Tel:
+49 (0)241 95 163 153
Fax:
+49 (0)241 95 163 155
E-Mail:
orders@anticorps-enligne.fr

Ephrin A1 anticorps

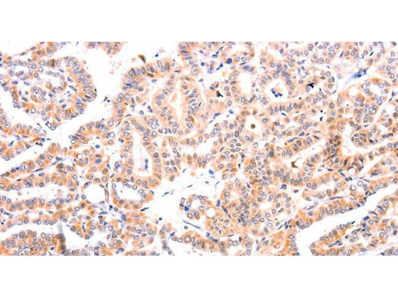
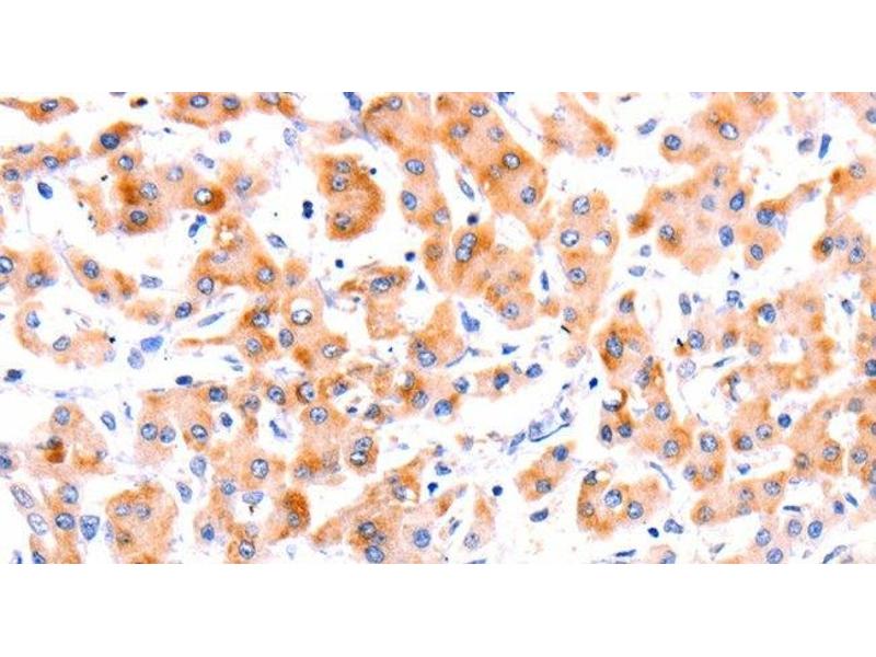
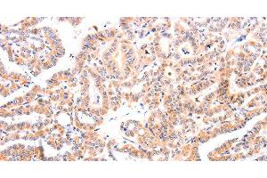
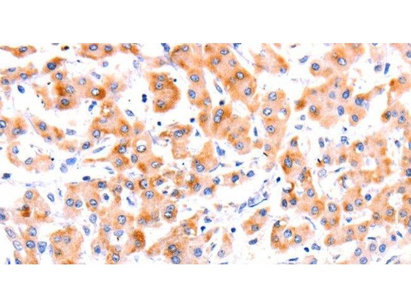
L’anticorps anti-Ephrin A1 Polyclonal Lapin est utilisé pour la détection de Ephrin A1 dans des échantillons de Humain, Rat et Souris. Il a été validé pour ELISA et IHC.
N° du produit ABIN7235015
449,00 €
Plus frais de livraison 40,00 € et TVA
Destination: France
Envoi sous 9 à 13 jours ouvrables

Aperçu rapide pour Ephrin A1 anticorps (ABIN7235015)

Antigène

Voir toutes Ephrin A1 (EFNA1) Anticorps
Ephrin A1 (EFNA1)

Reactivité

  • 36
  • 16
  • 14
  • 1
Humain, Rat, Souris

Hôte

  • 43
  • 2
  • 1
  • 1
Lapin

Clonalité

  • 42
  • 5
Polyclonal

Conjugué

  • 27
  • 3
  • 3
  • 3
  • 1
  • 1
  • 1
  • 1
  • 1
  • 1
  • 1
  • 1
  • 1
  • 1
  • 1
Cet anticorp Ephrin A1 est non-conjugé

Application

  • 25
  • 20
  • 13
  • 13
  • 13
  • 8
  • 6
  • 4
  • 2
  • 2
  • 1
  • 1
  • 1
  • 1
ELISA, Immunohistochemistry (IHC)
  • Attributs du produit

    Polyclonal Antibody

    Purification

    Affinity purification

    Immunogène

    Recombinant protein of human EFNA1

    Isotype

    IgG
  • Indications d'application

    IHC 1:50-1:150

    Restrictions

    For Research Use only
  • Format

    Liquid

    Concentration

    0.4 mg/mL

    Buffer

    PBS with 0.05 % sodium azide and 50 % glycerol, PH7.4

    Agent conservateur

    Sodium azide

    Précaution d'utilisation

    This product contains Sodium azide: a POISONOUS AND HAZARDOUS SUBSTANCE which should be handled by trained staff only.

    Stock

    -20 °C

    Stockage commentaire

    Store at -20°C. Avoid freeze / thaw cycles.
  • Antigène

    Ephrin A1 (EFNA1)

    Autre désignation

    Ephrin A1

    Sujet

    This gene encodes a member of the ephrin (EPH) family. The ephrins and EPH-related receptors comprise the largest subfamily of receptor protein-tyrosine kinases and have been implicated in mediating developmental events, especially in the nervous system and in erythropoiesis. Based on their structures and sequence relationships, ephrins are divided into the ephrin-A (EFNA) class, which are anchored to the membrane by a glycosylphosphatidylinositol linkage, and the ephrin-B (EFNB) class, which are transmembrane proteins. This gene encodes an EFNA class ephrin which binds to the EPHA2, EPHA4, EPHA5, EPHA6, and EPHA7 receptors. Two transcript variants that encode different isoforms were identified through sequence analysis.

    UniProt

    P20827

    Pathways

    Signalisation RTK
Vous êtes ici:
Chat with us!