Tel:
+49 (0)241 95 163 153
Fax:
+49 (0)241 95 163 155
E-Mail:
orders@anticorps-enligne.fr

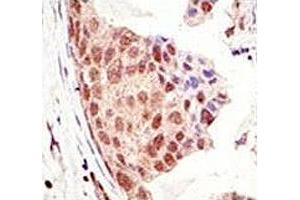
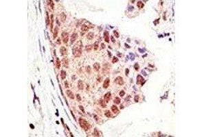
SUMO1 anticorps (AA 55-86)

Cet anticorps anti-SUMO1 Polyclonal Lapin (ABIN3032769) détecte spécifiquement SUMO1 dans WB, IHC, ELISA et FACS. L’anticorps est réactif avec des échantillons de Humain.
N° du produit ABIN3032769
631,13 €
Plus frais de livraison 40,00 € et TVA
Destination: France
Envoi sous 6 à 9 jours ouvrables

Aperçu rapide pour SUMO1 anticorps (AA 55-86) (ABIN3032769)

Antigène

Voir toutes SUMO1 Anticorps
SUMO1 (Small Ubiquitin Related Modifier Protein 1 (SUMO1))

Reactivité

  • 117
  • 99
  • 93
  • 6
  • 5
  • 5
  • 4
  • 4
  • 4
  • 4
  • 3
  • 3
  • 2
  • 1
  • 1
  • 1
  • 1
  • 1
  • 1
Humain

Hôte

  • 119
  • 36
  • 3
  • 1
  • 1
Lapin

Clonalité

  • 92
  • 69
Polyclonal

Conjugué

  • 75
  • 12
  • 7
  • 6
  • 4
  • 4
  • 4
  • 4
  • 4
  • 4
  • 2
  • 2
  • 2
  • 2
  • 2
  • 2
  • 2
  • 2
  • 2
  • 2
  • 2
  • 2
  • 2
  • 2
  • 2
  • 1
  • 1
  • 1
  • 1
  • 1
  • 1
  • 1
Cet anticorp SUMO1 est non-conjugé

Application

  • 134
  • 60
  • 59
  • 49
  • 44
  • 28
  • 27
  • 26
  • 24
  • 21
  • 8
  • 6
  • 6
  • 1
  • 1
  • 1
Western Blotting (WB), Immunohistochemistry (IHC), ELISA, Flow Cytometry (FACS)
  • Épitope

    • 15
    • 15
    • 10
    • 8
    • 7
    • 5
    • 4
    • 4
    • 3
    • 1
    • 1
    • 1
    • 1
    • 1
    • 1
    • 1
    • 1
    • 1
    AA 55-86

    Réactivité croisée (Details)

    Expected species reactivity: Mouse, Rat, Bovine, Pig

    Purification

    Purified

    Immunogène

    A portion of amino acids 55-86 from human SUMO1 was used as the immunogen for this SUMO antibody.

    Isotype

    Ig Fraction
  • Indications d'application

    Titration of the SUMO antibody may be required due to differences in protocols and secondary/substrate sensitivity.\. Western blot: 1:1000,IHC (Paraffin): 1:50-1:100,Flow Cytometry: 1:10-1:50

    Restrictions

    For Research Use only
  • Format

    Liquid

    Buffer

    In 1X PBS, pH 7.4, with 0.09 % sodium azide

    Agent conservateur

    Sodium azide

    Précaution d'utilisation

    This product contains Sodium azide: a POISONOUS AND HAZARDOUS SUBSTANCE which should be handled by trained staff only.

    Stock

    -20 °C

    Stockage commentaire

    Aliquot the SUMO antibody and store frozen at -20°C or colder. Avoid repeated freeze-thaw cycles.
  • Antigène

    SUMO1 (Small Ubiquitin Related Modifier Protein 1 (SUMO1))

    Autre désignation

    SUMO1

    Sujet

    Ubiquitin-like protein that can be covalently attached to proteins as a monomer or a lysine-linked polymer. Covalent attachment via an isopeptide bond to its substrates requires prior activation by the E1 complex SAE1-SAE2 and linkage to the E2 enzyme UBE2I, and can be promoted by E3 ligases such as PIAS1-4, RANBP2 or CBX4. This post-translational modification on lysine residues of proteins plays a crucial role in a number of cellular processes such as nuclear transport, DNA replication and repair, mitosis and signal transduction. Involved for instance in targeting RANGAP1 to the nuclear pore complex protein RANBP2. Covalently attached to the voltage-gated potassium channel KCNB1, this modulates the gating characteristics of KCNB1. Polymeric SUMO1 chains are also susceptible to polyubiquitination which functions as a signal for proteasomal degradation of modified proteins. May also regulate a network of genes involved in palate development. [UniProt]

    UniProt

    P63165

    Pathways

    M Phase, Positive Regulation of Endopeptidase Activity, Protein targeting to Nucleus, Ubiquitin Proteasome Pathway
Vous êtes ici:
Chat with us!