Tel:
+49 (0)241 95 163 153
Fax:
+49 (0)241 95 163 155
E-Mail:
orders@anticorps-enligne.fr

Ret Proto-Oncogene anticorps (AA 29-304)

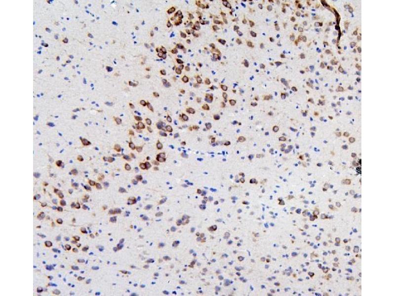
Cet anticorps anti-Ret Proto-Oncogene Polyclonal Lapin (ABIN6719502) détecte spécifiquement Ret Proto-Oncogene dans WB, ELISA et IHC. L’anticorps est réactif avec des échantillons de Humain, Souris et Rat.
N° du produit ABIN6719502
500,50 €
Plus frais de livraison 40,00 € et TVA
100 μg
Destination: France
Envoi sous 8 à 12 jours ouvrables

Aperçu rapide pour Ret Proto-Oncogene anticorps (AA 29-304) (ABIN6719502)

Antigène

Voir toutes Ret Proto-Oncogene (RET) Anticorps
Ret Proto-Oncogene (RET)

Reactivité

  • 186
  • 108
  • 82
  • 5
  • 3
  • 2
  • 2
  • 2
  • 2
  • 1
  • 1
  • 1
  • 1
  • 1
  • 1
  • 1
Humain, Souris, Rat

Hôte

  • 189
  • 47
  • 2
  • 2
  • 1
  • 1
Lapin

Clonalité

  • 177
  • 65
Polyclonal

Conjugué

  • 100
  • 16
  • 11
  • 9
  • 6
  • 5
  • 5
  • 5
  • 5
  • 5
  • 5
  • 5
  • 5
  • 5
  • 5
  • 5
  • 4
  • 4
  • 4
  • 4
  • 4
  • 4
  • 4
  • 2
  • 2
  • 2
  • 2
  • 2
  • 2
  • 2
  • 1
  • 1
  • 1
Cet anticorp Ret Proto-Oncogene est non-conjugé

Application

  • 182
  • 86
  • 65
  • 65
  • 63
  • 29
  • 27
  • 25
  • 21
  • 17
  • 14
  • 10
  • 4
  • 3
  • 2
  • 2
  • 1
  • 1
  • 1
  • 1
  • 1
Western Blotting (WB), ELISA, Immunohistochemistry (IHC)
  • Épitope

    • 24
    • 20
    • 18
    • 15
    • 15
    • 15
    • 10
    • 9
    • 9
    • 8
    • 8
    • 8
    • 8
    • 6
    • 5
    • 4
    • 4
    • 4
    • 3
    • 3
    • 3
    • 3
    • 2
    • 2
    • 1
    • 1
    • 1
    • 1
    • 1
    • 1
    • 1
    • 1
    • 1
    • 1
    • 1
    • 1
    • 1
    • 1
    • 1
    • 1
    • 1
    • 1
    AA 29-304

    Fonction

    Anti-RET Antibody

    Réactivité croisée (Details)

    No cross-reactivity with other proteins.

    Attributs du produit

    Anti-RET Antibody (ABIN6719502). Tested in ELISA, IHC, WB applications. This antibody reacts with Human, Mouse, Rat. This is a premium antibody that guarantees superior quality, high affinity, and strong signals with minimal background in Western blot applications.

    Purification

    Immunogen affinity purified.

    Immunogène

    E.coli-derived human RET recombinant protein (Position: L29-V304).

    Isotype

    IgG
  • Indications d'application

    Western blot, 0.1-0.5 μg/mL
    Immunohistochemistry (Paraffin-embedded Section), 0.5-1 μg/mL
    ELISA, 0.1-0.5 μg/mL

    Commentaires

    Tested Species: In-house tested species with positive results. By Heat: Boiling the paraffin sections in 10mM citrate buffer, pH6.0, for 20mins is required for the staining of formalin/paraffin sections. Other applications have not been tested. Optimal dilutions should be determined by end users.

    Restrictions

    For Research Use only
  • Format

    Lyophilized

    Reconstitution

    Add 0.2 mL of distilled water will yield a concentration of 500 μg/mL.

    Concentration

    500 μg/mL

    Buffer

    Each vial contains 4 mg Trehalose, 0.9 mg NaCl, 0.2 mg Na2HPO4, 0.05 mg Sodium azide.

    Agent conservateur

    Sodium azide

    Précaution d'utilisation

    This product contains Sodium azide: a POISONOUS AND HAZARDOUS SUBSTANCE which should be handled by trained staff only.

    Stock

    4 °C,-20 °C

    Stockage commentaire

    Store at -20°C for one year from date of receipt. After reconstitution, at 4°C for one month.
    It can also be aliquotted and stored frozen at -20°C for six months. Avoid repeated freeze-thaw cycles.
  • Antigène

    Ret Proto-Oncogene (RET)

    Autre désignation

    RET

    Sujet

    Synonyms: Proto-oncogene tyrosine-protein kinase receptor Ret, Cadherin family member 12, Proto-oncogene c-Ret, RET, CDHF12, CDHR16, PTC, RET51

    Tissue Specificity: Activated T-cells. Highly expressed on tonsillar T-cells, which are closely associated with B-cells in the apical light zone of germinal centers, the site of terminal B- cell maturation. Expressed at lower levels in thymus, lung, lymph node and peripheral blood leukocytes. Expressed in the medulla of fetal and newborn thymus.

    Background: The RET proto-oncogene encodes a receptor tyrosine kinase for members of the glial cell line-derived neurotrophic factor (GDNF) family of extracellular signalling molecules. Binding of ligands such as GDNF (glial cell-line derived neurotrophic factor) and other related proteins to the encoded receptor stimulates receptor dimerization and activation of downstream signaling pathways that play a role in cell differentiation, growth, migration and survival. The encoded receptor is important in development of the nervous system, and the development of organs and tissues derived from the neural crest. This proto-oncogene can undergo oncogenic activation through both cytogenetic rearrangement and activating point mutations. Mutations in this gene are associated with Hirschsprung disease and central hypoventilation syndrome and have been identified in patients with renal agenesis.

    Poids moléculaire

    170 kDa

    ID gène

    5979

    UniProt

    P07949

    Pathways

    Signalisation RTK, Dopaminergic Neurogenesis, Regulation of Cell Size, Tube Formation
Vous êtes ici:
Chat with us!