Tel:
+49 (0)241 95 163 153
Fax:
+49 (0)241 95 163 155
E-Mail:
orders@anticorps-enligne.fr

MYL3/CMLC1 anticorps (AA 8-199)

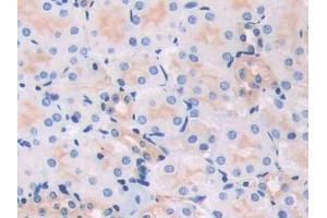
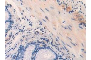
L’anticorps anti-MYL3/CMLC1 Polyclonal Lapin est utilisé pour la détection de MYL3/CMLC1 dans des échantillons de Souris. Il a été validé pour WB, IHC, IP et ICC.
N° du produit ABIN7443521
317,29 €
Plus frais de livraison 40,00 € et TVA
Destination: France
Envoi sous 11 à 15 jours ouvrables

Aperçu rapide pour MYL3/CMLC1 anticorps (AA 8-199) (ABIN7443521)

Antigène

Voir toutes MYL3/CMLC1 (MYL3) Anticorps
MYL3/CMLC1 (MYL3) (Myosin, Light Chain 3 (MYL3))

Reactivité

  • 41
  • 12
  • 12
  • 2
  • 2
  • 2
  • 2
  • 2
  • 1
  • 1
  • 1
  • 1
  • 1
  • 1
  • 1
Souris

Hôte

  • 37
  • 5
Lapin

Clonalité

  • 37
  • 4
Polyclonal

Conjugué

  • 30
  • 2
  • 1
  • 1
  • 1
  • 1
  • 1
  • 1
  • 1
  • 1
  • 1
  • 1
Cet anticorp MYL3/CMLC1 est non-conjugé

Application

  • 33
  • 20
  • 19
  • 3
  • 3
  • 2
  • 1
  • 1
  • 1
  • 1
  • 1
Western Blotting (WB), Immunohistochemistry (IHC), Immunoprecipitation (IP), Immunocytochemistry (ICC)
  • Épitope

    • 9
    • 6
    • 4
    • 1
    • 1
    • 1
    • 1
    • 1
    • 1
    • 1
    AA 8-199

    Fonction

    Polyclonal Antibody to Myosin Light Chain 3, Alkali, Ventricular, Slow Skeletal (MYL3)

    Specificité

    The antibody is a rabbit polyclonal antibody raised against MYL3. It has been selected for its ability to recognize MYL3 in immunohistochemical staining and western blotting.

     Réactivité croisée

    Porc, Rat

    Purification

    Antigen-specific affinity chromatography followed by Protein A affinity chromatography

    Immunogène

    Recombinant Myosin Light Chain 3, Alkali, Ventricular, Slow Skeletal (MYL3) corresdonding to Pro8~Lys199 with N-terminal His and GST Tag

    Isotype

    IgG
  • Indications d'application

    Western blotting: 0.5-2 μg/mL,Immunocytochemistry in formalin fixed cells: 5-20 μg/mL,Immunohistochemistry in formalin fixed frozen section: 5-20 μg/mL,Immunohistochemistry in paraffin section: 5-20 μg/mL,Enzyme-linked Immunosorbent Assay: 0.05-2 μg/mL,Optimal working dilutions must be determined by end user.

    Commentaires

    The thermal stability is described by the loss rate. The loss rate was determined by accelerated thermal degradation test, that is, incubate the protein at 37°C for 48h, and no obvious degradation and precipitation were observed. The loss rate is less than 5% within the expiration date under appropriate storage condition.

    Restrictions

    For Research Use only
  • Format

    Liquid

    Concentration

    500 μg/mL

    Buffer

    0.01M PBS, pH 7.4, containing 0.05 % Proclin-300, 50 % glycerol.

    Agent conservateur

    ProClin

    Précaution d'utilisation

    This product contains ProClin: a POISONOUS AND HAZARDOUS SUBSTANCE which should be handled by trained staff only.

    Stock

    4 °C,-20 °C

    Stockage commentaire

    Store at 4°C for frequent use. Stored at -20°C in a manual defrost freezer for two year without detectable loss of activity. Avoid repeated freeze-thaw cycles.

    Date de péremption

    24 months
  • Antigène

    MYL3/CMLC1 (MYL3) (Myosin, Light Chain 3 (MYL3))

    Autre désignation

    MYL3

    Sujet

    CMH8, MLC1V, VLC1, MLC1SB, Cardiac myosin light chain 1, Ventricular/slow twitch myosin alkali light chain

    UniProt

    P09542
Vous êtes ici:
Chat with us!