PABPC4 anticorps (N-Term)
Aperçu rapide pour PABPC4 anticorps (N-Term) (ABIN629988)
Antigène
Voir toutes PABPC4 AnticorpsReactivité
Hôte
Clonalité
Conjugué
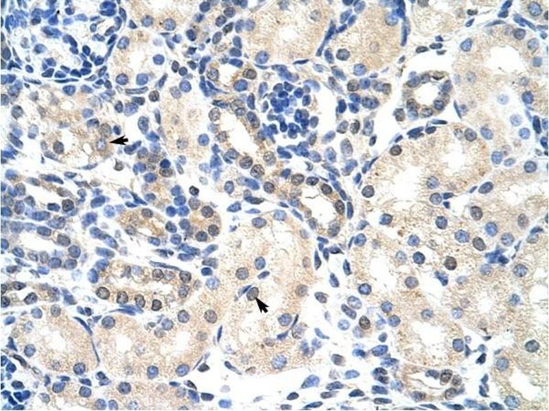
Application
-
-
Épitope
- N-Term
-
Specificité
- PABPC4 antibody was raised against the N terminal of PABPC4
-
Purification
- Purified
-
Immunogène
- PABPC4 antibody was raised using the N terminal of PABPC4 corresponding to a region with amino acids AELGAKAKEFTNVYIKNFGEEVDDESLKELFSQFGKTLSVKVMRDPNGKS
-
-
-
-
Indications d'application
-
WB: 1.25 µg/mL, IHC: 4-8 µg/mL
Optimal conditions should be determined by the investigator. -
Commentaires
-
PABPC4 Blocking Peptide, (ABIN936523), is also available for use as a blocking control in assays to test for specificity of this PABPC4 antibody
-
Restrictions
- For Research Use only
-
-
-
Format
- Lyophilized
-
Reconstitution
- Lyophilized powder. Add distilled water for a 1 mg/mL concentration of PABPC4 antibody in PBS
-
Concentration
- Lot specific
-
Buffer
- PBS
-
Conseil sur la manipulation
-
Avoid repeated freeze/thaw cycles.
Dilute only prior to immediate use. -
Stock
- 4 °C/-20 °C
-
Stockage commentaire
- Store at 2-8 °C for short periods. For longer periods of storage, store at -20 °C.
-
-
- PABPC4 (Poly(A) Binding Protein, Cytoplasmic 4 (Inducible Form) (PABPC4))
-
Autre désignation
- PABPC4
-
Sujet
- Poly(A)-binding proteins (PABPs) bind to the poly(A) tail present at the 3-prime ends of most eukaryotic mRNAs. PABPC4 or IPABP (inducible PABP) was isolated as an activation-induced T-cell mRNA encoding a protein. Activation of T cells increased PABPC4 mRNA levels in T cells approximately 5-fold. PABPC4 contains 4 RNA-binding domains and proline-rich C terminus. PABPC4 is localized primarily to the cytoplasm. It is suggested that PABPC4 might be necessary for regulation of stability of labile mRNA species in activated T cells.
-
Poids moléculaire
- 71 kDa (MW of target protein)
-
Pathways
- SARS-CoV-2 Protein Interactome
Antigène
-