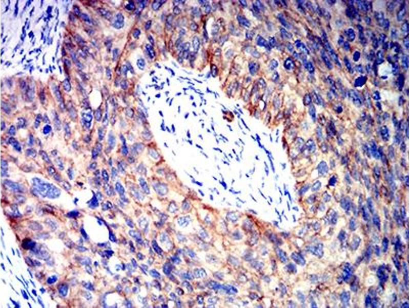
CTNNB1 anticorps (AA 1-100)
Aperçu rapide pour CTNNB1 anticorps (AA 1-100) (ABIN5611272)
Antigène
Voir toutes CTNNB1 AnticorpsReactivité
Hôte
Clonalité
Conjugué
Application
Clone
-
-
Épitope
- AA 1-100
-
Fonction
- CTNNB1 Antibody
-
Purification
- Purified antibody
-
Immunogène
- Purified recombinant fragment of human CTNNB1 (AA: 1-100) expressed in E. Coli.
-
Isotype
- IgG2b
-
-
-
-
Indications d'application
-
ELISA: 1/10000
FCM: 1/200 - 1/400
-
Restrictions
- For Research Use only
-
-
-
Format
- Liquid
-
Buffer
- Purified antibody in PBS with 0.05 % sodium azide.
-
Agent conservateur
- Sodium azide
-
Précaution d'utilisation
- This product contains Sodium azide: a POISONOUS AND HAZARDOUS SUBSTANCE which should be handled by trained staff only.
-
Stock
- 4 °C,-20 °C
-
Stockage commentaire
- Store at 4°C short term. Aliquot and store at -20°C long term. Avoid freeze/thaw cycles.
-
-
- CTNNB1 (Catenin (Cadherin-Associated Protein), beta 1, 88kDa (CTNNB1))
-
Autre désignation
- CTNNB1
-
Sujet
-
The protein encoded by this gene is part of a complex of proteins that constitute adherens junctions (AJs). AJs are necessary for the creation and maintenance of epithelial cell layers by regulating cell growth and adhesion between cells. The encoded protein also anchors the actin cytoskeleton and may be responsible for transmitting the contact inhibition signal that causes cells to stop dividing once the epithelial sheet is complete. Finally, this protein binds to the product of the APC gene, which is mutated in adenomatous polyposis of the colon. Mutations in this gene are a cause of colorectal cancer (CRC), pilomatrixoma (PTR), medulloblastoma (MDB), and ovarian cancer. Alternative splicing results in multiple transcript variants.
-
Poids moléculaire
- 85.5 kDa
-
ID gène
- 1499
-
UniProt
- P35222
-
Pathways
- Signalisation WNT, Intracellular Steroid Hormone Receptor Signaling Pathway, Peptide Hormone Metabolism, Regulation of Muscle Cell Differentiation, Cell-Cell Junction Organization, Tube Formation, Maintenance of Protein Location, Signaling Events mediated by VEGFR1 and VEGFR2
Antigène
-