Tel:
+49 (0)241 95 163 153
Fax:
+49 (0)241 95 163 155
E-Mail:
orders@anticorps-enligne.fr

IFI16 anticorps (AA 183-743)

Cet anticorps Lapin Polyclonal détecte spécifiquement IFI16 dans WB, ELISA, IHC et FACS. Il présente une réactivité avec des échantillons de Humain, Souris et Rat.
N° du produit ABIN7600374
500,50 €
Plus frais de livraison 40,00 € et TVA
100 μg
Destination: France
Envoi sous 8 à 12 jours ouvrables

Aperçu rapide pour IFI16 anticorps (AA 183-743) (ABIN7600374)

Antigène

Voir toutes IFI16 Anticorps
IFI16 (Interferon, gamma-Inducible Protein 16 (IFI16))

Reactivité

Humain, Souris, Rat

Hôte

  • 31
  • 10
Lapin

Clonalité

  • 31
  • 10
Polyclonal

Conjugué

  • 23
  • 3
  • 1
  • 1
  • 1
  • 1
  • 1
  • 1
  • 1
  • 1
  • 1
  • 1
  • 1
  • 1
  • 1
  • 1
  • 1
Cet anticorp IFI16 est non-conjugé

Application

  • 41
  • 15
  • 13
  • 13
  • 10
  • 7
  • 5
  • 5
  • 5
  • 4
  • 3
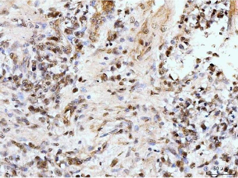
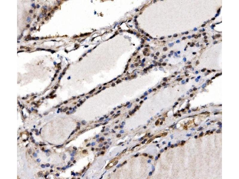
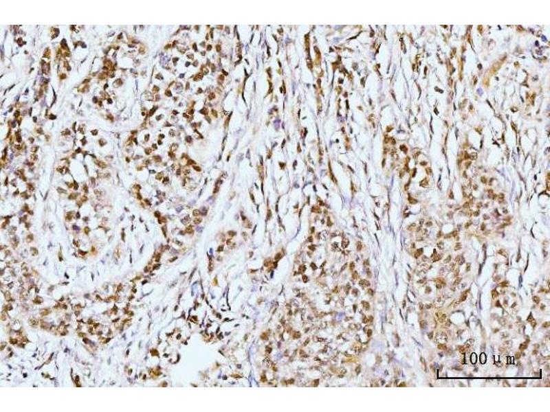
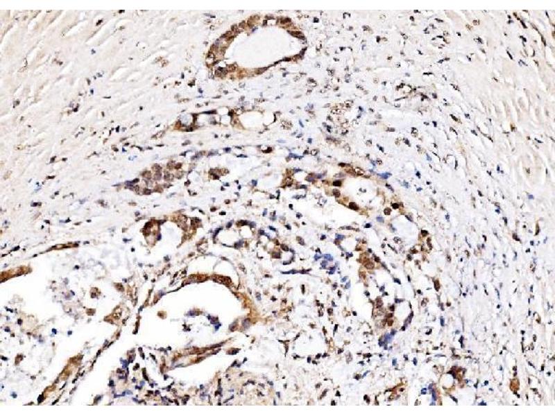
Western Blotting (WB), ELISA, Immunohistochemistry (IHC), Flow Cytometry (FACS)
  • Épitope

    • 15
    • 7
    • 3
    • 2
    • 2
    • 2
    • 1
    • 1
    • 1
    • 1
    • 1
    • 1
    • 1
    • 1
    AA 183-743

    Fonction

    Anti-IFI16 Antibody

    Réactivité croisée (Details)

    No cross-reactivity with other proteins.

    Attributs du produit

    Anti-IFI16 Antibody (ABIN7600374). Tested in ELISA, Flow Cytometry, IHC, WB applications. This antibody reacts with Human, Mouse, Rat. This is a premium antibody that guarantees superior quality, high affinity, and strong signals with minimal background in Western blot applications.

    Purification

    Immunogen affinity purified.

    Immunogène

    E.coli-derived human IFI16 recombinant protein (Position: E183-K743).

    Isotype

    IgG
  • Indications d'application

    Western blot, 0.1-0.25 μg/mL, Human, Mouse, Rat
    Immunohistochemistry(Paraffin-embedded Section), 2-5 μg/mL, Human
    Flow Cytometry (Fixed), 1-3 μg/1x106 cells, Human
    ELISA, 0.1-0.5 μg/mL, -

    Restrictions

    For Research Use only
  • Format

    Lyophilized

    Reconstitution

    Adding 0.2 mL of distilled water will yield a concentration of 500 μg/mL.

    Concentration

    500 μg/mL

    Buffer

    Each vial contains 4 mg Trehalose, 0.9 mg NaCl, 0.2 mg Na2HPO4.

    Stock

    4 °C,-20 °C

    Stockage commentaire

    At -20°C for one year from date of receipt. After reconstitution, at 4°C for one month.
    It can also be aliquotted and stored frozen at -20°C for six months. Avoid repeated freezing and thawing.
  • Antigène

    IFI16 (Interferon, gamma-Inducible Protein 16 (IFI16))

    Autre désignation

    IFI16

    Sujet

    Synonyms: Complement component C7, C7

    Tissue Specificity: Widely expressed.

    Background: Gamma-interferon-inducible protein Ifi-16 (Ifi-16) also known as interferon-inducible myeloid differentiation transcriptional activator is a protein that in humans is encoded by the IFI16 gene. This gene encodes a member of the HIN-200 (hematopoietic interferon-inducible nuclear antigens with 200 amino acid repeats) family of cytokines. The encoded protein contains domains involved in DNA binding, transcriptional regulation, and protein-protein interactions. The protein localizes to the nucleoplasm and nucleoli, and interacts with p53 and retinoblastoma-1. It modulates p53 function, and inhibits cell growth in the Ras/Raf signaling pathway. Alternatively spliced transcript variants encoding different isoforms have been found for this gene.

    Poids moléculaire

    82 kDa

    ID gène

    3428

    UniProt

    Q16666

    Pathways

    Activation of Innate immune Response, Positive Regulation of Endopeptidase Activity, Autophagy, Inflammasome
Vous êtes ici:
Chat with us!