Tel:
+49 (0)241 95 163 153
Fax:
+49 (0)241 95 163 155
E-Mail:
orders@anticorps-enligne.fr

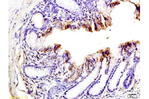
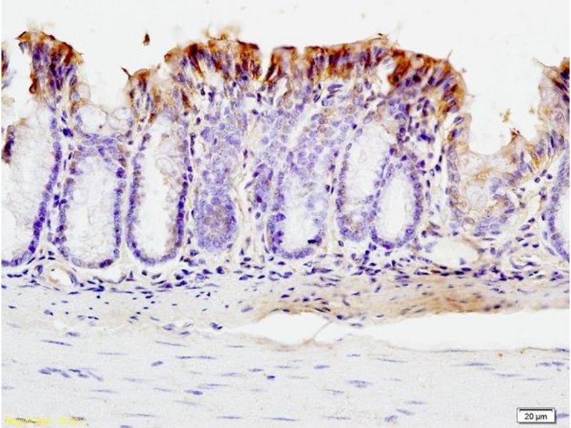
SUMO1 anticorps (AA 21-101)

Cet anticorps Lapin Polyclonal détecte spécifiquement SUMO1 dans WB, ELISA, IHC (p), ICC, IF (cc), IF (p) et IHC (fro). Il présente une réactivité avec des échantillons de Rat et Souris.
N° du produit ABIN687397
357,70 €
Plus frais de livraison 40,00 € et TVA
100 μL
Destination: France
Envoi sous 8 à 12 jours ouvrables

Aperçu rapide pour SUMO1 anticorps (AA 21-101) (ABIN687397)

Antigène

Voir toutes SUMO1 Anticorps
SUMO1 (Small Ubiquitin Related Modifier Protein 1 (SUMO1))

Reactivité

  • 118
  • 98
  • 92
  • 6
  • 5
  • 5
  • 4
  • 4
  • 4
  • 4
  • 3
  • 3
  • 2
  • 1
  • 1
  • 1
  • 1
  • 1
  • 1
Rat, Souris

Hôte

  • 119
  • 36
  • 3
  • 1
  • 1
Lapin

Clonalité

  • 92
  • 69
Polyclonal

Conjugué

  • 75
  • 12
  • 7
  • 6
  • 4
  • 4
  • 4
  • 4
  • 4
  • 4
  • 2
  • 2
  • 2
  • 2
  • 2
  • 2
  • 2
  • 2
  • 2
  • 2
  • 2
  • 2
  • 2
  • 2
  • 2
  • 1
  • 1
  • 1
  • 1
  • 1
  • 1
  • 1
Cet anticorp SUMO1 est non-conjugé

Application

  • 134
  • 60
  • 60
  • 49
  • 45
  • 27
  • 26
  • 25
  • 23
  • 21
  • 8
  • 6
  • 5
  • 1
  • 1
  • 1
Western Blotting (WB), ELISA, Immunohistochemistry (Paraffin-embedded Sections) (IHC (p)), Immunocytochemistry (ICC), Immunofluorescence (Cultured Cells) (IF (cc)), Immunofluorescence (Paraffin-embedded Sections) (IF (p)), Immunohistochemistry (Frozen Sections) (IHC (fro))
  • Épitope

    • 15
    • 14
    • 10
    • 8
    • 8
    • 5
    • 4
    • 4
    • 3
    • 1
    • 1
    • 1
    • 1
    • 1
    • 1
    • 1
    • 1
    • 1
    AA 21-101

    Specificité

    There is a chance that this antibody will cross-react with SUMO13

     Réactivité croisée

    Souris, Rat

    Homologie

    Human,Cow,Pig,Horse,Chicken

    Purification

    Purified by Protein A.

    Immunogène

    KLH conjugated synthetic peptide derived from human SUMO 1

    Isotype

    IgG
  • Indications d'application

    WB 1:300-5000
    ELISA 1:500-1000
    IHC-P 1:200-400
    IHC-F 1:100-500
    IF(IHC-P) 1:50-200
    IF(IHC-F) 1:50-200
    IF(ICC) 1:50-200
    ICC 1:100-500

    Restrictions

    For Research Use only
  • Format

    Liquid

    Concentration

    1 μg/μL

    Buffer

    0.01M TBS( pH 7.4) with 1 % BSA, 0.02 % Proclin300 and 50 % Glycerol.

    Agent conservateur

    ProClin

    Précaution d'utilisation

    This product contains ProClin: a POISONOUS AND HAZARDOUS SUBSTANCE, which should be handled by trained staff only.

    Stock

    4 °C,-20 °C

    Stockage commentaire

    Shipped at 4°C. Store at -20°C for one year. Avoid repeated freeze/thaw cycles.

    Date de péremption

    12 months
  • Antigène

    SUMO1 (Small Ubiquitin Related Modifier Protein 1 (SUMO1))

    Autre désignation

    SUMO 1

    Sujet

    Synonyms: Small ubiquitin-related modifier 1, SUMO-1, GAP-modifying protein 1, GMP1, SMT3 homolog 3, Sentrin, Ubiquitin-homology domain protein PIC1, Ubiquitin-like protein SMT3C, Smt3C, Ubiquitin-like protein UBL1, SUMO1, SMT3C, SMT3H3, UBL1, OK/SW-cl.43

    Background: Ubiquitin-like protein that can be covalently attached to proteins as a monomer or a lysine-linked polymer. Covalent attachment via an isopeptide bond to its substrates requires prior activation by the E1 complex SAE1-SAE2 and linkage to the E2 enzyme UBE2I, and can be promoted by E3 ligases such as PIAS1-4, RANBP2 or CBX4. This post-translational modification on lysine residues of proteins plays a crucial role in a number of cellular processes such as nuclear transport, DNA replication and repair, mitosis and signal transduction. Involved for instance in targeting RANGAP1 to the nuclear pore complex protein RANBP2. Polymeric SUMO1 chains are also susceptible to polyubiquitination which functions as a signal for proteasomal degradation of modified proteins. May also regulate a network of genes involved in palate development.

    ID gène

    7341

    UniProt

    P63165

    Pathways

    M Phase, Positive Regulation of Endopeptidase Activity, Protein targeting to Nucleus, Ubiquitin Proteasome Pathway
Vous êtes ici:
Chat with us!