Growth Hormone 1 anticorps (AA 1-217)
Aperçu rapide pour Growth Hormone 1 anticorps (AA 1-217) (ABIN574125)
Antigène
Voir toutes Growth Hormone 1 (GH1) AnticorpsReactivité
Hôte
Clonalité
Conjugué
Application
-
-
Épitope
- AA 1-217
-
Specificité
- Human GH1. Predicted cross-reactivity based on amino acid sequence homology: monkey (81 % ). Immunogen shares only 60 % identity to mouse.
-
Purification
- Immunoaffinity purified
-
Immunogène
-
Recombinant protein fragment containing a sequence corresponding to a region within amino acids 1 and 217 of Human Growth hormone.
Type of Immunogen: Recombinant protein
-
-
-
-
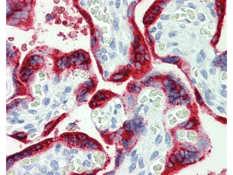
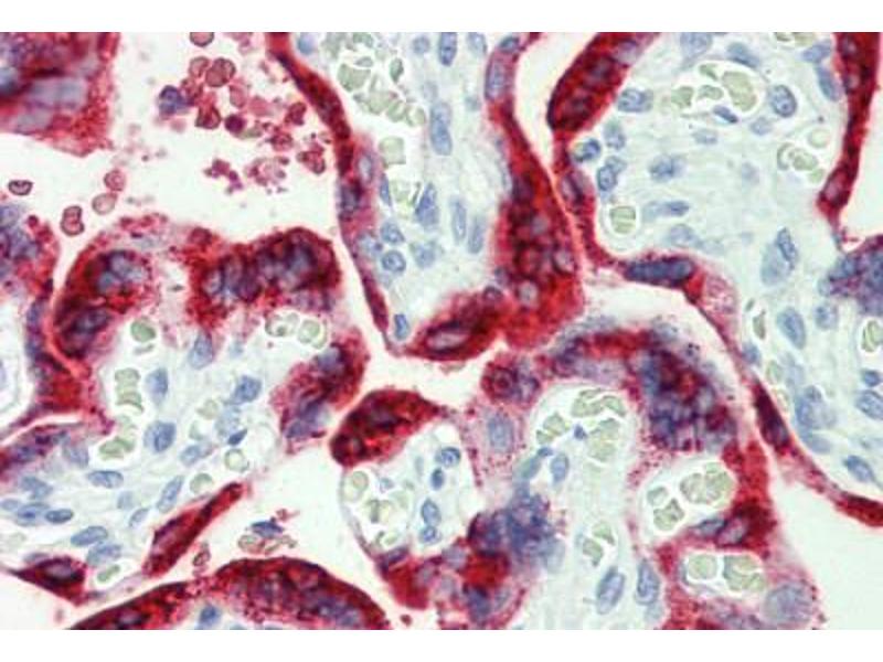
Indications d'application
- Approved: IHC, IHC-P (10 μg/mL), WB (1:500 - 1:3000)
-
Commentaires
-
Target Species of Antibody: Human
-
Restrictions
- For Research Use only
-
-
-
Format
- Liquid
-
Concentration
- Lot specific
-
Buffer
- 0.1 M Tris-glycine, pH 7, 10 % Glycerol, 0.01 % Thimerosal
-
Agent conservateur
- Thimerosal (Merthiolate)
-
Précaution d'utilisation
- This product contains Thimerosal (Merthiolate): a POISONOUS AND HAZARDOUS SUBSTANCE which should be handled by trained staff only.
-
Conseil sur la manipulation
- Minimize freezing and thawing.
-
Stock
- -20 °C
-
Stockage commentaire
- Aliquot and store at -20°C. Avoid freeze-thaw cycles.
-
-
- Growth Hormone 1 (GH1)
-
Autre désignation
- GH / Growth Hormone
-
Sujet
-
Name/Gene ID: GH1
Family: Somatotropin
Synonyms: GH1, Growth hormone, GH, GHN, IGHD1B, GH-N, Pituitary growth hormone, Growth hormone 1, HGH-N, Somatotropin -
ID gène
- 2688
-
UniProt
- P01241
-
Pathways
- Signalisation NF-kappaB, Signalistation JAK/STAT, Intracellular Steroid Hormone Receptor Signaling Pathway, Peptide Hormone Metabolism, Regulation of Intracellular Steroid Hormone Receptor Signaling, Regulation of Hormone Metabolic Process, Response to Growth Hormone Stimulus, Regulation of Hormone Biosynthetic Process
Antigène
-