Tel:
+49 (0)241 95 163 153
Fax:
+49 (0)241 95 163 155
E-Mail:
orders@anticorps-enligne.fr

DPPA3 anticorps (AA 1-159)

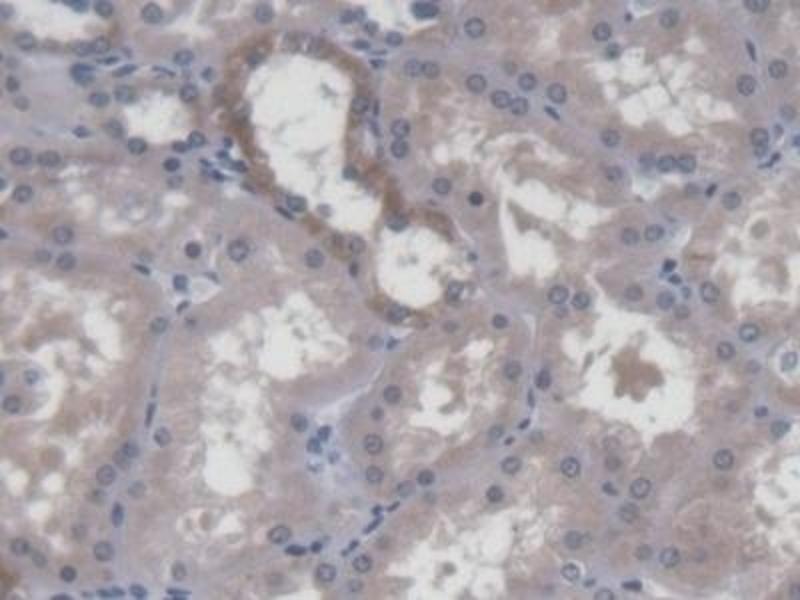
Cet anticorps anti-DPPA3 Polyclonal Lapin (ABIN7444781) détecte spécifiquement DPPA3 dans WB, IHC, ICC et IP. L’anticorps est réactif avec des échantillons de Humain.
N° du produit ABIN7444781
310,62 €
Plus frais de livraison 40,00 € et TVA
Destination: France
Envoi sous 11 à 15 jours ouvrables

Aperçu rapide pour DPPA3 anticorps (AA 1-159) (ABIN7444781)

Antigène

Voir toutes DPPA3 Anticorps
DPPA3 (Developmental Pluripotency Associated 3 (DPPA3))

Reactivité

  • 19
  • 13
  • 1
  • 1
Humain

Hôte

  • 22
  • 1
Lapin

Clonalité

  • 23
Polyclonal

Conjugué

  • 12
  • 2
  • 2
  • 1
  • 1
  • 1
  • 1
  • 1
  • 1
  • 1
Cet anticorp DPPA3 est non-conjugé

Application

  • 10
  • 7
  • 2
  • 2
  • 2
  • 1
  • 1
  • 1
  • 1
Western Blotting (WB), Immunohistochemistry (IHC), Immunocytochemistry (ICC), Immunoprecipitation (IP)
  • Épitope

    • 6
    • 5
    • 2
    • 1
    • 1
    • 1
    • 1
    • 1
    AA 1-159

    Fonction

    Polyclonal Antibody to Developmental Pluripotency Associated Protein 3 (DPPA3)

    Specificité

    The antibody is a rabbit polyclonal antibody raised against DPPA3. It has been selected for its ability to recognize DPPA3 in immunohistochemical staining and western blotting.

    Purification

    Antigen-specific affinity chromatography followed by Protein A affinity chromatography

    Immunogène

    Recombinant Developmental Pluripotency Associated Protein 3 (DPPA3) corresdonding to Met1~Pro159 with N-terminal His Tag

    Isotype

    IgG
  • Indications d'application

    Western blotting: 0.01-2 μg/mL,Immunohistochemistry: 5-20 μg/mL,Immunocytochemistry: 5-20 μg/mL,Optimal working dilutions must be determined by end user.

    Commentaires

    The thermal stability is described by the loss rate. The loss rate was determined by accelerated thermal degradation test, that is, incubate the protein at 37°C for 48h, and no obvious degradation and precipitation were observed. The loss rate is less than 5% within the expiration date under appropriate storage condition.

    Restrictions

    For Research Use only
  • Format

    Liquid

    Concentration

    0.38 mg/mL

    Buffer

    PBS, pH 7.4, containing 0.02 % Sodium azide, 50 % glycerol.

    Agent conservateur

    Sodium azide

    Précaution d'utilisation

    This product contains Sodium azide: a POISONOUS AND HAZARDOUS SUBSTANCE which should be handled by trained staff only.

    Stock

    4 °C,-20 °C

    Stockage commentaire

    Store at 4°C for frequent use. Stored at -20°C in a manual defrost freezer for two year without detectable loss of activity. Avoid repeated freeze-thaw cycles.

    Date de péremption

    24 months
  • Antigène

    DPPA3 (Developmental Pluripotency Associated 3 (DPPA3))

    Autre désignation

    DPPA3

    Sujet

    STELLA, STELLAR, Stella-related protein

    UniProt

    Q6W0C5
Vous êtes ici:
Chat with us!