FASL anticorps (AA 82-145)
Aperçu rapide pour FASL anticorps (AA 82-145) (ABIN574121)
Antigène
Voir toutes FASL AnticorpsReactivité
Hôte
Clonalité
Conjugué
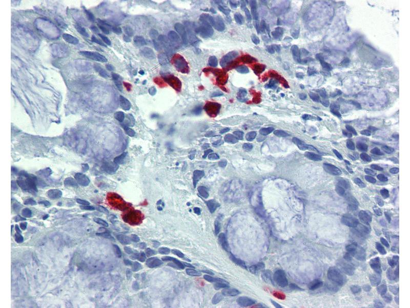
Application
-
-
Épitope
- AA 82-145
-
Specificité
- Human Fas Ligand.
-
Purification
- Immunoaffinity purified
-
Immunogène
-
Synthetic peptide containing a sequence corresponding to a region within amino acids 82 and 145 of Human Fas Ligand.
Type of Immunogen: Synthetic peptide
-
-
-
-
Indications d'application
- Approved: IHC, IHC-P (10 μg/mL), WB (1:500 - 1:3000)
-
Commentaires
-
Target Species of Antibody: Human
-
Restrictions
- For Research Use only
-
-
-
Format
- Liquid
-
Concentration
- Lot specific
-
Buffer
- 0.1 M Tris-glycine, pH 7, 10 % Glycerol, 0.01 % Thimerosal
-
Agent conservateur
- Thimerosal (Merthiolate)
-
Précaution d'utilisation
- This product contains Thimerosal (Merthiolate): a POISONOUS AND HAZARDOUS SUBSTANCE which should be handled by trained staff only.
-
Conseil sur la manipulation
- Minimize freezing and thawing.
-
Stock
- -20 °C
-
Stockage commentaire
- Aliquot and store at -20°C. Avoid freeze-thaw cycles.
-
-
- FASL (Fas Ligand (TNF Superfamily, Member 6) (FASL))
-
Autre désignation
- FASLG / FASL / Fas Ligand
-
Sujet
-
Name/Gene ID: FASLG
Family: TNF
Synonyms: FASLG, ALPS1B, Apoptosis antigen ligand, APTL, CD95L, CD95 ligand, CD178 antigen, CD95-L, Fas antigen ligand, Fas ligand, FASL, TNFSF6, APT1LG1, CD178 -
ID gène
- 356
-
UniProt
- P48023
-
Pathways
- Apoptose, EGFR Signaling Pathway, Production of Molecular Mediator of Immune Response, Positive Regulation of Endopeptidase Activity
Antigène
-