Tel:
+49 (0)241 95 163 153
Fax:
+49 (0)241 95 163 155
E-Mail:
orders@anticorps-enligne.fr

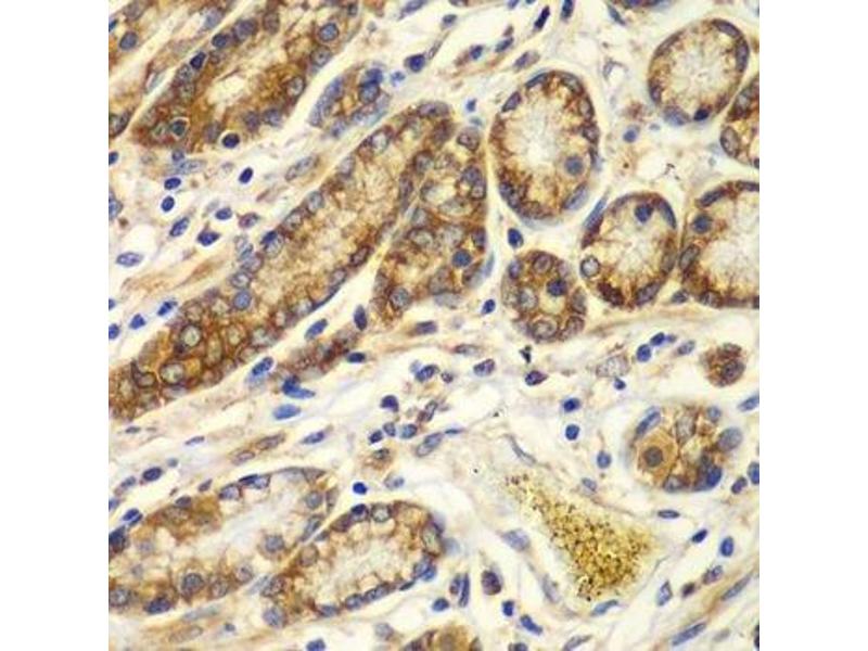
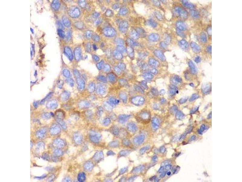
Calpain S1 anticorps (AA 69-268)

Cité dans 1 publication. Cet anticorps anti-Calpain S1 Polyclonal Lapin (ABIN6137928) détecte spécifiquement Calpain S1 dans WB, IHC et IF. L’anticorps est réactif avec des échantillons de Humain.
N° du produit ABIN6137928
320,00 €
Plus frais de livraison 40,00 € et TVA
Destination: France
Envoi sous 8 à 10 jours ouvrables

Aperçu rapide pour Calpain S1 anticorps (AA 69-268) (ABIN6137928)

Antigène

Voir toutes Calpain S1 (CAPNS1) Anticorps
Calpain S1 (CAPNS1) (Calpain, Small Subunit 1 (CAPNS1))

Reactivité

  • 49
  • 30
  • 21
  • 3
  • 2
  • 2
  • 1
  • 1
  • 1
  • 1
  • 1
  • 1
  • 1
Humain

Hôte

  • 42
  • 8
Lapin

Clonalité

  • 30
  • 20
Polyclonal

Conjugué

  • 23
  • 4
  • 3
  • 3
  • 3
  • 3
  • 3
  • 3
  • 2
  • 1
  • 1
  • 1
Cet anticorp Calpain S1 est non-conjugé

Application

  • 28
  • 17
  • 17
  • 17
  • 11
  • 5
  • 2
  • 1
  • 1
  • 1
Western Blotting (WB), Immunohistochemistry (IHC), Immunofluorescence (IF)
  • Épitope

    • 8
    • 3
    • 2
    • 1
    • 1
    • 1
    • 1
    • 1
    AA 69-268

    Séquence

    ISEAAAQYNP EPPPPRTHYS NIEANESEEV RQFRRLFAQL AGDDMEVSAT ELMNILNKVV TRHPDLKTDG FGIDTCRSMV AVMDSDTTGK LGFEEFKYLW NNIKRWQAIY KQFDTDRSGT ICSSELPGAF EAAGFHLNEH LYNMIIRRYS DESGNMDFDN FISCLVRLDA MFRAFKSLDK DGTGQIQVNI QEWLQLTMYS

     Réactivité croisée

    Humain, Souris, Rat

    Attributs du produit

    Polyclonal Antibodies

    Purification

    Affinity purification

    Immunogène

    Recombinant fusion protein containing a sequence corresponding to amino acids 69-268 of human Calpain small subunit 1 (NP_001740.1).

    Isotype

    IgG
  • Indications d'application

    WB,1:500 - 1:2000,IHC,1:50 - 1:100,IF,1:50 - 1:100

    Commentaires

    HIGH QUALITY

    Restrictions

    For Research Use only
  • Format

    Liquid

    Buffer

    PBS with 0.02 % sodium azide,50 % glycerol, pH 7.3.

    Agent conservateur

    Sodium azide

    Précaution d'utilisation

    This product contains Sodium azide: a POISONOUS AND HAZARDOUS SUBSTANCE which should be handled by trained staff only.

    Stock

    -20 °C

    Stockage commentaire

    Store at -20°C. Avoid freeze / thaw cycles.
  • Liu, Lou, Li, Xu, Ruan, Xiao, Qiu, Bao, Yuan, Huang, Wang, Cao, Chen, Yang, Zhang: "Calpain and AR-V7: Two potential therapeutic targets to overcome acquired docetaxel resistance in castration-resistant prostate cancer cells." dans: Oncology reports, Vol. 37, Issue 6, pp. 3651-3659, (2018) (PubMed).

  • Antigène

    Calpain S1 (CAPNS1) (Calpain, Small Subunit 1 (CAPNS1))

    Autre désignation

    CAPNS1

    Sujet

    This gene is a member of the calpain small subunit family. Calpains are calcium-dependent cysteine proteinases that are widely distributed in mammalian cells. Calpains operate as heterodimers, comprising a specific large catalytic subunit (calpain 1 subunit in Calpain I, and calpain 2 subunit in Calpain II), and a common small regulatory subunit encoded by this gene. This encoded protein is essential for the stability and function of both calpain heterodimers, whose proteolytic activities influence various cellular functions including apoptosis, proliferation, migration, adhesion, and autophagy. Calpains have been implicated in neurodegenerative processes, such as myotonic dystrophy. A pseudogene of this gene has been defined on chromosome 1. Alternative splicing results in multiple transcript variants.,CAPNS1,CALPAIN4,CANP,CANPS,CAPN4,CDPS,CSS1,Signal Transduction,Immunology & Inflammation,T Cell Receptor Signaling Pathway,Neuroscience,Calcium Signaling,CAPNS1

    Poids moléculaire

    28 kDa

    ID gène

    826

    UniProt

    P04632

    Pathways

    Apoptose
Vous êtes ici:
Chat with us!