Tel:
+49 (0)241 95 163 153
Fax:
+49 (0)241 95 163 155
E-Mail:
orders@anticorps-enligne.fr

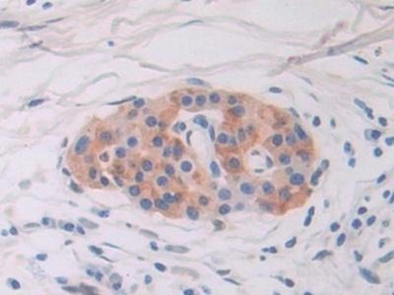
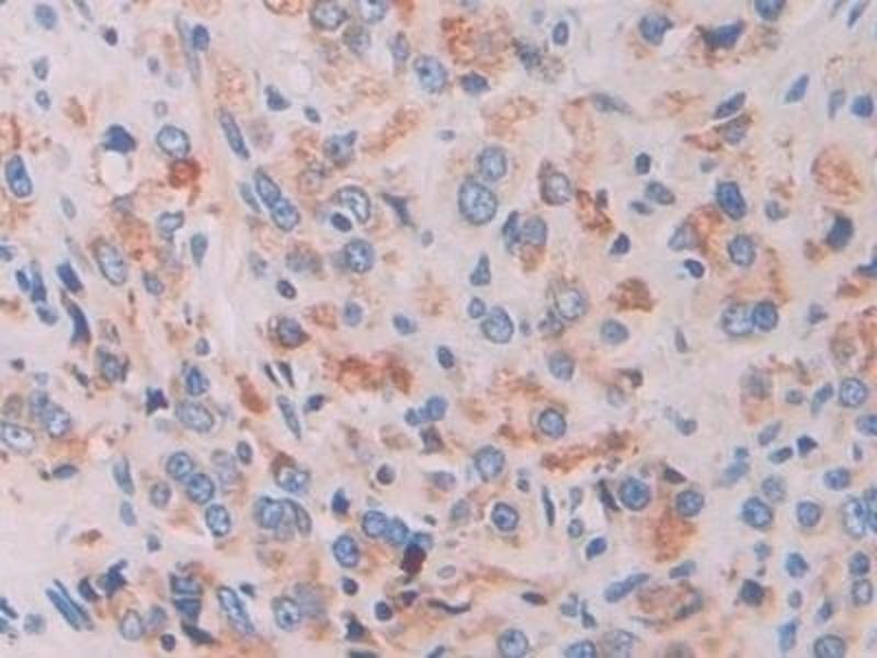
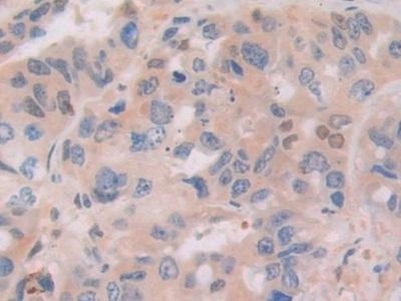
IFI16 anticorps (AA 465-671)

Cet anticorps anti-IFI16 Polyclonal Lapin (ABIN7442042) détecte spécifiquement IFI16 dans WB, IHC, IP et ICC. L’anticorps est réactif avec des échantillons de Humain.
N° du produit ABIN7442042
298,22 €
Plus frais de livraison 40,00 € et TVA
Destination: France
Envoi sous 11 à 15 jours ouvrables

Aperçu rapide pour IFI16 anticorps (AA 465-671) (ABIN7442042)

Antigène

Voir toutes IFI16 Anticorps
IFI16 (Interferon, gamma-Inducible Protein 16 (IFI16))

Reactivité

  • 41
  • 3
  • 3
Humain

Hôte

  • 31
  • 10
Lapin

Clonalité

  • 31
  • 10
Polyclonal

Conjugué

  • 23
  • 3
  • 1
  • 1
  • 1
  • 1
  • 1
  • 1
  • 1
  • 1
  • 1
  • 1
  • 1
  • 1
  • 1
  • 1
  • 1
Cet anticorp IFI16 est non-conjugé

Application

  • 41
  • 16
  • 13
  • 13
  • 10
  • 7
  • 6
  • 5
  • 4
  • 3
  • 3
Western Blotting (WB), Immunohistochemistry (IHC), Immunoprecipitation (IP), Immunocytochemistry (ICC)
  • Épitope

    • 15
    • 7
    • 3
    • 2
    • 2
    • 2
    • 2
    • 1
    • 1
    • 1
    • 1
    • 1
    • 1
    AA 465-671

    Fonction

    Polyclonal Antibody to Interferon Gamma Inducible Protein 16 (IFI16)

    Specificité

    The antibody is a rabbit polyclonal antibody raised against IFI16. It has been selected for its ability to recognize IFI16 in immunohistochemical staining and western blotting.

    Purification

    Antigen-specific affinity chromatography followed by Protein A affinity chromatography

    Immunogène

    Recombinant Interferon Gamma Inducible Protein 16 (IFI16) corresdonding to Ser465~Cys671 with N-terminal His Tag

    Isotype

    IgG
  • Indications d'application

    Western blotting: 0.01-2 μg/mL,Immunohistochemistry: 5-20 μg/mL,Immunocytochemistry: 5-20 μg/mL,Optimal working dilutions must be determined by end user.

    Commentaires

    The thermal stability is described by the loss rate. The loss rate was determined by accelerated thermal degradation test, that is, incubate the protein at 37°C for 48h, and no obvious degradation and precipitation were observed. The loss rate is less than 5% within the expiration date under appropriate storage condition.

    Restrictions

    For Research Use only
  • Format

    Liquid

    Concentration

    0.5 mg/mL

    Buffer

    PBS, pH 7.4, containing 0.02 % Sodium azide, 50 % glycerol.

    Agent conservateur

    Sodium azide

    Précaution d'utilisation

    This product contains Sodium azide: a POISONOUS AND HAZARDOUS SUBSTANCE which should be handled by trained staff only.

    Stock

    4 °C,-20 °C

    Stockage commentaire

    Store at 4°C for frequent use. Stored at -20°C in a manual defrost freezer for two year without detectable loss of activity. Avoid repeated freeze-thaw cycles.

    Date de péremption

    24 months
  • Antigène

    IFI16 (Interferon, gamma-Inducible Protein 16 (IFI16))

    Autre désignation

    IFI16

    Sujet

    IFI16, IFNGIP1, PYHIN2, Interferon-inducible myeloid differentiation transcriptional activator

    UniProt

    Q16666

    Pathways

    Activation of Innate immune Response, Positive Regulation of Endopeptidase Activity, Autophagy, Inflammasome
Vous êtes ici:
Chat with us!