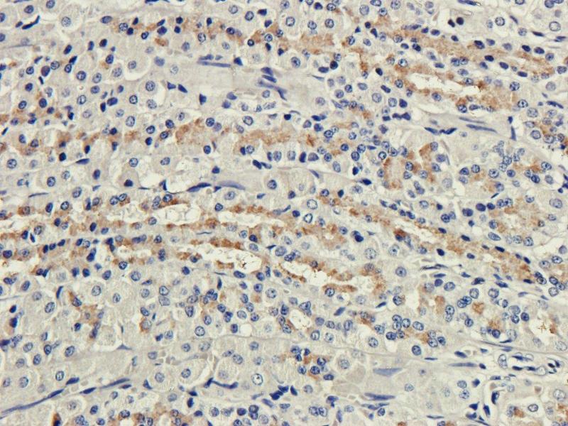
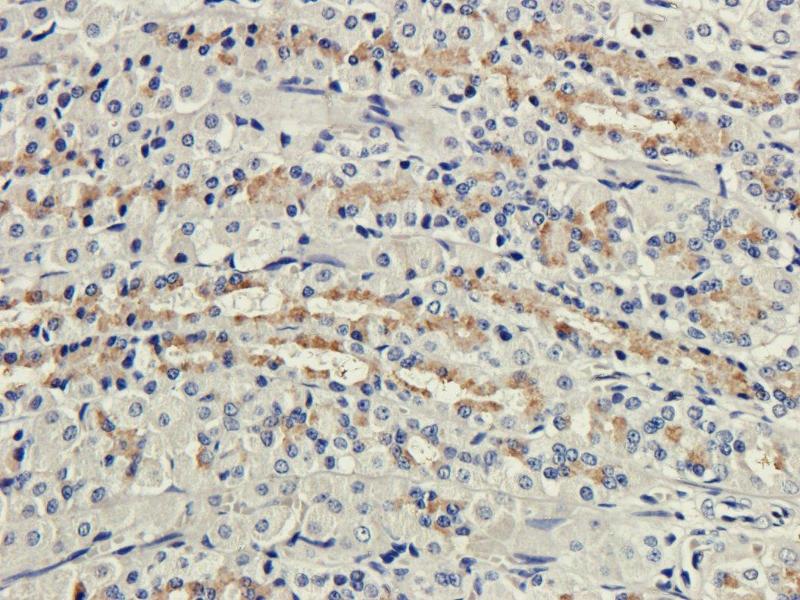
Recombinant CD35 anticorps
Aperçu rapide pour Recombinant CD35 anticorps (ABIN5668015)
Antigène
Voir toutes CD35 (CR1) AnticorpsType d'anticorp
Reactivité
Hôte
Clonalité
Conjugué
Application
Clone
-
-
Fonction
- Anti-CD35 (complement receptor 1) [8C12], Rabbit IgG, kappa
-
Specificité
- Recognises an epitope on CD35 (CR1, 190 kDa), but not on CD21 (CR2, 145-150 kDa), which are alternative splice variants of primary Cr2 gene transcripts.
-
Attributs du produit
-
Original Species of Ab: Rat
Original Format of Ab: IgG2a
-
Purification
- Protein A affinity purified
-
Immunogène
- Purified murine CR1 protein.
-
Isotype
- IgG kappa
-
-
-
-
Indications d'application
- This antibody recognises murine CD35, expressed on the majority of peripheral B-cells and peritoneal macrophages and upon fMet-Leu-Phe stimulation also on
-
Commentaires
-
This chimeric rabbit antibody was made using the variable domain sequences of the original Rat IgG2a format, for improved compatibility with existing reagents, assays and techniques.
-
Restrictions
- For Research Use only
-
-
-
Concentration
- 1 mg/mL
-
Buffer
- PBS with 0.02 % Proclin 300.
-
Agent conservateur
- ProClin
-
Précaution d'utilisation
- This product contains ProClin: a POISONOUS AND HAZARDOUS SUBSTANCE which should be handled by trained staff only.
-
Stock
- 4 °C,-20 °C
-
Stockage commentaire
- Store at 4°C for up to 3 months. For longer storage, aliquot and store at -20°C.
-
-
- CD35 (CR1) (Complement Component Receptor 1 (CD35) (CR1))
-
Autre désignation
- CD35 (complement receptor 1)
-
Sujet
- CR1 , C3BR, C4BR, CD35, KN
-
UniProt
- P17927
-
Pathways
- Système du Complément, Regulation of Leukocyte Mediated Immunity, Positive Regulation of Endopeptidase Activity
Antigène
-