Tel:
+49 (0)241 95 163 153
Fax:
+49 (0)241 95 163 155
E-Mail:
orders@anticorps-enligne.fr

SGPL1 anticorps (AA 239-493)

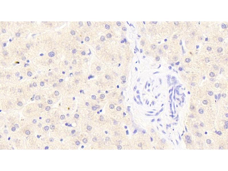
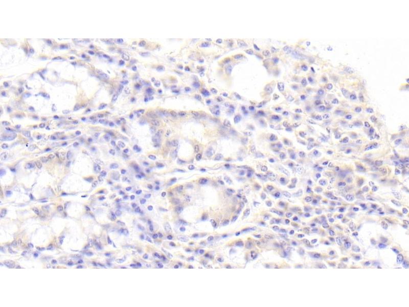
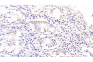
Cet anticorps anti-SGPL1 Polyclonal Lapin (ABIN7439186) détecte spécifiquement SGPL1 dans WB et IHC. L’anticorps est réactif avec des échantillons de Humain.
N° du produit ABIN7439186
310,62 €
Plus frais de livraison 40,00 € et TVA
Destination: France
Envoi sous 11 à 15 jours ouvrables

Aperçu rapide pour SGPL1 anticorps (AA 239-493) (ABIN7439186)

Antigène

Voir toutes SGPL1 Anticorps
SGPL1 (Sphingosine-1-Phosphate Lyase 1 (SGPL1))

Reactivité

  • 28
  • 8
  • 7
  • 3
  • 2
  • 2
  • 2
  • 2
  • 1
  • 1
  • 1
  • 1
Humain

Hôte

  • 28
  • 2
Lapin

Clonalité

  • 31
Polyclonal

Conjugué

  • 19
  • 2
  • 1
  • 1
  • 1
  • 1
  • 1
  • 1
  • 1
  • 1
  • 1
  • 1
Cet anticorp SGPL1 est non-conjugé

Application

  • 22
  • 11
  • 11
  • 4
  • 1
  • 1
  • 1
  • 1
  • 1
  • 1
  • 1
Western Blotting (WB), Immunohistochemistry (IHC)
  • Épitope

    • 8
    • 3
    • 3
    • 2
    • 2
    • 1
    • 1
    • 1
    • 1
    • 1
    AA 239-493

    Fonction

    Polyclonal Antibody to Sphingosine 1 Phosphate Lyase 1 (SGPL1)

    Specificité

    The antibody is a rabbit polyclonal antibody raised against SGPL1. It has been selected for its ability to recognize SGPL1 in immunohistochemical staining and western blotting.

    Purification

    Antigen-specific affinity chromatography followed by Protein A affinity chromatography

    Immunogène

    Recombinant Sphingosine 1 Phosphate Lyase 1 (SGPL1) corresdonding to Gln239~Arg493 with N-terminal His Tag

    Isotype

    IgG
  • Indications d'application

    Western blotting: 0.01-2 μg/mL,Immunohistochemistry: 5-20 μg/mL,Optimal working dilutions must be determined by end user.

    Commentaires

    The thermal stability is described by the loss rate. The loss rate was determined by accelerated thermal degradation test, that is, incubate the protein at 37°C for 48h, and no obvious degradation and precipitation were observed. The loss rate is less than 5% within the expiration date under appropriate storage condition.

    Restrictions

    For Research Use only
  • Format

    Liquid

    Concentration

    0.5 mg/mL

    Buffer

    0.01M PBS, pH 7.4, containing 0.05 % Proclin-300, 50 % glycerol.

    Agent conservateur

    ProClin

    Précaution d'utilisation

    This product contains ProClin: a POISONOUS AND HAZARDOUS SUBSTANCE which should be handled by trained staff only.

    Stock

    4 °C,-20 °C

    Stockage commentaire

    Store at 4°C for frequent use. Stored at -20°C in a manual defrost freezer for two year without detectable loss of activity. Avoid repeated freeze-thaw cycles.

    Date de péremption

    24 months
  • Antigène

    SGPL1 (Sphingosine-1-Phosphate Lyase 1 (SGPL1))

    Autre désignation

    SGPL1

    Sujet

    SPL, S1PL, Sphingosine-1-phosphate aldolase

    UniProt

    O95470

    Pathways

    Platelet-derived growth Factor Receptor Signaling
Vous êtes ici:
Chat with us!