Tel:
+49 (0)241 95 163 153
Fax:
+49 (0)241 95 163 155
E-Mail:
orders@anticorps-enligne.fr

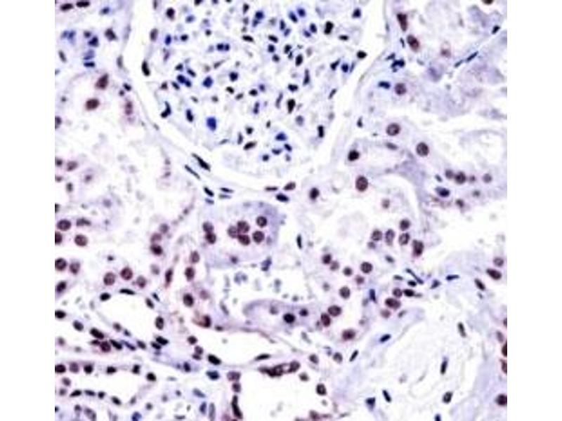
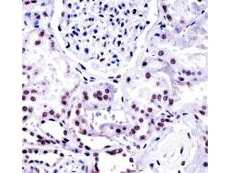
NONO anticorps (AA 45-74)

Cet anticorps anti-NONO Polyclonal Lapin (ABIN3032025) détecte spécifiquement NONO dans WB, IHC et ELISA. L’anticorps est réactif avec des échantillons de Humain.
N° du produit ABIN3032025
631,13 €
Plus frais de livraison 40,00 € et TVA
Destination: France
Envoi sous 6 à 9 jours ouvrables

Aperçu rapide pour NONO anticorps (AA 45-74) (ABIN3032025)

Antigène

Voir toutes NONO Anticorps
NONO (Non-POU Domain Containing, Octamer-Binding (NONO))

Reactivité

  • 88
  • 48
  • 44
  • 15
  • 13
  • 6
  • 5
  • 5
  • 5
  • 3
  • 3
  • 1
Humain

Hôte

  • 81
  • 5
  • 2
  • 1
Lapin

Clonalité

  • 61
  • 28
Polyclonal

Conjugué

  • 45
  • 6
  • 3
  • 3
  • 3
  • 3
  • 3
  • 3
  • 3
  • 2
  • 1
  • 1
  • 1
  • 1
  • 1
  • 1
  • 1
  • 1
  • 1
  • 1
  • 1
  • 1
  • 1
  • 1
  • 1
Cet anticorp NONO est non-conjugé

Application

  • 69
  • 42
  • 27
  • 22
  • 17
  • 14
  • 14
  • 13
  • 10
  • 6
  • 3
  • 2
  • 1
  • 1
  • 1
Western Blotting (WB), Immunohistochemistry (IHC), ELISA
  • Épitope

    • 15
    • 8
    • 7
    • 6
    • 4
    • 3
    • 2
    • 2
    • 2
    • 2
    • 1
    • 1
    • 1
    • 1
    • 1
    • 1
    • 1
    AA 45-74

    Réactivité croisée (Details)

    Expected species reactivity: Mouse, Rat

    Purification

    Antigen affinity purified

    Immunogène

    A portion of amino acids 45-74 from the human protein was used as the immunogen for this NONO antibody.

    Isotype

    Ig Fraction
  • Indications d'application

    Titration of the NONO antibody may be required due to differences in protocols and secondary/substrate sensitivity.\. Western blot: 1:1000,IHC (Paraffin): 1:10-1:50

    Restrictions

    For Research Use only
  • Format

    Liquid

    Buffer

    In 1X PBS, pH 7.4, with 0.09 % sodium azide

    Agent conservateur

    Sodium azide

    Précaution d'utilisation

    This product contains Sodium azide: a POISONOUS AND HAZARDOUS SUBSTANCE which should be handled by trained staff only.

    Stock

    -20 °C

    Stockage commentaire

    Aliquot the NONO antibody and store frozen at -20°C or colder. Avoid repeated freeze-thaw cycles.
  • Antigène

    NONO (Non-POU Domain Containing, Octamer-Binding (NONO))

    Autre désignation

    NONO

    Sujet

    This gene encodes 'Non POU domain containing octamer binding protein', or NONO, an RNA-binding protein which plays various roles in the nucleus, including transcriptional regulation and RNA splicing. A rearrangement between this gene and the transcription factor E3 gene has been observed in papillary renal cell carcinoma. Alternatively spliced transcript variants have been described. Pseudogenes exist on Chromosomes 2 and 16. [provided by RefSeq].

    UniProt

    Q15233
Vous êtes ici:
Chat with us!