Tel:
+49 (0)241 95 163 153
Fax:
+49 (0)241 95 163 155
E-Mail:
orders@anticorps-enligne.fr

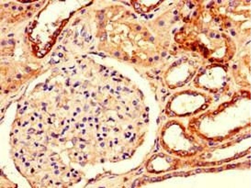
Dual Specificity Phosphatase 3 (DUSP3) (AA 14-96) anticorps

Cet anticorps Lapin Polyclonal détecte spécifiquement Dual Specificity Phosphatase 3 dans ELISA et IHC. Il présente une réactivité avec des échantillons de Humain.
N° du produit ABIN7150769
328,90 €
Plus frais de livraison 40,00 € et TVA
Destination: France
Envoi sous 11 à 15 jours ouvrables

Aperçu rapide pour Dual Specificity Phosphatase 3 (DUSP3) (AA 14-96) anticorps (ABIN7150769)

Antigène

Voir toutes Dual Specificity Phosphatase 3 (DUSP3) Anticorps
Dual Specificity Phosphatase 3 (DUSP3)

Reactivité

  • 46
  • 24
  • 7
  • 1
  • 1
  • 1
  • 1
  • 1
  • 1
  • 1
Humain

Hôte

  • 52
  • 9
Lapin

Clonalité

  • 52
  • 9
Polyclonal

Conjugué

  • 29
  • 6
  • 4
  • 3
  • 1
  • 1
  • 1
  • 1
  • 1
  • 1
  • 1
  • 1
  • 1
  • 1
  • 1
  • 1
  • 1
  • 1
  • 1
  • 1
  • 1
  • 1
  • 1
Inconjugué

Application

  • 43
  • 23
  • 15
  • 13
  • 13
  • 13
  • 5
  • 4
  • 3
  • 2
  • 2
  • 2
  • 1
  • 1
ELISA, Immunohistochemistry (IHC)
  • Épitope

    • 15
    • 10
    • 5
    • 5
    • 4
    • 3
    • 2
    • 1
    • 1
    • 1
    • 1
    • 1
    • 1
    • 1
    AA 14-96

    Fonction

    DUSP3 Antibody

    Purification

    Protein G purified

    Pureté

    >95 %

    Immunogène

    Recombinant Human Dual specificity protein phosphatase 3 protein (14-96AA)

    Isotype

    IgG
  • Indications d'application

    Optimal working dilution should be determined by the investigator.

    Restrictions

    For Research Use only
  • Format

    Liquid

    Buffer

    Preservative: 0.03 % Proclin 300
    Constituents: 50 % Glycerol, 0.01M PBS, PH 7.4

    Agent conservateur

    ProClin

    Précaution d'utilisation

    This product contains ProClin: a POISONOUS AND HAZARDOUS SUBSTANCE which should be handled by trained staff only.

    Stock

    -20 °C,-80 °C

    Stockage commentaire

    Upon receipt, store at -20°C or -80°C. Avoid repeated freeze.
  • Antigène

    Dual Specificity Phosphatase 3 (DUSP3)

    Autre désignation

    DUSP3

    Classe de substances

    Viral Protein

    Sujet

    Background: Shows activity both for tyrosine-protein phosphate and serine-protein phosphate, but displays a strong preference toward phosphotyrosines. Specifically dephosphorylates and inactivates ERK1 and ERK2.

    Aliases: Dual specificity phosphatase 3 antibody, Dual specificity protein phosphatase 3 antibody, Dual specificity protein phosphatase VHR antibody, DUS3_HUMAN antibody, DUSP3 antibody, Serine/threonine specific protein phosphatase antibody, Vaccinia H1-related phosphatase antibody, Vaccinia virus phosphatase VH1 related antibody, VHR antibody

    UniProt

    P51452

    Pathways

    Neurotrophin Signaling Pathway, Activation of Innate immune Response, Toll-Like Receptors Cascades
Vous êtes ici:
Chat with us!