Tel:
+49 (0)241 95 163 153
Fax:
+49 (0)241 95 163 155
E-Mail:
orders@anticorps-enligne.fr

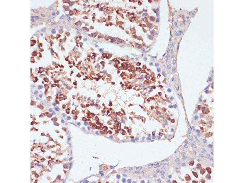
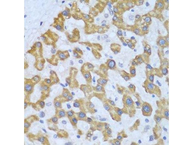
PKC delta anticorps (AA 477-676)

L’anticorps anti-PKC delta Polyclonal Lapin est utilisé pour la détection de PKC delta dans des échantillons de Humain. Il a été validé pour WB, IHC et IF.
N° du produit ABIN6146203
320,00 €
Plus frais de livraison 40,00 € et TVA
Destination: France
Envoi sous 8 à 10 jours ouvrables

Aperçu rapide pour PKC delta anticorps (AA 477-676) (ABIN6146203)

Antigène

Voir toutes PKC delta (PKCd) Anticorps
PKC delta (PKCd) (Protein Kinase C, delta (PKCd))

Reactivité

  • 223
  • 182
  • 160
  • 8
  • 3
  • 3
  • 3
  • 3
  • 2
  • 1
  • 1
Humain

Hôte

  • 233
  • 8
Lapin

Clonalité

  • 191
  • 50
Polyclonal

Conjugué

  • 89
  • 16
  • 10
  • 9
  • 6
  • 6
  • 6
  • 6
  • 6
  • 6
  • 6
  • 6
  • 6
  • 6
  • 6
  • 6
  • 6
  • 6
  • 6
  • 6
  • 6
  • 6
  • 3
  • 3
  • 3
Cet anticorp PKC delta est non-conjugé

Application

  • 181
  • 81
  • 81
  • 72
  • 68
  • 51
  • 32
  • 28
  • 28
  • 21
  • 12
  • 2
  • 1
  • 1
  • 1
  • 1
Western Blotting (WB), Immunohistochemistry (IHC), Immunofluorescence (IF)
  • Épitope

    • 20
    • 19
    • 16
    • 15
    • 15
    • 15
    • 14
    • 9
    • 8
    • 8
    • 7
    • 5
    • 5
    • 4
    • 2
    • 2
    • 2
    • 2
    • 2
    • 2
    • 2
    • 2
    • 2
    • 1
    • 1
    • 1
    • 1
    • 1
    • 1
    • 1
    • 1
    • 1
    • 1
    • 1
    • 1
    • 1
    • 1
    • 1
    • 1
    • 1
    • 1
    • 1
    • 1
    • 1
    • 1
    AA 477-676

    Séquence

    DNVLLDRDGH IKIADFGMCK ENIFGESRAS TFCGTPDYIA PEILQGLKYT FSVDWWSFGV LLYEMLIGQS PFHGDDEDEL FESIRVDTPH YPRWITKESK DILEKLFERE PTKRLGVTGN IKIHPFFKTI NWTLLEKRRL EPPFRPKVKS PRDYSNFDQE FLNEKARLSY SDKNLIDSMD QSAFAGFSFV NPKFEHLLED

     Réactivité croisée

    Humain, Souris, Rat

    Attributs du produit

    Polyclonal Antibodies

    Immunogène

    Recombinant fusion protein containing a sequence corresponding to amino acids 477-676 of human PKC delta (NP_997704.1).

    Isotype

    IgG
  • Indications d'application

    WB,1:500 - 1:2000,IHC,1:50 - 1:100,IF,1:50 - 1:100

    Commentaires

    HIGH QUALITY

    Restrictions

    For Research Use only
  • Format

    Liquid

    Buffer

    PBS with 0.02 % sodium azide,50 % glycerol, pH 7.3.

    Agent conservateur

    Sodium azide

    Précaution d'utilisation

    This product contains Sodium azide: a POISONOUS AND HAZARDOUS SUBSTANCE which should be handled by trained staff only.

    Stock

    -20 °C

    Stockage commentaire

    Store at -20°C. Avoid freeze / thaw cycles.
  • Antigène

    PKC delta (PKCd) (Protein Kinase C, delta (PKCd))

    Autre désignation

    PRKCD

    Sujet

    Protein kinase C (PKC) is a family of serine- and threonine-specific protein kinases that can be activated by calcium and the second messenger diacylglycerol. PKC family members phosphorylate a wide variety of protein targets and are known to be involved in diverse cellular signaling pathways. PKC family members also serve as major receptors for phorbol esters, a class of tumor promoters. Each member of the PKC family has a specific expression profile and is believed to play distinct roles in cells. The protein encoded by this gene is one of the PKC family members. Studies both in human and mice demonstrate that this kinase is involved in B cell signaling and in the regulation of growth, apoptosis, and differentiation of a variety of cell types. Alternatively spliced transcript variants encoding the same protein have been observed.,PRKCD,ALPS3,CVID9,MAY1,PKCD,nPKC-delta,PKCδ,Cancer,Signal Transduction,G protein signaling,G2/M DNA Damage Checkpoint,Kinase,Serine/threonine kinases,Phospholipase Signaling Pathway,Protein Kinase C Signaling Pathway,ErbB-HER Signaling Pathway,MAPK-Erk Signaling Pathway,Cell Biology & Developmental Biology,Apoptosis,Mitochondrial Control of Apoptosis,Inhibition of Apoptosis,TGF-b-Smad Signaling Pathway,Immunology & Inflammation,B Cell Receptor Signaling Pathway,Neuroscience,PRKCD

    Poids moléculaire

    77 kDa/80 kDa

    ID gène

    5580

    UniProt

    Q05655

    Pathways

    Interferon-gamma Pathway, EGFR Signaling Pathway, Neurotrophin Signaling Pathway, Thyroid Hormone Synthesis, Regulation of Actin Filament Polymerization, Carbohydrate Homeostasis, Myometrial Relaxation and Contraction, M Phase, G-protein mediated Events, Dicarboxylic Acid Transport, Positive Regulation of Response to DNA Damage Stimulus, Interaction of EGFR with phospholipase C-gamma, Thromboxane A2 Receptor Signaling, Lipid Metabolism
Vous êtes ici:
Chat with us!