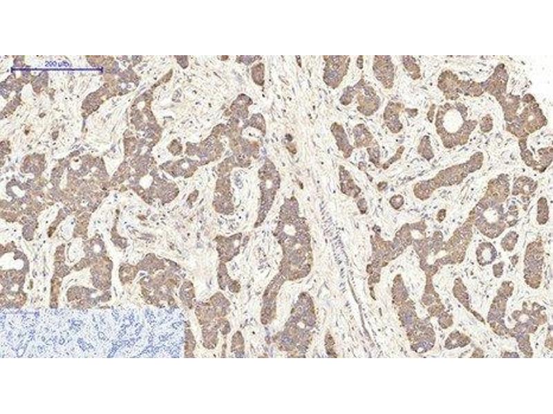
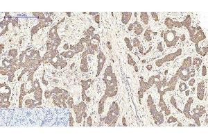
NFKBIB anticorps
Aperçu rapide pour NFKBIB anticorps (ABIN7250443)
Antigène
Voir toutes NFKBIB AnticorpsReactivité
Hôte
Clonalité
Conjugué
Application
-
-
Attributs du produit
- Monoclonal Antibody
-
Purification
- Protein A purification
-
Immunogène
- Recombinant Protein
-
Isotype
- IgG
-
-
-
-
Indications d'application
- IHC 1:200, IF 1:50-200
-
Restrictions
- For Research Use only
-
-
-
Format
- Liquid
-
Concentration
- 1 mg/mL
-
Buffer
- PBS with 0.02 % sodium azide, 0.5 % BSA and 50 % glycerol, pH 7.4
-
Agent conservateur
- Sodium azide
-
Précaution d'utilisation
- This product contains Sodium azide: a POISONOUS AND HAZARDOUS SUBSTANCE which should be handled by trained staff only.
-
Stock
- -20 °C
-
Stockage commentaire
- Store at -20°C. Avoid freeze / thaw cycles.
-
-
- NFKBIB (NF-kappa-B inhibitor beta (NFKBIB))
-
Autre désignation
- NFKBIB
-
Sujet
- Inhibits NF-kappa-B by complexing with and trapping it in the cytoplasm. However, the unphosphorylated form resynthesized after cell stimulation is able to bind NF-kappa-B allowing its transport to the nucleus and protecting it to further NFKBIA-dependent inactivation. Association with inhibitor kappa B-interacting NKIRAS1 and NKIRAS2 prevent its phosphorylation rendering it more resistant to degradation, explaining its slower degradation.
-
UniProt
- Q15653
-
Pathways
- Signalisation NF-kappaB, Activation of Innate immune Response, Maintenance of Protein Location, Toll-Like Receptors Cascades
Antigène
-