LARP7 anticorps
Aperçu rapide pour LARP7 anticorps (ABIN7256612)
Antigène
Voir toutes LARP7 AnticorpsReactivité
Hôte
Clonalité
Conjugué
Application
-
-
Attributs du produit
- Polyclonal Antibody
-
Purification
- Affinity purification
-
Immunogène
- Recombinant fusion protein of human LARP7 (NP_057732.2).
-
Isotype
- IgG
-
-
-
-
Indications d'application
- WB 1:500-1:2000
-
Restrictions
- For Research Use only
-
-
-
Format
- Liquid
-
Concentration
- 1 mg/mL
-
Buffer
- PBS with 0.02 % sodium azide, 50 % glycerol, pH 7.3
-
Agent conservateur
- Sodium azide
-
Précaution d'utilisation
- This product contains Sodium azide: a POISONOUS AND HAZARDOUS SUBSTANCE which should be handled by trained staff only.
-
Stock
- -20 °C
-
Stockage commentaire
- Store at -20°C. Avoid freeze / thaw cycles.
-
-
- LARP7 (La Ribonucleoprotein Domain Family, Member 7 (LARP7))
-
Autre désignation
- LARP7
-
Sujet
- This gene encodes a protein which is found in the 7SK snRNP (small nuclear ribonucleoprotein). This snRNP complex inhibits a cyclin-dependent kinase, positive transcription elongation factor b, which is required for paused RNA polymerase II at a promoter to begin transcription elongation. A pseudogene of this gene is located on chromosome 3. Alternative splicing results in multiple transcript variants.
-
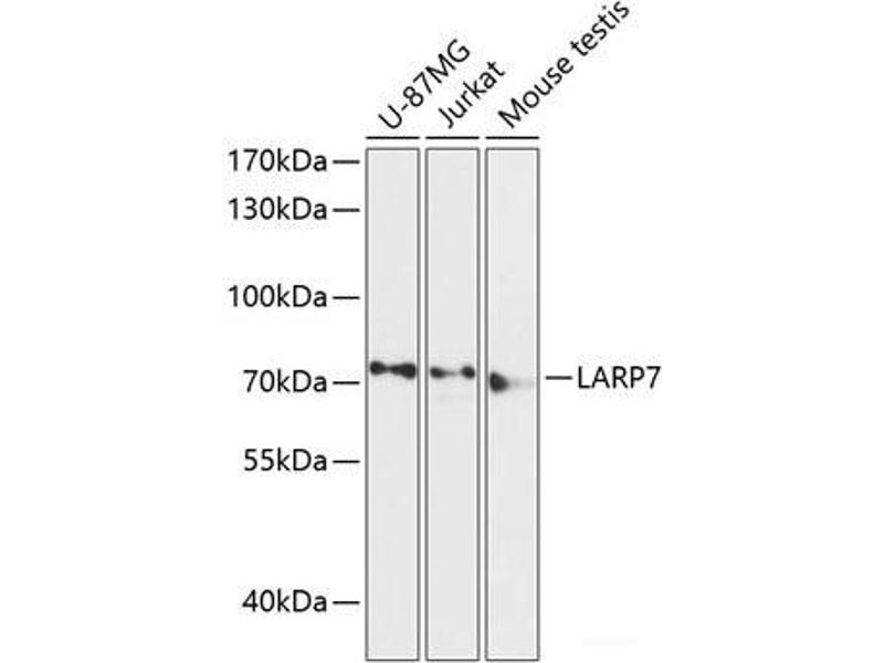
Poids moléculaire
-
Observed_MW: 71 kDa
Calculated_MW: 24 kDa/66 kDa/67 kDa
-
ID gène
- 51574
-
UniProt
- Q4G0J3
-
Pathways
- Chromatin Binding, SARS-CoV-2 Protein Interactome, Phosphorylation & l'infection par le SRAS-CoV-2
Antigène
-