Tel:
+49 (0)241 95 163 153
Fax:
+49 (0)241 95 163 155
E-Mail:
orders@anticorps-enligne.fr

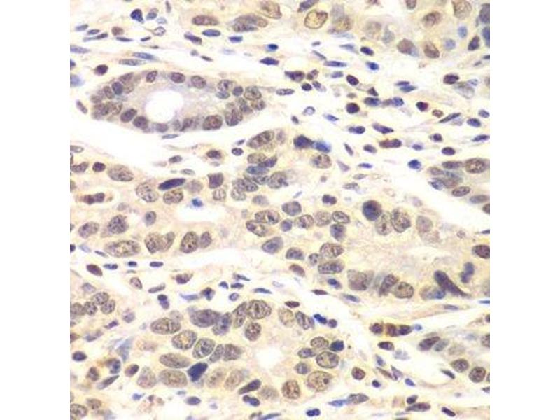
Cyclin C anticorps (AA 1-283)

Cet anticorps Lapin Polyclonal détecte spécifiquement Cyclin C dans WB et IHC. Il présente une réactivité avec des échantillons de Humain.
N° du produit ABIN6138076
320,00 €
Plus frais de livraison 40,00 € et TVA
Destination: France
Envoi sous 8 à 10 jours ouvrables

Aperçu rapide pour Cyclin C anticorps (AA 1-283) (ABIN6138076)

Antigène

Voir toutes Cyclin C (CCNC) Anticorps
Cyclin C (CCNC)

Reactivité

  • 63
  • 32
  • 30
  • 1
  • 1
  • 1
  • 1
  • 1
  • 1
Humain

Hôte

  • 62
  • 1
Lapin

Clonalité

  • 63
Polyclonal

Conjugué

  • 25
  • 4
  • 3
  • 3
  • 2
  • 2
  • 2
  • 2
  • 2
  • 2
  • 2
  • 2
  • 2
  • 2
  • 2
  • 1
  • 1
  • 1
  • 1
  • 1
  • 1
Cet anticorp Cyclin C est non-conjugé

Application

  • 52
  • 26
  • 26
  • 22
  • 8
  • 6
  • 6
  • 4
  • 3
  • 3
  • 2
  • 2
  • 1
  • 1
Western Blotting (WB), Immunohistochemistry (IHC)
  • Épitope

    • 23
    • 15
    • 6
    • 4
    • 3
    • 3
    • 2
    • 2
    • 2
    • 1
    • 1
    • 1
    • 1
    AA 1-283

    Séquence

    MAGNFWQSSH YLQWILDKQD LLKERQKDLK FLSEEEYWKL QIFFTNVIQA LGEHLKLRQQ VIATATVYFK RFYARYSLKS IDPVLMAPTC VFLASKVEEF GVVSNTRLIA AATSVLKTRF SYAFPKEFPY RMNHILECEF YLLELMDCCL IVYHPYRPLL QYVQDMGQED MLLPLAWRIV NDTYRTDLCL LYPPFMIALA CLHVACVVQQ KDARQWFAEL SVDMEKILEI IRVILKLYEQ WKNFDERKEM ATILSKMPKP KPPPNSEGEQ GPNGSQNSSY SQS

     Réactivité croisée

    Humain, Souris, Rat

    Attributs du produit

    Polyclonal Antibodies

    Purification

    Affinity purification

    Immunogène

    Recombinant fusion protein containing a sequence corresponding to amino acids 1-283 of human Cyclin C (NP_005181.2).

    Isotype

    IgG
  • Indications d'application

    WB,1:500 - 1:2000,IHC,1:50 - 1:200

    Commentaires

    HIGH QUALITY

    Restrictions

    For Research Use only
  • Format

    Liquid

    Buffer

    PBS with 0.02 % sodium azide,50 % glycerol, pH 7.3.

    Agent conservateur

    Sodium azide

    Précaution d'utilisation

    This product contains Sodium azide: a POISONOUS AND HAZARDOUS SUBSTANCE which should be handled by trained staff only.

    Stock

    -20 °C

    Stockage commentaire

    Store at -20°C. Avoid freeze / thaw cycles.
  • Antigène

    Cyclin C (CCNC)

    Autre désignation

    CCNC

    Sujet

    The protein encoded by this gene is a member of the cyclin family of proteins. The encoded protein interacts with cyclin-dependent kinase 8 and induces the phophorylation of the carboxy-terminal domain of the large subunit of RNA polymerase II. The level of mRNAs for this gene peaks in the G1 phase of the cell cycle. Two transcript variants encoding different isoforms have been found for this gene.,CCNC,CycC,SRB11,hSRB11,cyclin-C,Epigenetics & Nuclear Signaling,Cell Biology & Developmental Biology,Cell Cycle,Cyclins,CCNC

    Poids moléculaire

    22 kDa/33 kDa

    ID gène

    892

    UniProt

    P24863

    Pathways

    Cycle Cellulaire, Regulation of Lipid Metabolism by PPARalpha
Vous êtes ici:
Chat with us!