Tel:
+49 (0)241 95 163 153
Fax:
+49 (0)241 95 163 155
E-Mail:
orders@anticorps-enligne.fr

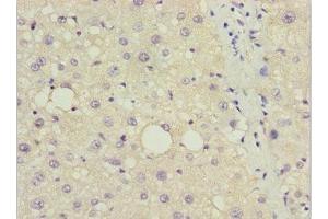
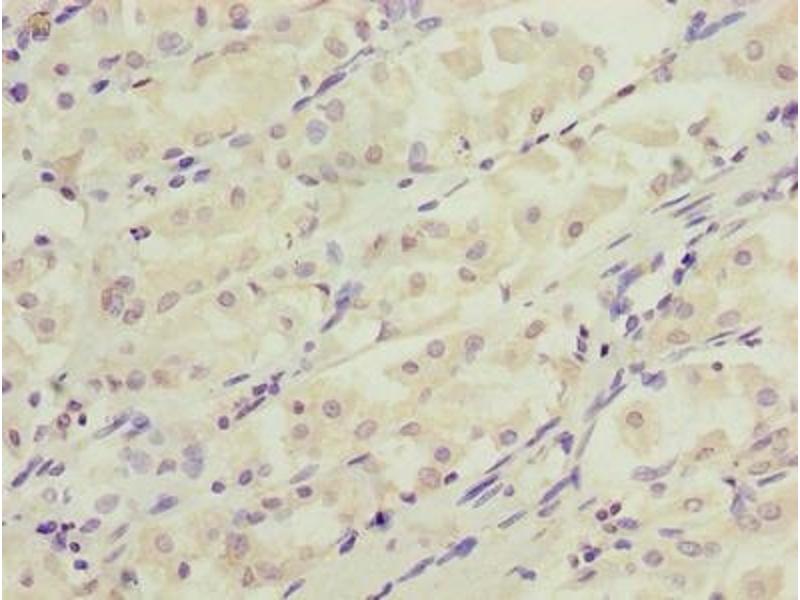
DDIT3 anticorps (AA 1-169)

Cet anticorps anti-DDIT3 Polyclonal Lapin (ABIN7150132) détecte spécifiquement DDIT3 dans IHC, ELISA et IF. L’anticorps est réactif avec des échantillons de Humain.
N° du produit ABIN7150132
328,90 €
Plus frais de livraison 40,00 € et TVA
Destination: France
Envoi sous 11 à 15 jours ouvrables

Aperçu rapide pour DDIT3 anticorps (AA 1-169) (ABIN7150132)

Antigène

Voir toutes DDIT3 Anticorps
DDIT3 (DNA-Damage-Inducible Transcript 3 (DDIT3))

Reactivité

  • 145
  • 106
  • 88
  • 5
  • 4
  • 4
  • 3
  • 2
  • 2
  • 2
  • 2
  • 2
  • 1
  • 1
Humain

Hôte

  • 142
  • 14
Lapin

Clonalité

  • 110
  • 46
Polyclonal

Conjugué

  • 73
  • 13
  • 8
  • 5
  • 4
  • 4
  • 4
  • 4
  • 4
  • 4
  • 4
  • 3
  • 2
  • 2
  • 2
  • 2
  • 2
  • 2
  • 2
  • 2
  • 2
  • 2
  • 2
  • 2
  • 2
Cet anticorp DDIT3 est non-conjugé

Application

  • 132
  • 64
  • 54
  • 53
  • 28
  • 27
  • 27
  • 18
  • 16
  • 13
  • 7
  • 3
  • 3
Immunohistochemistry (IHC), ELISA, Immunofluorescence (IF)
  • Épitope

    • 16
    • 16
    • 11
    • 10
    • 9
    • 7
    • 7
    • 7
    • 4
    • 2
    • 2
    • 2
    • 2
    • 2
    • 2
    • 2
    • 1
    • 1
    • 1
    • 1
    • 1
    • 1
    • 1
    • 1
    • 1
    • 1
    • 1
    • 1
    • 1
    • 1
    • 1
    • 1
    • 1
    • 1
    • 1
    AA 1-169

    Fonction

    DDIT3 Antibody

    Purification

    Protein G purified

    Pureté

    >95 %

    Immunogène

    Recombinant Human DNA damage-inducible transcript 3 protein (1-169AA)

    Isotype

    IgG
  • Indications d'application

    Optimal working dilution should be determined by the investigator.

    Restrictions

    For Research Use only
  • Format

    Liquid

    Buffer

    Preservative: 0.03 % Proclin 300
    Constituents: 50 % Glycerol, 0.01M PBS, PH 7.4

    Agent conservateur

    ProClin

    Précaution d'utilisation

    This product contains ProClin: a POISONOUS AND HAZARDOUS SUBSTANCE which should be handled by trained staff only.

    Stock

    -20 °C,-80 °C

    Stockage commentaire

    Upon receipt, store at -20°C or -80°C. Avoid repeated freeze.
  • Antigène

    DDIT3 (DNA-Damage-Inducible Transcript 3 (DDIT3))

    Autre désignation

    DDIT3

    Sujet

    Background: Multifunctional transcription factor in ER stress response. Plays an essential role in the response to a wide variety of cell stresses and induces cell cycle arrest and apoptosis in response to ER stress. Plays a dual role both as an inhibitor of CCAAT/enhancer-binding protein (C/EBP) function and as an activator of other genes. Acts as a dominant-negative regulator of C/EBP-induced transcription: dimerizes with members of the C/EBP family, impairs their association with C/EBP binding sites in the promoter regions, and inhibits the expression of C/EBP regulated genes. Positively regulates the transcription of TRIB3, IL6, IL8, IL23, TNFRSF10B/DR5, PPP1R15A/GADD34, BBC3/PUMA, BCL2L11/BIM and ERO1L. Negatively regulates, expression of BCL2 and MYOD1, ATF4-dependent transcriptional activation of asparagine synthetase (ASNS), CEBPA-dependent transcriptional activation of hepcidin (HAMP) and CEBPB-mediated expression of peroxisome proliferator-activated receptor gamma (PPARG). Inhibits the canonical Wnt signaling pathway by binding to TCF7L2/TCF4, impairing its DNA-binding properties and repressing its transcriptional activity. Plays a regulatory role in the inflammatory response through the induction of caspase-11 (CASP4/CASP11) which induces the activation of caspase-1 (CASP1) and both these caspases increase the activation of pro-IL1B to mature IL1B which is involved in the inflammatory response.

    Aliases: C/EBP homologous protein antibody, C/EBP Homology Protein antibody, C/EBP zeta antibody, C/EBP-homologous protein 10 antibody, C/EBP-homologous protein antibody, CCAAT/enhancer binding protein homologous protein antibody, CEBPZ antibody, CHOP 10 antibody, CHOP antibody, CHOP-10 antibody, CHOP10 antibody, DDIT 3 antibody, DDIT-3 antibody, Ddit3 antibody, DDIT3_HUMAN antibody, DNA Damage Inducible Transcript 3 antibody, DNA damage-inducible transcript 3 protein antibody, GADD 153 antibody, GADD153 antibody, Growth Arrest and DNA Damage Inducible Protein 153 antibody, Growth arrest and DNA damage inducible protein GADD153 antibody, Growth arrest and DNA damage-inducible protein GADD153 antibody, MGC4154 antibody

    UniProt

    P35638

    Pathways

    Regulation of Muscle Cell Differentiation, ER-Nucleus Signaling, Skeletal Muscle Fiber Development, Cell RedoxHomeostasis
Vous êtes ici:
Chat with us!