Tel:
+49 (0)241 95 163 153
Fax:
+49 (0)241 95 163 155
E-Mail:
orders@anticorps-enligne.fr

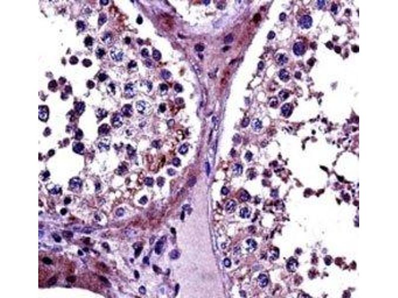
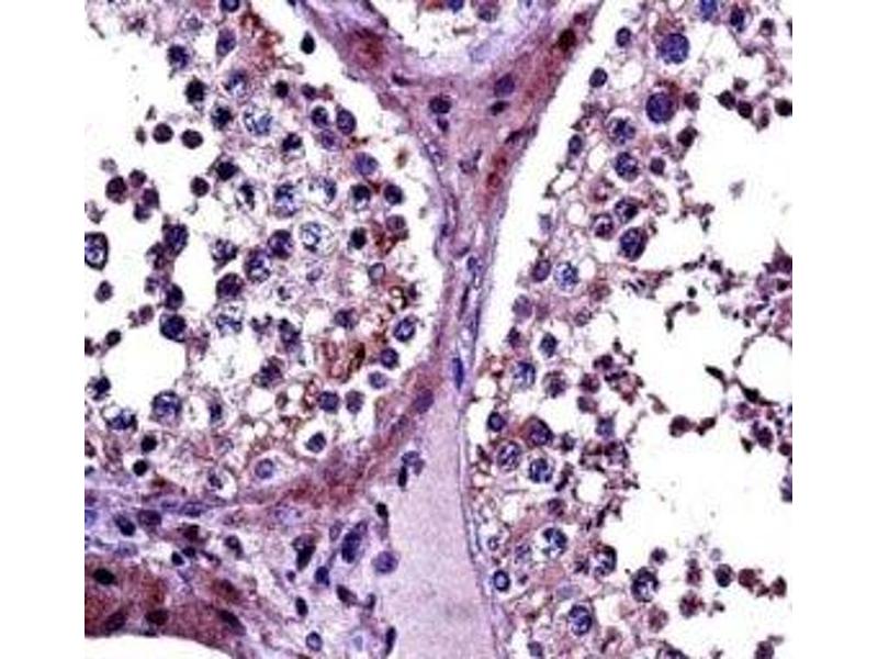
PRMT5 anticorps (AA 76-104)

L’anticorps anti-PRMT5 Polyclonal Lapin est utilisé pour la détection de PRMT5 dans des échantillons de Humain. Il a été validé pour WB, IHC et ELISA.
N° du produit ABIN3032360
631,13 €
Plus frais de livraison 40,00 € et TVA
Destination: France
Envoi sous 6 à 9 jours ouvrables

Aperçu rapide pour PRMT5 anticorps (AA 76-104) (ABIN3032360)

Antigène

Voir toutes PRMT5 Anticorps
PRMT5 (Protein Arginine Methyltransferase 5 (PRMT5))

Reactivité

  • 105
  • 52
  • 33
  • 8
  • 6
  • 6
  • 3
  • 3
  • 3
  • 2
  • 2
  • 2
  • 2
Humain

Hôte

  • 95
  • 7
  • 2
  • 1
Lapin

Clonalité

  • 71
  • 33
  • 1
Polyclonal

Conjugué

  • 59
  • 5
  • 4
  • 3
  • 3
  • 3
  • 3
  • 3
  • 3
  • 3
  • 1
  • 1
  • 1
  • 1
  • 1
  • 1
  • 1
  • 1
  • 1
  • 1
  • 1
  • 1
  • 1
  • 1
  • 1
  • 1
Cet anticorp PRMT5 est non-conjugé

Application

  • 73
  • 41
  • 33
  • 24
  • 14
  • 14
  • 14
  • 13
  • 13
  • 10
  • 6
  • 3
  • 2
  • 1
  • 1
  • 1
Western Blotting (WB), Immunohistochemistry (IHC), ELISA
  • Épitope

    • 15
    • 9
    • 7
    • 6
    • 5
    • 4
    • 3
    • 3
    • 2
    • 2
    • 2
    • 1
    • 1
    • 1
    • 1
    • 1
    • 1
    • 1
    • 1
    • 1
    • 1
    AA 76-104

    Réactivité croisée (Details)

    Expected species reactivity: Bovine, Primate

    Purification

    Antigen affinity purified

    Immunogène

    A portion of amino acids 76-104 from the human protein was used as the immunogen for this PRMT5 antibody.

    Isotype

    Ig Fraction
  • Indications d'application

    Titration of the PRMT5 antibody may be required due to differences in protocols and secondary/substrate sensitivity.\. Western blot: 1:1000,IHC (Paraffin): 1:10-1:50

    Restrictions

    For Research Use only
  • Format

    Liquid

    Buffer

    In 1X PBS, pH 7.4, with 0.09 % sodium azide

    Agent conservateur

    Sodium azide

    Précaution d'utilisation

    This product contains Sodium azide: a POISONOUS AND HAZARDOUS SUBSTANCE which should be handled by trained staff only.

    Stock

    -20 °C

    Stockage commentaire

    Aliquot the PRMT5 antibody and store frozen at -20°C or colder. Avoid repeated freeze-thaw cycles.
  • Antigène

    PRMT5 (Protein Arginine Methyltransferase 5 (PRMT5))

    Autre désignation

    PRMT5

    Sujet

    Arginine methyltransferase that can both catalyze the formation of omega-N monomethylarginine (MMA) and symmetrical dimethylarginine (sDMA), with a preference for the formation of MMA. Specifically mediates the symmetrical dimethylation of arginine residues in the small nuclear ribonucleoproteins Sm D1 (SNRPD1) and Sm D3 (SNRPD3), such methylation being required for the assembly and biogenesis of snRNP core particles. Methylates SUPT5H. Mono-and dimethylates arginine residues of myelin basic protein (MBP) in vitro. Plays a role in the assembly of snRNP core particles. May play a role in cytokine-activated transduction pathways. Negatively regulates cyclin E1 promoter activity and cellular proliferation. May regulate the SUPT5H transcriptional elongation properties. May be part of a pathway that is connected to a chloride current, possibly through cytoskeletal rearrangement. Methylates histone H2A and H4 'Arg-3' during germ cell development. Methylates histone H3 'Arg-8', which may repress transcription. Methylates the Piwi proteins (PIWIL1, PIWIL2 and PIWIL4), methylation of Piwi proteins being required for the interaction with Tudor domain-containing proteins and subsequent localization to the meiotic nuage. Methylates RPS10.

    UniProt

    O14744

    Pathways

    Chromatin Binding, Regulation of Muscle Cell Differentiation, Ribonucleoprotein Complex Subunit Organization, Skeletal Muscle Fiber Development
Vous êtes ici:
Chat with us!