Tel:
+49 (0)241 95 163 153
Fax:
+49 (0)241 95 163 155
E-Mail:
orders@anticorps-enligne.fr

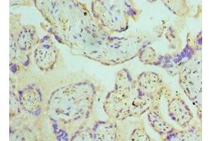
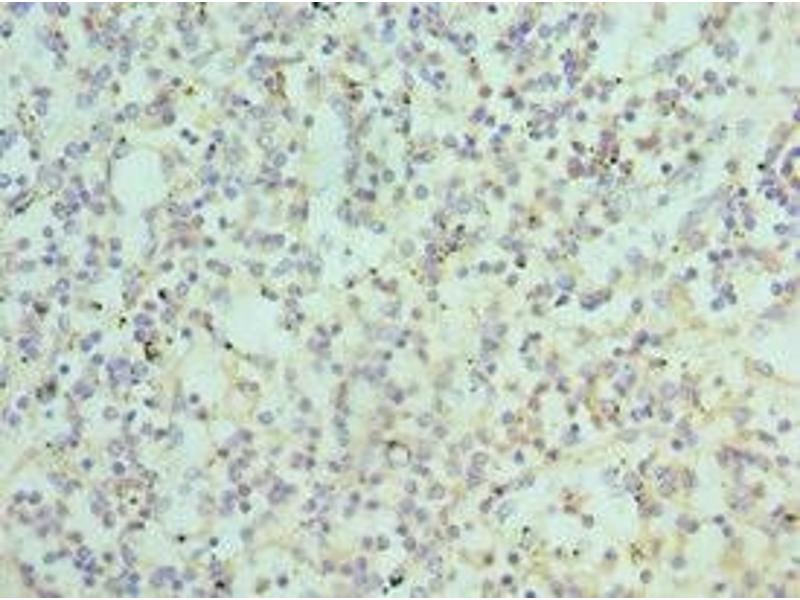
ATG16L1 anticorps (AA 90-300)

Cet anticorps Lapin Polyclonal détecte spécifiquement ATG16L1 dans WB, ELISA et IHC. Il présente une réactivité avec des échantillons de Humain.
N° du produit ABIN7145108
394,68 €
Plus frais de livraison 40,00 € et TVA
Destination: France
Envoi sous 11 à 15 jours ouvrables

Aperçu rapide pour ATG16L1 anticorps (AA 90-300) (ABIN7145108)

Antigène

Voir toutes ATG16L1 Anticorps
ATG16L1 (ATG16 Autophagy Related 16-Like 1 (ATG16L1))

Reactivité

  • 93
  • 47
  • 45
  • 11
  • 6
  • 6
  • 6
  • 6
  • 6
  • 4
  • 3
  • 2
  • 1
  • 1
  • 1
Humain

Hôte

  • 80
  • 13
  • 1
Lapin

Clonalité

  • 62
  • 32
Polyclonal

Conjugué

  • 55
  • 5
  • 4
  • 4
  • 4
  • 4
  • 4
  • 4
  • 4
  • 2
  • 1
  • 1
  • 1
  • 1
Cet anticorp ATG16L1 est non-conjugé

Application

  • 68
  • 36
  • 26
  • 20
  • 16
  • 11
  • 9
  • 4
  • 3
  • 2
  • 1
  • 1
  • 1
  • 1
  • 1
Western Blotting (WB), ELISA, Immunohistochemistry (IHC)
  • Épitope

    • 7
    • 5
    • 4
    • 4
    • 3
    • 2
    • 2
    • 2
    • 2
    • 1
    • 1
    • 1
    • 1
    • 1
    • 1
    • 1
    • 1
    • 1
    • 1
    • 1
    • 1
    • 1
    • 1
    • 1
    • 1
    • 1
    • 1
    • 1
    • 1
    • 1
    • 1
    AA 90-300

    Fonction

    ATG16L1 Antibody

    Purification

    Antigen Affinity Purified

    Immunogène

    Recombinant Human Autophagy-related protein 16-1 protein (90-300AA)

    Isotype

    IgG
  • Indications d'application

    Optimal working dilution should be determined by the investigator.

    Restrictions

    For Research Use only
  • Format

    Liquid

    Buffer

    PBS with 0.02 % sodium azide, 50 % glycerol, pH 7.3.

    Agent conservateur

    Sodium azide

    Précaution d'utilisation

    This product contains Sodium azide: a POISONOUS AND HAZARDOUS SUBSTANCE which should be handled by trained staff only.

    Stock

    -20 °C,-80 °C

    Stockage commentaire

    Upon receipt, store at -20°C or -80°C. Avoid repeated freeze.
  • Antigène

    ATG16L1 (ATG16 Autophagy Related 16-Like 1 (ATG16L1))

    Autre désignation

    ATG16L1

    Sujet

    Background: Plays an essential role in autophagy: interacts with ATG12-ATG5 to mediate the conjugation of phosphatidylethanolamine (PE) to LC3 (MAP1LC3A, MAP1LC3B or MAP1LC3C), to produce a membrane-bound activated form of LC3 named LC3-II. Thereby, controls the elongation of the nascent autophagosomal membrane.

    Aliases: A16L1_HUMAN antibody, APG16 like 1 antibody, APG16-like 1 antibody, APG16L antibody, APG16L beta antibody, ATG16 autophagy related 16 like 1 antibody, ATG16 autophagy related 16-like 1 (S. cerevisiae) antibody, ATG16A antibody, ATG16L antibody, Atg16l1 antibody, Autophagy related protein 16 1 antibody, Autophagy-related protein 16-1 antibody, FLJ00045 antibody, FLJ10035 antibody, FLJ10828 antibody, FLJ22677 antibody, IBD10 antibody, OTTHUMP00000164391 antibody, OTTHUMP00000164393 antibody, OTTHUMP00000165876 antibody, OTTHUMP00000165877 antibody, WD repeat domain 30 antibody, WDR30 antibody

    UniProt

    Q676U5

    Pathways

    Autophagy
Vous êtes ici:
Chat with us!