Tel:
+49 (0)241 95 163 153
Fax:
+49 (0)241 95 163 155
E-Mail:
orders@anticorps-enligne.fr

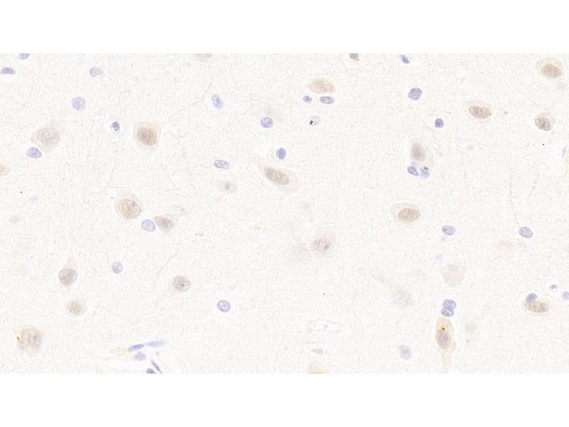
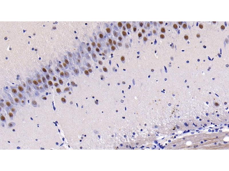
MAP2K4 anticorps (AA 137-394)

Cet anticorps anti-MAP2K4 Polyclonal Lapin (ABIN7439399) détecte spécifiquement MAP2K4 dans WB, ELISA, IHC (p), ICC et IHC (fro). L’anticorps est réactif avec des échantillons de Humain.
N° du produit ABIN7439399
310,62 €
Plus frais de livraison 40,00 € et TVA
Destination: France
Envoi sous 11 à 15 jours ouvrables

Aperçu rapide pour MAP2K4 anticorps (AA 137-394) (ABIN7439399)

Antigène

Voir toutes MAP2K4 Anticorps
MAP2K4 (Mitogen-Activated Protein Kinase Kinase 4 (MAP2K4))

Reactivité

  • 154
  • 72
  • 52
  • 8
  • 7
  • 3
  • 3
  • 2
  • 2
  • 2
  • 1
  • 1
  • 1
Humain

Hôte

  • 148
  • 12
Lapin

Clonalité

  • 148
  • 13
Polyclonal

Conjugué

  • 89
  • 13
  • 9
  • 7
  • 4
  • 4
  • 4
  • 4
  • 4
  • 4
  • 4
  • 4
  • 1
  • 1
  • 1
  • 1
  • 1
  • 1
  • 1
  • 1
  • 1
  • 1
  • 1
Cet anticorp MAP2K4 est non-conjugé

Application

  • 89
  • 63
  • 61
  • 24
  • 20
  • 15
  • 15
  • 12
  • 6
  • 5
  • 4
  • 3
  • 2
  • 2
Western Blotting (WB), ELISA, Immunohistochemistry (Paraffin-embedded Sections) (IHC (p)), Immunocytochemistry (ICC), Immunohistochemistry (Frozen Sections) (IHC (fro))
  • Épitope

    • 37
    • 23
    • 11
    • 10
    • 9
    • 9
    • 7
    • 6
    • 5
    • 3
    • 3
    • 2
    • 2
    • 2
    • 2
    • 2
    • 1
    • 1
    • 1
    • 1
    • 1
    • 1
    • 1
    • 1
    • 1
    • 1
    • 1
    • 1
    • 1
    • 1
    • 1
    • 1
    • 1
    • 1
    AA 137-394

    Fonction

    Polyclonal Antibody to Mitogen Activated Protein Kinase Kinase 4 (MAP2K4)

    Specificité

    The antibody is a rabbit polyclonal antibody raised against MAP2K4. It has been selected for its ability to recognize MAP2K4 in immunohistochemical staining and western blotting.

     Réactivité croisée

    Souris, Porc, Rat

    Purification

    Antigen-specific affinity chromatography followed by Protein A affinity chromatography

    Immunogène

    Recombinant Mitogen Activated Protein Kinase Kinase 4 (MAP2K4) corresdonding to Val137~Ser394 (Accession # P45985) with N-terminal His and GST Tag

    Isotype

    IgG
  • Indications d'application

    Western blotting: 1-5 μg/mL,Immunocytochemistry in formalin fixed cells: 5-20 μg/mL,Immunohistochemistry in formalin fixed frozen section: 5-20 μg/mL,Immunohistochemistry in paraffin section: 5-20 μg/mL,Enzyme-linked Immunosorbent Assay: 0.05-2 μg/mL,Optimal working dilutions must be determined by end user.

    Commentaires

    The thermal stability is described by the loss rate. The loss rate was determined by accelerated thermal degradation test, that is, incubate the protein at 37°C for 48h, and no obvious degradation and precipitation were observed. The loss rate is less than 5% within the expiration date under appropriate storage condition.

    Restrictions

    For Research Use only
  • Format

    Liquid

    Concentration

    500 μg/mL

    Buffer

    0.01M PBS, pH 7.4, containing 0.05 % Proclin-300, 50 % glycerol.

    Agent conservateur

    ProClin

    Précaution d'utilisation

    This product contains ProClin: a POISONOUS AND HAZARDOUS SUBSTANCE which should be handled by trained staff only.

    Stock

    4 °C,-20 °C

    Stockage commentaire

    Store at 4°C for frequent use. Stored at -20°C in a manual defrost freezer for two year without detectable loss of activity. Avoid repeated freeze-thaw cycles.

    Date de péremption

    24 months
  • Antigène

    MAP2K4 (Mitogen-Activated Protein Kinase Kinase 4 (MAP2K4))

    Autre désignation

    MAP2K4

    Sujet

    JNKK, JNKK1, MAPKK4, MEK4, MKK4, PRKMK4, SEK1, SERK1, SKK1, c-Jun N-terminal kinase kinase 1, JNK-activating kinase 1, Stress-activated protein kinase kinase 1

    UniProt

    P45985

    Pathways

    Signalisation MAPK, Signalisation TLR, Fc-epsilon Receptor Signaling Pathway, Activation of Innate immune Response, Toll-Like Receptors Cascades, BCR Signaling
Vous êtes ici:
Chat with us!