Tel:
+49 (0)241 95 163 153
Fax:
+49 (0)241 95 163 155
E-Mail:
orders@anticorps-enligne.fr

RSPO1 anticorps (AA 21-135)

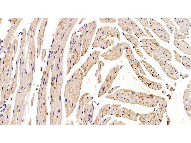
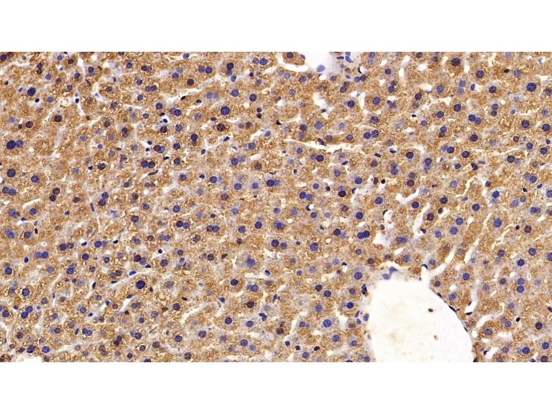
Cet anticorps Lapin Polyclonal détecte spécifiquement RSPO1 dans WB, IHC, IP et ICC. Il présente une réactivité avec des échantillons de Humain.
N° du produit ABIN7430144
334,46 €
Plus frais de livraison 40,00 € et TVA
Destination: France
Envoi sous 11 à 15 jours ouvrables

Aperçu rapide pour RSPO1 anticorps (AA 21-135) (ABIN7430144)

Antigène

Voir toutes RSPO1 Anticorps
RSPO1 (R-Spondin 1 (RSPO1))

Reactivité

  • 48
  • 39
  • 35
  • 15
  • 15
  • 15
  • 15
  • 15
Humain

Hôte

  • 48
  • 8
  • 1
Lapin

Clonalité

  • 49
  • 8
Polyclonal

Conjugué

  • 27
  • 5
  • 3
  • 2
  • 2
  • 2
  • 2
  • 2
  • 2
  • 2
  • 2
  • 2
  • 2
  • 1
  • 1
Cet anticorp RSPO1 est non-conjugé

Application

  • 37
  • 15
  • 13
  • 11
  • 11
  • 9
  • 4
  • 3
  • 2
  • 2
  • 2
  • 1
  • 1
Western Blotting (WB), Immunohistochemistry (IHC), Immunoprecipitation (IP), Immunocytochemistry (ICC)
  • Épitope

    • 15
    • 7
    • 6
    • 4
    • 2
    • 1
    • 1
    • 1
    AA 21-135

    Fonction

    Polyclonal Antibody to R-Spondin 1 (RSPO1)

    Specificité

    The antibody is a rabbit polyclonal antibody raised against RSPO1. It has been selected for its ability to recognize RSPO1 in immunohistochemical staining and western blotting.

     Réactivité croisée

    Souris

    Purification

    Antigen-specific affinity chromatography followed by Protein A affinity chromatography

    Immunogène

    Recombinant R-Spondin 1 (RSPO1) corresdonding to Ser21~Ala135 with N-terminal His Tag

    Isotype

    IgG
  • Indications d'application

    Western blotting: 0.5-2 μg/mL,Immunohistochemistry: 5-20 μg/mL,Immunocytochemistry: 5-20 μg/mL,Optimal working dilutions must be determined by end user.

    Commentaires

    The thermal stability is described by the loss rate. The loss rate was determined by accelerated thermal degradation test, that is, incubate the protein at 37°C for 48h, and no obvious degradation and precipitation were observed. The loss rate is less than 5% within the expiration date under appropriate storage condition.

    Restrictions

    For Research Use only
  • Format

    Liquid

    Concentration

    500 μg/mL

    Buffer

    0.01M PBS, pH 7.4, containing 0.05 % Proclin-300, 50 % glycerol.

    Agent conservateur

    ProClin

    Précaution d'utilisation

    This product contains ProClin: a POISONOUS AND HAZARDOUS SUBSTANCE which should be handled by trained staff only.

    Stock

    4 °C,-20 °C

    Stockage commentaire

    Store at 4°C for frequent use. Stored at -20°C in a manual defrost freezer for two year without detectable loss of activity. Avoid repeated freeze-thaw cycles.

    Date de péremption

    24 months
  • Antigène

    RSPO1 (R-Spondin 1 (RSPO1))

    Autre désignation

    RSPO1

    Sujet

    RSPONDIN, Roof plate-specific spondin-1

    UniProt

    Q2MKA7
Vous êtes ici:
Chat with us!