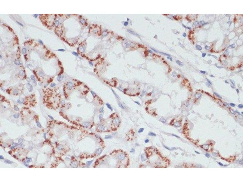
L’anticorps anti-Acsl3 Polyclonal Lapin est utilisé pour la détection de Acsl3 dans des échantillons de Humain, Souris et Rat. Il a été validé pour IHC.
This product contains Sodium azide: a POISONOUS AND HAZARDOUS SUBSTANCE which should be handled by trained staff only.
Stock
-20 °C
Stockage commentaire
Store at -20°C. Avoid freeze / thaw cycles.
Antigène
Acsl3
(Acyl-CoA Synthetase Long-Chain Family Member 3 (Acsl3))
Autre désignation
ACSL3
Sujet
The protein encoded by this gene is an isozyme of the long-chain fatty-acid-coenzyme A ligase family. Although differing in substrate specificity, subcellular localization, and tissue distribution, all isozymes of this family convert free long-chain fatty acids into fatty acyl-CoA esters, and thereby play a key role in lipid biosynthesis and fatty acid degradation. This isozyme is highly expressed in brain, and preferentially utilizes myristate, arachidonate, and eicosapentaenoate as substrates. The amino acid sequence of this isozyme is 92 % identical to that of rat homolog. Two transcript variants encoding the same protein have been found for this gene.