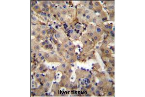
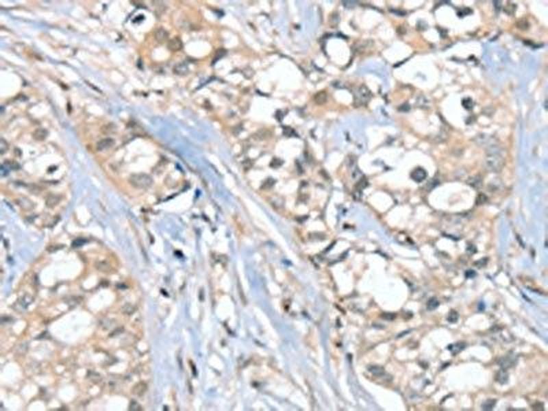
SGPL1 anticorps
Aperçu rapide pour SGPL1 anticorps (ABIN7192347)
Antigène
Voir toutes SGPL1 AnticorpsReactivité
Hôte
Clonalité
Conjugué
Application
-
-
Fonction
- SGPL1 Antibody
-
Réactivité croisée
- Souris, Rat
-
Purification
- Antigen affinity purification
-
Immunogène
- Synthetic peptide of Human SGPL1
-
Isotype
- IgG
-
-
-
-
Indications d'application
- Optimal working dilution should be determined by the investigator.
-
Restrictions
- For Research Use only
-
-
-
Format
- Liquid
-
Buffer
- pH 7.4 PBS, 0.05 % Sodium azide, 40 % Glycerol
-
Agent conservateur
- Sodium azide
-
Précaution d'utilisation
- This product contains Sodium azide: a POISONOUS AND HAZARDOUS SUBSTANCE which should be handled by trained staff only.
-
Stock
- -20 °C,-80 °C
-
Stockage commentaire
- Upon receipt, store at -20°C or -80°C. Avoid repeated freeze.
-
-
- SGPL1 (Sphingosine-1-Phosphate Lyase 1 (SGPL1))
-
Autre désignation
- SGPL1
-
Sujet
-
Background: Sphingosine-1-phosphate lyase 1 is an enzyme that in humans is encoded by the SGPL1gene. Cleaves phosphorylated sphingoid bases (PSBs), such as sphingosine-1-phosphate, into fatty aldehydes and phosphoethanolamine. Elevates stress-induced ceramide production and apoptosis.
Aliases: FLJ13811 antibody, hSPL antibody, KIAA1252 antibody, S1P antibody, S1PL antibody, SGPL 1 antibody, SGPL1 antibody, SGPL1_HUMAN antibody, SP lyase antibody, SP-lyase 1 antibody, Sphingosine 1 phosphate aldolase antibody, Sphingosine 1 phosphate lyase 1 antibody, Sphingosine-1-phosphate aldolase antibody, Sphingosine-1-phosphate lyase 1 antibody, SPL 1 antibody, SPL antibody
-
UniProt
- O95470
-
Pathways
- Platelet-derived growth Factor Receptor Signaling
Antigène
-