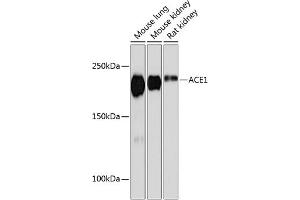
L’anticorps anti-Angiotensin I Converting Enzyme 1 Monoclonal Lapin est utilisé pour la détection de Angiotensin I Converting Enzyme 1 dans des échantillons de Humain. Il a été validé pour WB et IP.
This product contains Sodium azide: a POISONOUS AND HAZARDOUS SUBSTANCE which should be handled by trained staff only.
Stock
-20 °C
Stockage commentaire
Store at -20°C. Avoid freeze / thaw cycles.
Antigène
Angiotensin I Converting Enzyme 1 (ACE)
(Angiotensin I Converting Enzyme (Peptidyl-Dipeptidase A) 1 (ACE))
Autre désignation
ACE
Sujet
This gene encodes an enzyme involved in catalyzing the conversion of angiotensin I into a physiologically active peptide angiotensin II. Angiotensin II is a potent vasopressor and aldosterone-stimulating peptide that controls blood pressure and fluid-electrolyte balance. This enzyme plays a key role in the renin-angiotensin system. Many studies have associated the presence or absence of a 287 bp Alu repeat element in this gene with the levels of circulating enzyme or cardiovascular pathophysiologies. Multiple alternatively spliced transcript variants encoding different isoforms have been identified, and two most abundant spliced variants encode the somatic form and the testicular form, respectively, that are equally active. [provided by RefSeq, May 2010],ACE1, CD143, DCP, DCP1,Blood,Blood_Serum Proteins,Cancer,Cardiovascular,CDs,Cell Biology & Developmental Biology,Endocrine & Metabolism,Hematopoietic Progenitors,Hypoxia,Immunology & Inflammation,Signal Transduction,Stem Cells,Ubiquitin,ACE