Tel:
+49 (0)241 95 163 153
Fax:
+49 (0)241 95 163 155
E-Mail:
orders@anticorps-enligne.fr

BIRC2 anticorps (C-Term)

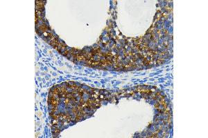
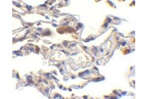
L’anticorps anti-BIRC2 Polyclonal Lapin est utilisé pour la détection de BIRC2 dans des échantillons de Humain, Souris et Rat. Il a été validé pour WB, IHC, ELISA, ICC et IF.
N° du produit ABIN6260268
525,71 €
Plus frais de livraison 40,00 € et TVA
Destination: France
Envoi sous 9 à 11 jours ouvrables

Aperçu rapide pour BIRC2 anticorps (C-Term) (ABIN6260268)

Antigène

Voir toutes BIRC2 Anticorps
BIRC2 (Baculoviral IAP Repeat Containing 2 (BIRC2))

Reactivité

Humain, Souris, Rat

Hôte

  • 64
  • 4
Lapin

Clonalité

  • 34
  • 34
Polyclonal

Conjugué

  • 26
  • 9
  • 5
  • 3
  • 3
  • 3
  • 3
  • 3
  • 3
  • 3
  • 3
  • 2
  • 1
  • 1
Cet anticorp BIRC2 est non-conjugé

Application

  • 62
  • 39
  • 26
  • 24
  • 19
  • 13
  • 4
  • 3
  • 1
  • 1
  • 1
Western Blotting (WB), Immunohistochemistry (IHC), ELISA, Immunocytochemistry (ICC), Immunofluorescence (IF)
  • Épitope

    • 6
    • 6
    • 4
    • 3
    • 2
    • 2
    • 2
    • 2
    • 2
    • 1
    • 1
    • 1
    C-Term

    Specificité

    BIRC2 Antibody detects endogenous levels of total BIRC2.

    Homologie

    Bovine,Horse,Sheep,Rabbit,Dog

    Purification

    The antiserum was purified by peptide affinity chromatography using SulfoLinkTM Coupling Resin (Thermo Fisher Scientific).

    Immunogène

    A synthesized peptide derived from human BIRC2, corresponding to a region within C-terminal amino acids.

    Isotype

    IgG
  • Indications d'application

    WB 1:500-1:2000, IHC 1:50-1:200, IF/ICC 1:100-1:400, ELISA(peptide) 1:20000-1:40000

    Restrictions

    For Research Use only
  • Format

    Liquid

    Concentration

    1 mg/mL

    Buffer

    Rabbit IgG in phosphate buffered saline , pH 7.4, 150 mM NaCl, 0.02 % sodium azide and 50 % glycerol.

    Agent conservateur

    Sodium azide

    Précaution d'utilisation

    This product contains Sodium azide: a POISONOUS AND HAZARDOUS SUBSTANCE which should be handled by trained staff only.

    Stock

    -20 °C

    Stockage commentaire

    Store at -20 °C. Stable for 12 months from date of receipt.

    Date de péremption

    12 months
  • Antigène

    BIRC2 (Baculoviral IAP Repeat Containing 2 (BIRC2))

    Autre désignation

    BIRC2

    Sujet

    Description: Multi-functional protein which regulates not only caspases and apoptosis, but also modulates inflammatory signaling and immunity, mitogenic kinase signaling, and cell proliferation, as well as cell invasion and metastasis. Acts as an E3 ubiquitin-protein ligase regulating NF-kappa-B signaling and regulates both canonical and non-canonical NF-kappa-B signaling by acting in opposite directions: acts as a positive regulator of the canonical pathway and suppresses constitutive activation of non-canonical NF-kappa-B signaling. The target proteins for its E3 ubiquitin-protein ligase activity include: RIPK1, RIPK2, RIPK3, RIPK4, CASP3, CASP7, CASP8, TRAF2, DIABLO/SMAC, MAP3K14/NIK, MAP3K5/ASK1, IKBKG/NEMO, IKBKE and MXD1/MAD1. Can also function as an E3 ubiquitin-protein ligase of the NEDD8 conjugation pathway, targeting effector caspases for neddylation and inactivation. Acts as an important regulator of innate immune signaling via regulation of Toll-like receptors (TLRs), Nodlike receptors (NLRs) and RIG-I like receptors (RLRs), collectively referred to as pattern recognition receptors (PRRs). Protects cells from spontaneous formation of the ripoptosome, a large multi-protein complex that has the capability to kill cancer cells in a caspase-dependent and caspase-independent manner. Suppresses ripoptosome formation by ubiquitinating RIPK1 and CASP8. Can stimulate the transcriptional activity of E2F1. Plays a role in the modulation of the cell cycle.

    Gene: BIRC2

    Poids moléculaire

    70kDa

    ID gène

    329

    UniProt

    Q13490

    Pathways

    Apoptose, Caspase Cascade in Apoptosis, Activation of Innate immune Response, Toll-Like Receptors Cascades
Vous êtes ici:
Chat with us!