Tel:
+49 (0)241 95 163 153
Fax:
+49 (0)241 95 163 155
E-Mail:
orders@anticorps-enligne.fr

H2AFX anticorps (pSer139)

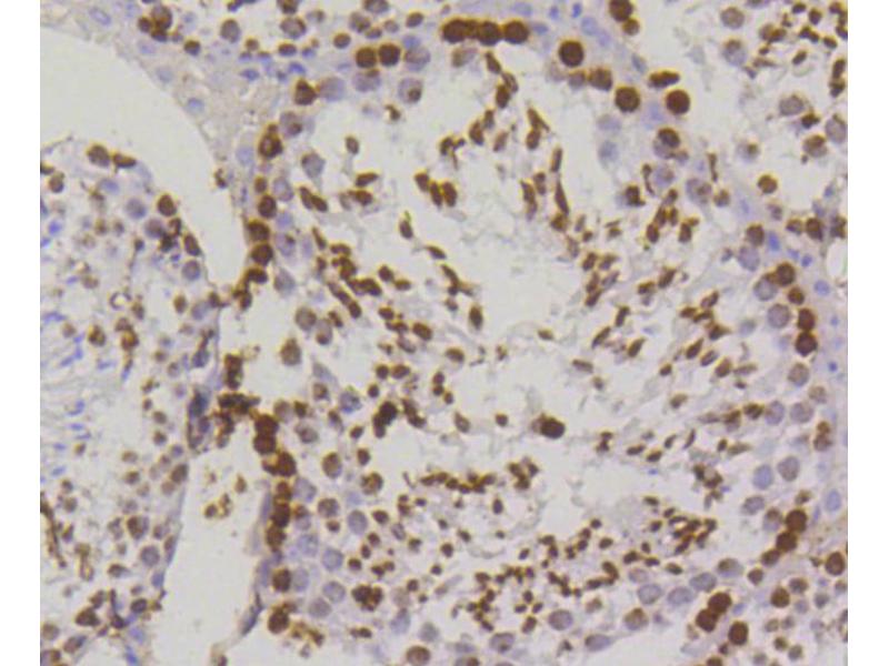
Cet anticorps Lapin Monoclonal détecte spécifiquement H2AFX dans WB et IHC (p). Il présente une réactivité avec des échantillons de Humain, Souris et Rat.
N° du produit ABIN5557485
456,42 €
Plus frais de livraison 40,00 € et TVA
100 μL
Destination: France
Envoi sous 12 à 17 jours ouvrables

Aperçu rapide pour H2AFX anticorps (pSer139) (ABIN5557485)

Antigène

Voir toutes H2AFX Anticorps
H2AFX (H2A Histone Family, Member X (H2AFX))

Reactivité

  • 211
  • 111
  • 89
  • 25
  • 25
  • 19
  • 15
  • 11
  • 8
  • 2
  • 2
  • 2
  • 2
  • 1
  • 1
  • 1
Humain, Souris, Rat

Hôte

  • 180
  • 31
  • 2
  • 2
Lapin

Clonalité

  • 121
  • 94
Monoclonal

Conjugué

  • 124
  • 10
  • 8
  • 8
  • 7
  • 6
  • 6
  • 6
  • 6
  • 4
  • 4
  • 3
  • 2
  • 2
  • 2
  • 2
  • 2
  • 2
  • 2
  • 2
  • 2
  • 2
  • 1
  • 1
  • 1
Cet anticorp H2AFX est non-conjugé

Application

  • 175
  • 89
  • 71
  • 55
  • 45
  • 31
  • 31
  • 28
  • 27
  • 16
  • 8
  • 4
  • 4
  • 4
  • 3
  • 2
  • 2
  • 2
  • 2
  • 2
  • 1
  • 1
  • 1
Western Blotting (WB), Immunohistochemistry (Paraffin-embedded Sections) (IHC (p))

Clone

1C14
  • Épitope

    • 49
    • 21
    • 18
    • 9
    • 5
    • 5
    • 5
    • 5
    • 3
    • 3
    • 3
    • 3
    • 3
    • 2
    • 2
    • 2
    • 2
    • 2
    • 2
    • 1
    • 1
    • 1
    • 1
    • 1
    • 1
    • 1
    • 1
    • 1
    • 1
    • 1
    • 1
    • 1
    • 1
    • 1
    • 1
    • 1
    • 1
    • 1
    • 1
    • 1
    • 1
    • 1
    • 1
    pSer139

     Réactivité croisée

    Humain, Souris, Rat

    Purification

    Purified by Protein A.

    Immunogène

    KLH conjugated Synthesised phosphopeptide derived from human Histone H2AX around the phosphorylation site of Ser139:QA(p-S)QE.

    Isotype

    IgG
  • Indications d'application

    WB 1:300-5000
    IHC-P 1:200-400

    Restrictions

    For Research Use only
  • Format

    Liquid

    Concentration

    1 μg/μL

    Buffer

    Aqueous buffered solution containing 1xTBS ( pH 7.4), 1 % BSA, 40 %Glycerol and 0.05 % Sodium Azide.

    Agent conservateur

    ProClin

    Précaution d'utilisation

    This product contains ProClin: a POISONOUS AND HAZARDOUS SUBSTANCE, which should be handled by trained staff only.

    Stock

    4 °C,-20 °C

    Stockage commentaire

    Shipped at 4°C. Store at -20°C for one year. Avoid repeated freeze/thaw cycles.

    Date de péremption

    12 months
  • Antigène

    H2AFX (H2A Histone Family, Member X (H2AFX))

    Autre désignation

    Histone H2A.X

    Sujet

    Synonyms: H2A histone family member X, Histone H2A.x, H2afx, H2a.x, H2ax, Hist5-2ax, H2A.X, H2A/X, H2AX, H2AFX, H2AX_HUMAN.

    Background: Histones are basic nuclear proteins that are responsible for the nucleosome structure of the chromosomal fiber in eukaryotes. Two molecules of each of the four core histones (H2A, H2B, H3, and H4) form an octamer, around which approximately 146 bp of DNA is wrapped in repeating units, called nucleosomes. The linker histone, H1, interacts with linker DNA between nucleosomes and functions in the compaction of chromatin into higher order structures. This gene encodes a member of the histone H2A family, and generates two transcripts through the use of the conserved stem-loop termination motif, and the polyA addition motif. [provided by RefSeq, Jul 2008].

    ID gène

    3014

    UniProt

    P16104

    Pathways

    Telomere Maintenance, Réparation de l'ADN, Positive Regulation of Response to DNA Damage Stimulus
Vous êtes ici:
Chat with us!