Tel:
+49 (0)241 95 163 153
Fax:
+49 (0)241 95 163 155
E-Mail:
orders@anticorps-enligne.fr

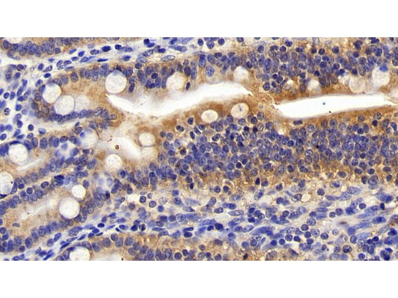
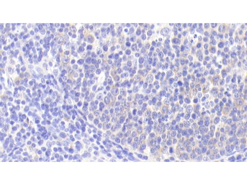
PIK3CB anticorps (AA 524-703)

L’anticorps anti-PIK3CB Polyclonal Lapin est utilisé pour la détection de PIK3CB dans des échantillons de Humain. Il a été validé pour WB, IHC, FACS, IF et ICC.
N° du produit ABIN7436744
310,62 €
Plus frais de livraison 40,00 € et TVA
Destination: France
Envoi sous 11 à 15 jours ouvrables

Aperçu rapide pour PIK3CB anticorps (AA 524-703) (ABIN7436744)

Antigène

Voir toutes PIK3CB Anticorps
PIK3CB (Phosphoinositide-3-Kinase, Catalytic, beta Polypeptide (PIK3CB))

Reactivité

  • 125
  • 49
  • 49
  • 19
  • 18
  • 3
  • 3
  • 3
  • 3
  • 2
  • 1
  • 1
  • 1
Humain

Hôte

  • 122
  • 4
Lapin

Clonalité

  • 91
  • 34
Polyclonal

Conjugué

  • 38
  • 15
  • 9
  • 7
  • 4
  • 4
  • 4
  • 4
  • 4
  • 4
  • 4
  • 3
  • 2
  • 2
  • 2
  • 2
  • 2
  • 2
  • 2
  • 2
  • 2
  • 2
  • 2
  • 2
  • 2
Cet anticorp PIK3CB est non-conjugé

Application

  • 100
  • 41
  • 41
  • 26
  • 26
  • 26
  • 16
  • 14
  • 14
  • 14
  • 6
  • 2
  • 1
  • 1
  • 1
Western Blotting (WB), Immunohistochemistry (IHC), Flow Cytometry (FACS), Immunofluorescence (IF), Immunocytochemistry (ICC)
  • Épitope

    • 16
    • 15
    • 11
    • 8
    • 6
    • 5
    • 4
    • 4
    • 3
    • 3
    • 3
    • 3
    • 2
    • 1
    • 1
    • 1
    • 1
    • 1
    • 1
    • 1
    • 1
    • 1
    • 1
    AA 524-703

    Fonction

    Polyclonal Antibody to Phosphoinositide-3-Kinase Catalytic Beta Polypeptide (PIK3Cb)

    Specificité

    The antibody is a rabbit polyclonal antibody raised against PIK3Cb. It has been selected for its ability to recognize PIK3Cb in immunohistochemical staining and western blotting.

     Réactivité croisée

    Boeuf (Vache), Souris, Porc, Rat

    Purification

    Antigen-specific affinity chromatography followed by Protein A affinity chromatography

    Immunogène

    Recombinant Phosphoinositide-3-Kinase Catalytic Beta Polypeptide (PIK3Cb) corresdonding to Ala524~Val703 (Accession # P42338)

    Isotype

    IgG
  • Indications d'application

    Western blotting: 0.01-2 μg/mL,Immunohistochemistry: 5-20 μg/mL,Immunocytochemistry: 5-20 μg/mL,Flow cytometry:20 μg/mL,Optimal working dilutions must be determined by end user.,

    Commentaires

    The thermal stability is described by the loss rate. The loss rate was determined by accelerated thermal degradation test, that is, incubate the protein at 37°C for 48h, and no obvious degradation and precipitation were observed. The loss rate is less than 5% within the expiration date under appropriate storage condition.

    Restrictions

    For Research Use only
  • Format

    Liquid

    Concentration

    0.5 mg/mL

    Buffer

    0.01M PBS, pH 7.4, containing 0.05 % Proclin-300, 50 % glycerol.

    Agent conservateur

    ProClin

    Précaution d'utilisation

    This product contains ProClin: a POISONOUS AND HAZARDOUS SUBSTANCE which should be handled by trained staff only.

    Stock

    4 °C,-20 °C

    Stockage commentaire

    Store at 4°C for frequent use. Stored at -20°C in a manual defrost freezer for two year without detectable loss of activity. Avoid repeated freeze-thaw cycles.

    Date de péremption

    24 months
  • Antigène

    PIK3CB (Phosphoinositide-3-Kinase, Catalytic, beta Polypeptide (PIK3CB))

    Autre désignation

    PIK3Cb

    Sujet

    PI3K, PI3Kbeta, PIK3C1, p110-BETA, Phosphatidylinositol 4,5-bisphosphate 3-kinase 110 kDa catalytic subunit beta

    UniProt

    P42338
Vous êtes ici:
Chat with us!