CNGB3 anticorps (AA 175-186)
Aperçu rapide pour CNGB3 anticorps (AA 175-186) (ABIN6391408)
Antigène
Voir toutes CNGB3 AnticorpsReactivité
Hôte
Clonalité
Conjugué
Application
Classe de qualité
-
-
Épitope
- AA 175-186
-
Fonction
- CNGB3 (aa175-186)
-
Séquence
- ESDDKPTEHY YR
-
Réactivité croisée
- Humain
-
Purification
- Purified from goat serum by ammonium sulphate precipitation followed by antigen affinity chromatography using the immunizing peptide.
-
Isotype
- IgG
-
-
-
-
Indications d'application
-
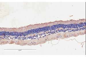
Immunohistochemistry: In paraffin embedded Human Retina shows primarily staining of the pigmented epithelial cells. Recommended concentration: 2-4 μg/mL.
Peptide ELISA: antibody detection limit dilution 1:8000.
-
Restrictions
- For Research Use only
-
-
-
Format
- Liquid
-
Concentration
- 0.5 mg/mL
-
Buffer
- Supplied at 0.5 mg/mL in Tris saline, 0.02 % sodium azide, pH 7.3 with 0.5 % bovine serum albumin.
-
Agent conservateur
- Sodium azide
-
Précaution d'utilisation
- This product contains Sodium azide: a POISONOUS AND HAZARDOUS SUBSTANCE which should be handled by trained staff only.
-
Conseil sur la manipulation
- Minimize freezing and thawing.
-
Stock
- -20 °C
-
Stockage commentaire
- Aliquot and store at -20°C, with minimal freeze/thawing. A working aliquot may be refrigerated at 4°C for a few weeks and still remain viable.
-
-
- CNGB3 (Cyclic Nucleotide Gated Channel beta 3 (CNGB3))
-
Autre désignation
- CNGB3
-
Sujet
- CNGB3, cyclic nucleotide gated channel beta 3, ACHM1, CNG channel beta-3, cone photoreceptor cGMP-gated cation channel beta-subunit, cyclic nucleotide-gated cation channel beta-3, cyclic nucleotide-gated cation channel modulatory subunit
-
ID gène
- 54714
-
NCBI Accession
- NP_061971
Antigène
-