IFIT3 anticorps (N-Term)
Aperçu rapide pour IFIT3 anticorps (N-Term) (ABIN632163)
Antigène
Voir toutes IFIT3 AnticorpsReactivité
Hôte
Clonalité
Conjugué
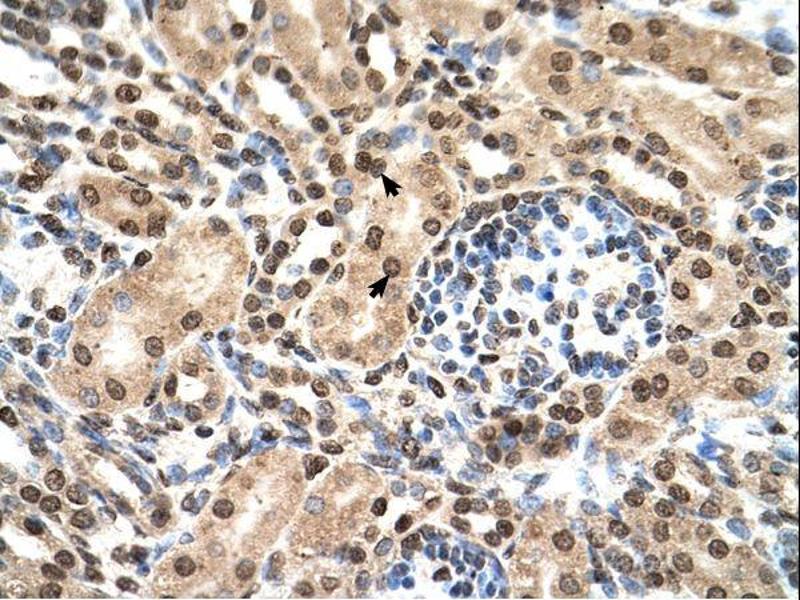
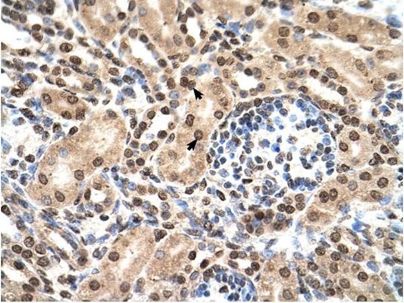
Application
-
-
Épitope
- N-Term
-
Specificité
- IFIT3 antibody was raised against the N terminal of IFIT3
-
Purification
- Affinity purified
-
Immunogène
- IFIT3 antibody was raised using the N terminal of IFIT3 corresponding to a region with amino acids ATMYNLLAYIKHLDGNNEAALECLRQAEELIQQEHADQAEIRSLVTWGNY
-
-
-
-
Indications d'application
-
WB: 0.25 µg/mL, IHC: 4-8 µg/mL
Optimal conditions should be determined by the investigator. -
Commentaires
-
IFIT3 Blocking Peptide, (ABIN936954), is also available for use as a blocking control in assays to test for specificity of this IFIT3 antibody
-
Restrictions
- For Research Use only
-
-
-
Format
- Lyophilized
-
Reconstitution
- Lyophilized powder. Add distilled water for a 1 mg/mL concentration of IFIT3 antibody in PBS
-
Concentration
- Lot specific
-
Buffer
- PBS
-
Conseil sur la manipulation
-
Avoid repeated freeze/thaw cycles.
Dilute only prior to immediate use. -
Stock
- 4 °C/-20 °C
-
Stockage commentaire
- Store at 2-8 °C for short periods. For longer periods of storage, store at -20 °C.
-
-
- IFIT3 (Interferon-Induced Protein with Tetratricopeptide Repeats 3 (IFIT3))
-
Autre désignation
- IFIT3
-
Sujet
- IFIT3 is involved in protein binding.
-
Poids moléculaire
- 56 kDa (MW of target protein)
Antigène
-