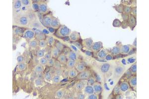
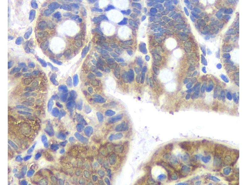
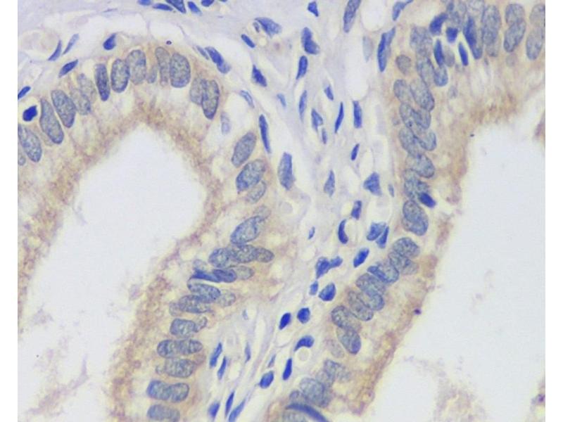
FAS anticorps
Aperçu rapide pour FAS anticorps (ABIN7249652)
Antigène
Voir toutes FAS AnticorpsReactivité
Hôte
Clonalité
Conjugué
Application
Clone
-
-
Attributs du produit
- Monoclonal Antibody
-
Purification
- Affinity purification
-
Immunogène
- KLH conjugated Synthetic peptide corresponding to Mouse FAS
-
Isotype
- IgG
-
-
-
-
Indications d'application
- IHC 1:200-1:800
-
Restrictions
- For Research Use only
-
-
-
Format
- Liquid
-
Concentration
- 420 μg/mL
-
Buffer
- PBS with 0.02 % sodium azide, 1 % BSA and 50 % glycerol, pH 7.4
-
Agent conservateur
- Sodium azide
-
Précaution d'utilisation
- This product contains Sodium azide: a POISONOUS AND HAZARDOUS SUBSTANCE which should be handled by trained staff only.
-
Stock
- -20 °C
-
Stockage commentaire
- Store at -20°C. Avoid freeze / thaw cycles.
-
-
- FAS (TNF Receptor Superfamily, Member 6 (FAS))
-
Autre désignation
- FAS
-
Sujet
- FAS,also named as CD95,APO-1,APT1,FAS1 and TNFRSF6,is a receptor for TNFSF6/FASLG. It is a cell surface receptor belonging to the TNF receptor superfamily,can mediates apoptosis by ligation with an agonistic anti-Fas antibody or Fas ligand. Stimulation of Fas results in the aggregation of its intracellular death domains,leading to the formation of the death-inducing signaling complex (DISC). FAS-mediated apoptosis may have a role in the induction of peripheral tolerance,in the antigen-stimulated suicide of mature T-cells,or both. The secreted isoforms 2 to 6 block apoptosis (in vitro). This anti-Fas monoclonal antibody can be used to induce apoptosis in cell cultures through Fas by imitating the Fas-ligand.
-
UniProt
- P25445, P25446
-
Pathways
- Signalisation p53, Apoptose, Production of Molecular Mediator of Immune Response, Positive Regulation of Endopeptidase Activity
Antigène
-