Tel:
+49 (0)241 95 163 153
Fax:
+49 (0)241 95 163 155
E-Mail:
orders@anticorps-enligne.fr

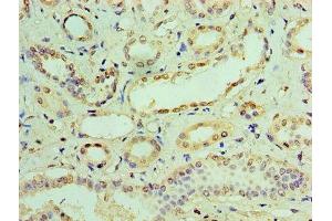
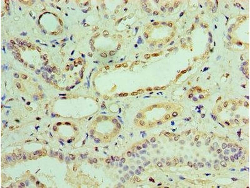
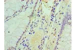
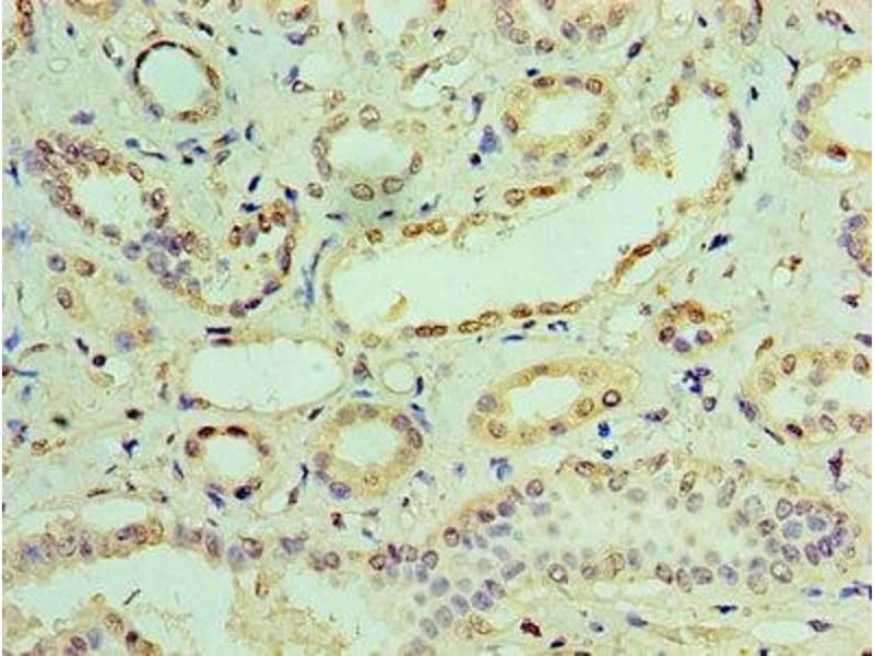
IFIT3 anticorps (AA 1-490)

L’anticorps anti-IFIT3 Polyclonal Lapin est utilisé pour la détection de IFIT3 dans des échantillons de Humain. Il a été validé pour WB, ELISA, IHC, IP et IF.
N° du produit ABIN7156671
328,90 €
Plus frais de livraison 40,00 € et TVA
Destination: France
Envoi sous 11 à 15 jours ouvrables

Aperçu rapide pour IFIT3 anticorps (AA 1-490) (ABIN7156671)

Antigène

Voir toutes IFIT3 Anticorps
IFIT3 (Interferon-Induced Protein with Tetratricopeptide Repeats 3 (IFIT3))

Reactivité

  • 45
  • 6
  • 4
  • 2
  • 1
  • 1
Humain

Hôte

  • 41
  • 5
Lapin

Clonalité

  • 43
  • 3
Polyclonal

Conjugué

  • 28
  • 3
  • 2
  • 2
  • 1
  • 1
  • 1
  • 1
  • 1
  • 1
  • 1
  • 1
  • 1
  • 1
  • 1
Cet anticorp IFIT3 est non-conjugé

Application

  • 38
  • 13
  • 13
  • 13
  • 8
  • 8
  • 4
  • 4
  • 3
  • 3
  • 2
  • 1
  • 1
  • 1
Western Blotting (WB), ELISA, Immunohistochemistry (IHC), Immunoprecipitation (IP), Immunofluorescence (IF)
  • Épitope

    • 15
    • 7
    • 2
    • 2
    • 2
    • 2
    • 2
    • 1
    • 1
    • 1
    • 1
    • 1
    • 1
    AA 1-490

    Fonction

    IFIT3 Antibody

    Purification

    Protein G purified

    Pureté

    >95 %

    Immunogène

    Recombinant Human Interferon-induced protein with tetratricopeptide repeats 3 protein (1-490AA)

    Isotype

    IgG
  • Indications d'application

    Optimal working dilution should be determined by the investigator.

    Restrictions

    For Research Use only
  • Format

    Liquid

    Buffer

    Preservative: 0.03 % Proclin 300
    Constituents: 50 % Glycerol, 0.01M PBS, PH 7.4

    Agent conservateur

    ProClin

    Précaution d'utilisation

    This product contains ProClin: a POISONOUS AND HAZARDOUS SUBSTANCE which should be handled by trained staff only.

    Stock

    -20 °C,-80 °C

    Stockage commentaire

    Upon receipt, store at -20°C or -80°C. Avoid repeated freeze.
  • Antigène

    IFIT3 (Interferon-Induced Protein with Tetratricopeptide Repeats 3 (IFIT3))

    Autre désignation

    IFIT3

    Sujet

    Background: IFN-induced antiviral protein which acts as an inhibitor of cellular as well as viral processes, cell migration, proliferation, signaling, and viral replication. Enhances MAVS-mediated host antiviral responses by serving as an adapter bridging TBK1 to MAVS which leads to the activation of TBK1 and phosphorylation of IRF3 and phosphorylated IRF3 translocates into nucleus to promote antiviral gene transcription. Exihibits an antiproliferative activity via the up-regulation of cell cycle negative regulators CDKN1A/p21 and CDKN1B/p27. Normally, CDKN1B/p27 turnover is regulated by COPS5, which binds CDKN1B/p27 in the nucleus and exports it to the cytoplasm for ubiquitin-dependent degradation. IFIT3 sequesters COPS5 in the cytoplasm, thereby increasing nuclear CDKN1B/p27 protein levels. Upregulates CDKN1A/p21 by downregulating MYC, a repressor of CDKN1A/p21. Can negatively regulate the apoptotic effects of IFIT2.

    Aliases: CIG 49 antibody, CIG49 antibody, GARG 49 antibody, IFI-60K antibody, IFI60 antibody, IFI60K antibody, IFIT-3 antibody, IFIT-4 antibody, Ifit3 antibody, IFIT3_HUMAN antibody, IFIT4 antibody, Interferon induced 60 kDa protein antibody, Interferon induced protein 60 antibody, Interferon induced protein with tetratricopeptide repeats 3 antibody, Interferon-induced 60 kDa protein antibody, Interferon-induced protein with tetratricopeptide repeats 3 antibody, Interferon-induced protein with tetratricopeptide repeats 4 antibody, IRG2 antibody, ISG-60 antibody, ISG60 antibody, P60 antibody, Retinoic acid induced gene G protein antibody, Retinoic acid-induced gene G protein antibody, RIG G antibody, RIG-G antibody, RIGG antibody, RP11-149I23.4 antibody

    UniProt

    O14879
Vous êtes ici:
Chat with us!