • 1
    • 1
    • 1
    • 1
    • 1
    • 1
    AA 5-34

    Réactivité croisée (Details)

    Expected species reactivity: Mouse, Bovine, Rabbit

    Purification

    Purified

    Immunogène

    A portion of amino acids 5-34 from the human protein was used as the immunogen for this BMP4 antibody.

    Isotype

    Ig Fraction
  • Indications d'application

    Titration of the BMP4 antibody may be required due to differences in protocols and secondary/substrate sensitivity.\. Western blot: 1:1000,IHC (Paraffin): 1:10-1:50

    Restrictions

    For Research Use only
  • Format

    Liquid

    Buffer

    In 1X PBS, pH 7.4, with 0.09 % sodium azide

    Agent conservateur

    Sodium azide

    Précaution d'utilisation

    This product contains Sodium azide: a POISONOUS AND HAZARDOUS SUBSTANCE which should be handled by trained staff only.

    Stock

    -20 °C

    Stockage commentaire

    Aliquot the BMP4 antibody and store frozen at -20°C or colder. Avoid repeated freeze-thaw cycles.
  • Antigène

    BMP4 (Bone Morphogenetic Protein 4 (BMP4))

    Autre désignation

    BMP4

    Sujet

    Bmp4 is a member of the bone morphogenetic protein family which is part of the transforming growth factor-beta superfamily. The superfamily includes large families of growth and differentiation factors. Bone morphogenetic proteins were originally identified by an ability of demineralized bone extract to induce endochondral osteogenesis in vivo in an extraskeletal site. This particular family member plays an important role in the onset of endochondral bone formation in humans, and a reduction in expression has been associated with a variety of bone diseases, including the heritable disorder Fibrodysplasia Ossificans Progressiva. Alternative splicing in the 5' untranslated region of this gene has been described and three variants are described, all encoding an identical protein.

    UniProt

    P12644

    Pathways

    Steroid Hormone Mediated Signaling Pathway, Regulation of Muscle Cell Differentiation, Tube Formation, Skeletal Muscle Fiber Development
Vous êtes ici:
Chat with us!