Tel:
+49 (0)241 95 163 153
Fax:
+49 (0)241 95 163 155
E-Mail:
orders@anticorps-enligne.fr

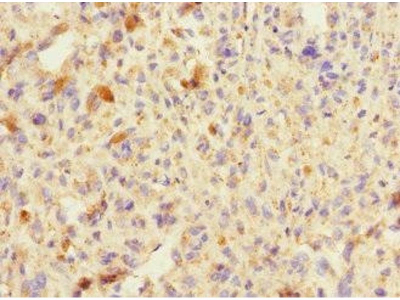
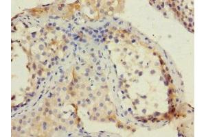
TRIP12 anticorps (AA 1-240)

L’anticorps anti-TRIP12 Polyclonal Lapin est utilisé pour la détection de TRIP12 dans des échantillons de Humain. Il a été validé pour IHC et ELISA.
N° du produit ABIN7151292
328,90 €
Plus frais de livraison 40,00 € et TVA
Destination: France
Envoi sous 11 à 15 jours ouvrables

Aperçu rapide pour TRIP12 anticorps (AA 1-240) (ABIN7151292)

Antigène

Voir toutes TRIP12 Anticorps
TRIP12 (Thyroid Hormone Receptor Interactor 12 (TRIP12))

Reactivité

  • 7
  • 4
  • 4
  • 1
  • 1
  • 1
Humain

Hôte

  • 7
Lapin

Clonalité

  • 7
Polyclonal

Conjugué

  • 7
Cet anticorp TRIP12 est non-conjugé

Application

  • 7
  • 4
  • 3
  • 2
  • 2
  • 1
  • 1
Immunohistochemistry (IHC), ELISA
  • Épitope

    • 2
    • 2
    • 2
    • 1
    • 1
    AA 1-240

    Fonction

    TRIP12 Antibody

    Purification

    Antigen Affinity Purified

    Immunogène

    Recombinant Human E3 ubiquitin-protein ligase TRIP12 protein (1-240AA)

    Isotype

    IgG
  • Indications d'application

    Optimal working dilution should be determined by the investigator.

    Restrictions

    For Research Use only
  • Format

    Liquid

    Buffer

    PBS with 0.02 % sodium azide, 50 % glycerol, pH 7.3.

    Agent conservateur

    Sodium azide

    Précaution d'utilisation

    This product contains Sodium azide: a POISONOUS AND HAZARDOUS SUBSTANCE which should be handled by trained staff only.

    Stock

    -20 °C,-80 °C

    Stockage commentaire

    Upon receipt, store at -20°C or -80°C. Avoid repeated freeze.
  • Antigène

    TRIP12 (Thyroid Hormone Receptor Interactor 12 (TRIP12))

    Autre désignation

    TRIP12

    Sujet

    Background: E3 ubiquitin-protein ligase involved in ubiquitin fusion degradation (UFD) pathway and regulation of DNA repair. Part of the ubiquitin fusion degradation (UFD) pathway, a process that mediates ubiquitination of protein at their N-terminus, regardeless of the presence of lysine residues in target proteins. In normal cells, mediates ubiquitination and degradation of isoform p19ARF/ARF of CDKN2A, a lysine-less tumor suppressor required for p53/TP53 activation under oncogenic stress. In cancer cells, however, isoform p19ARF/ARF and TRIP12 are located in different cell compartments, preventing isoform p19ARF/ARF ubiquitination and degradation. Does not mediate ubiquitination of isoform p16-INK4a of CDKN2A. Also catalyzes ubiquitination of NAE1 and SMARCE1, leading to their degradation. Ubiquitination and degradation of target proteins is regulated by interaction with proteins such as MYC, TRADD or SMARCC1, which disrupt the interaction between TRIP12 and target proteins. Acts as a key regulator of DNA damage response by acting as a suppressor of RNF168, an E3 ubiquitin-protein ligase that promotes accumulation of \\\'Lys-63\\\'-linked histone H2A and H2AX at DNA damage sites, thereby acting as a guard against excessive spreading of ubiquitinated chromatin at damaged chromosomes.

    Aliases: TRIP12 antibody, KIAA0045 antibody, ULF antibody, E3 ubiquitin-protein ligase TRIP12 antibody, EC 2.3.2.26 antibody, E3 ubiquitin-protein ligase for Arf antibody, ULF antibody, HECT-type E3 ubiquitin transferase TRIP12 antibody, Thyroid receptor-interacting protein 12 antibody, TR-interacting protein 12 antibody, TRIP-12 antibody

    UniProt

    Q14669

    Pathways

    Nuclear Hormone Receptor Binding
Vous êtes ici:
Chat with us!